Skip to main content

AMBRA1 Antibody - BSA Free

Novus Biologicals, part of Bio-Techne | Catalog # NBP2-92849

Novus Biologicals, part of Bio-Techne
Catalog #
Availability
Size / Price
Qty
Loading...
NBP2-92849-0.02ml
NBP2-92849-0.1ml

Key Product Details

Species Reactivity

Human, Mouse, Rat

Applications

Immunohistochemistry, Immunohistochemistry-Paraffin, Western Blot, Immunocytochemistry/ Immunofluorescence

Label

Unconjugated

Antibody Source

Polyclonal Rabbit IgG

Format

BSA Free

Concentration

Please see the vial label for concentration. If unlisted please contact technical services.

Product Specifications

Immunogen

Recombinant fusion protein containing a sequence corresponding to amino acids 1109-1208 of human Ambra1 (NP_060219.2). GAAHTSSPQPSTSRGLLPEAGQLAERGLSPRTASWDQPGTPGREPTQPTLPSSSPVPIPVSLPSAEGPTLHCELTNNNHLLDGGSSRGDAAGPRGEPRNR

Clonality

Polyclonal

Host

Rabbit

Isotype

IgG

Description

Novus Biologicals Rabbit AMBRA1 Antibody - BSA Free (NBP2-92849) is a polyclonal antibody validated for use in IHC, WB and ICC/IF. All Novus Biologicals antibodies are covered by our 100% guarantee.

Scientific Data Images for AMBRA1 Antibody - BSA Free

AMBRA1 Antibody - BSA Free

Western Blot: AMBRA1 Antibody - BSA Free [NBP2-92849] -

Western Blot: AMBRA1 Antibody - BSA Free [NBP2-92849] - Western blot analysis of lysates from PANC-1 cells, using AMBRA1 Rabbit pAb at 1:800 dilution.
Secondary antibody: HRP Goat Anti-Rabbit IgG (H+L) at 1:10000 dilution.
Lysates/proteins: 25ug per lane.
Blocking buffer: 3% nonfat dry milk in TBST.
Detection: ECL Enhanced Kit.
Exposure time: 30s.
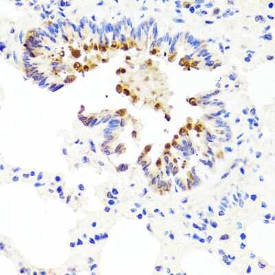
Immunohistochemistry-Paraffin: AMBRA1 Antibody - BSA Free [NBP2-92849]

Immunohistochemistry-Paraffin: AMBRA1 Antibody - BSA Free [NBP2-92849]

Immunohistochemistry-Paraffin: AMBRA1 Antibody [NBP2-92849] - Paraffin-embedded rat lung using AMBRA1 .
Immunohistochemistry-Paraffin: AMBRA1 Antibody - BSA Free [NBP2-92849]

Immunohistochemistry-Paraffin: AMBRA1 Antibody - BSA Free [NBP2-92849]

Immunohistochemistry-Paraffin: AMBRA1 Antibody [NBP2-92849] - Paraffin-embedded mouse lung using AMBRA1 .

Applications for AMBRA1 Antibody - BSA Free

Application
Recommended Usage

Immunocytochemistry/ Immunofluorescence

1:50 - 1:200

Immunohistochemistry

1:50 - 1:200

Western Blot

1:500 - 1:1000

Formulation, Preparation, and Storage

Purification

Affinity purified

Formulation

PBS (pH 7.3), 50% glycerol

Format

BSA Free

Preservative

0.02% Sodium Azide

Concentration

Please see the vial label for concentration. If unlisted please contact technical services.

Shipping

The product is shipped with polar packs. Upon receipt, store it immediately at the temperature recommended below.

Stability & Storage

Store at -20C. Avoid freeze-thaw cycles.

Background: AMBRA1

AMBRA1 regulates autophagy and development of the nervous system. It is a large, previously unknown protein bearing a WD40 domain at its amino terminus, regulates autophagy and has a crucial role in embryogenesis. AMBRA1 is a positive regulator of the Becn1-dependent programme of autophagy, as revealed by its overexpression and by RNA interference experiments invitro. Notably, AMBRA1 functional deficiency in mouse embryos leads to severe neural tube defects associated with autophagy impairment, accumulation of ubiquitinated proteins, unbalanced cell proliferation and excessive apoptotic cell death.

Alternate Names

activating molecule in BECN1-regulated autophagy protein 1, autophagy/beclin-1 regulator 1, DCAF3, DDB1 and CUL4 associated factor 3, FLJ20294, KIAA1736activating molecule in beclin-1-regulated autophagy, MGC33725, WD repeat domain 94, WDR94

Gene Symbol

AMBRA1

Additional AMBRA1 Products

Product Documents for AMBRA1 Antibody - BSA Free

Certificate of Analysis

To download a Certificate of Analysis, please enter a lot number in the search box below.

Product Specific Notices for AMBRA1 Antibody - BSA Free

This product is for research use only and is not approved for use in humans or in clinical diagnosis. Primary Antibodies are guaranteed for 1 year from date of receipt.

Loading...
Loading...
Loading...
Loading...