Skip to main content

AMMECR1 Antibody - BSA Free

Novus Biologicals, part of Bio-Techne | Catalog # NBP2-55138

Novus Biologicals, part of Bio-Techne
Catalog #
Availability
Size / Price
Qty
Loading...
NBP2-55138
NBP2-55138-25ul

Key Product Details

Species Reactivity

Validated:

Human

Predicted:

Mouse (100%), Rat (100%). Backed by our 100% Guarantee.

Applications

Immunohistochemistry, Immunohistochemistry-Paraffin

Label

Unconjugated

Antibody Source

Polyclonal Rabbit IgG

Format

BSA Free

Concentration

Concentrations vary lot to lot. See vial label for concentration. If unlisted please contact technical services.

Product Specifications

Immunogen

This antibody was developed against a recombinant protein corresponding to the following amino acid sequence: EMCCFCFDVLYCHLYGYQQPRTPRFTNEPYPLFVTWKIGRDKRLRGCIGTFSAMNLHSGLREYTLTSALKDSRFPPMTRDELPRLFCSVSLLTNFEDVCDYLDWEVGVHGIRIEFINEKGSKRTATYLPEVAKEQGWDHIQTIDSLLRKGGYKAPITNEFRKTIKLTRYRSEKMT

Clonality

Polyclonal

Host

Rabbit

Isotype

IgG

Description

Novus Biologicals Rabbit AMMECR1 Antibody - BSA Free (NBP2-55138) is a polyclonal antibody validated for use in IHC. All Novus Biologicals antibodies are covered by our 100% guarantee.

Scientific Data Images for AMMECR1 Antibody - BSA Free

Immunohistochemistry-Paraffin: AMMECR1 Antibody [NBP2-55138]

Immunohistochemistry-Paraffin: AMMECR1 Antibody [NBP2-55138]

Immunohistochemistry-Paraffin: AMMECR1 Antibody [NBP2-55138] - Staining of human testis shows moderate granular cytoplasmic positivity in Leydig cells.
Immunohistochemistry-Paraffin: AMMECR1 Antibody [NBP2-55138]

Immunohistochemistry-Paraffin: AMMECR1 Antibody [NBP2-55138]

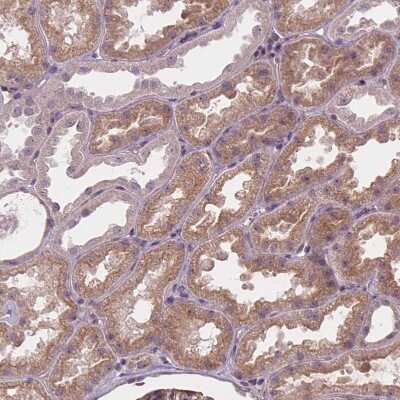
Immunohistochemistry-Paraffin: AMMECR1 Antibody [NBP2-55138] - Staining of human kidney shows moderate granular cytoplasmic positivity in cells in tubules.
Immunohistochemistry-Paraffin: AMMECR1 Antibody [NBP2-55138]

Immunohistochemistry-Paraffin: AMMECR1 Antibody [NBP2-55138]

Immunohistochemistry-Paraffin: AMMECR1 Antibody [NBP2-55138] - Staining of human liver shows strong granular cytoplasmic positivity in hepatocytes.

Applications for AMMECR1 Antibody - BSA Free

Application
Recommended Usage

Immunohistochemistry

1:200 - 1:500

Immunohistochemistry-Paraffin

1:200 - 1:500
Application Notes
For IHC-Paraffin, HIER pH 6 retrieval is recommended.

Formulation, Preparation, and Storage

Purification

Affinity purified

Formulation

PBS (pH 7.2) and 40% Glycerol

Format

BSA Free

Preservative

0.02% Sodium Azide

Concentration

Concentrations vary lot to lot. See vial label for concentration. If unlisted please contact technical services.

Shipping

The product is shipped with polar packs. Upon receipt, store it immediately at the temperature recommended below.

Stability & Storage

Store at 4C short term. Aliquot and store at -20C long term. Avoid freeze-thaw cycles.

Background: AMMECR1

Alternate Names

Alport syndrome, mental retardation, midface hypoplasia and elliptocytosischromosomal region gene 1, AMME syndrome candidate gene 1 protein, AMMERC1

Gene Symbol

AMMECR1

Additional AMMECR1 Products

Product Documents for AMMECR1 Antibody - BSA Free

Certificate of Analysis

To download a Certificate of Analysis, please enter a lot number in the search box below.

Product Specific Notices for AMMECR1 Antibody - BSA Free

This product is for research use only and is not approved for use in humans or in clinical diagnosis. Primary Antibodies are guaranteed for 1 year from date of receipt.

Loading...
Loading...
Loading...
Loading...