alpha-Methylacyl-CoA Racemase/AMACR Antibody (2A10F3)
Novus Biologicals, part of Bio-Techne | Catalog # NBP1-28884
Key Product Details
Species Reactivity
Validated:
Human, Mouse
Cited:
Mouse
Applications
Validated:
Immunohistochemistry, Immunohistochemistry-Paraffin, Western Blot, ELISA, Immunocytochemistry/ Immunofluorescence
Cited:
IF/IHC
Label
Unconjugated
Antibody Source
Monoclonal Mouse IgG2B Clone # 2A10F3
Concentration
This product is unpurified. The exact concentration of antibody is not quantifiable.
Product Specifications
Immunogen
Purified recombinant fragment of human alpha-Methylacyl-CoA Racemase/AMACR expressed in E. Coli.
Reactivity Notes
Mouse blocking reagent may be needed for IHC and ICC experiments to reduce high background signal. You can find these reagents under catalog numbers PK-2200-NB and MP-2400-NB. Please contact Technical Support if you have any Please note that this antibody is reactive to Mouse and derived from the same host, Mouse. Mouse-On-questions.
Specificity
Specific for AMACR.
Clonality
Monoclonal
Host
Mouse
Isotype
IgG2B
Theoretical MW
42 kDa.
Disclaimer note: The observed molecular weight of the protein may vary from the listed predicted molecular weight due to post translational modifications, post translation cleavages, relative charges, and other experimental factors.
Disclaimer note: The observed molecular weight of the protein may vary from the listed predicted molecular weight due to post translational modifications, post translation cleavages, relative charges, and other experimental factors.
Description
Novus Biologicals Mouse alpha-Methylacyl-CoA Racemase/AMACR Antibody (2A10F3) (NBP1-28884) is a monoclonal antibody validated for use in IHC, WB, ELISA and ICC/IF. Anti-alpha-Methylacyl-CoA Racemase/AMACR Antibody: Cited in 1 publication. All Novus Biologicals antibodies are covered by our 100% guarantee.
Scientific Data Images for alpha-Methylacyl-CoA Racemase/AMACR Antibody (2A10F3)
Western Blot: alpha-Methylacyl-CoA Racemase/AMACR Antibody (2A10F3)BSA Free [NBP1-28884]
Western Blot: alpha-Methylacyl-CoA Racemase/AMACR Antibody (2A10F3) [NBP1-28884] - Analysis using AMACR mouse mAb against Jurkat (1) and LNCaP (2) cell lysate.Immunocytochemistry/ Immunofluorescence: alpha-Methylacyl-CoA Racemase/AMACR Antibody (2A10F3) - BSA Free [NBP1-28884]
Immunocytochemistry/Immunofluorescence: alpha-Methylacyl-CoA Racemase/AMACR Antibody (2A10F3) [NBP1-28884] - Confocal immunofluorescence analysis of LNCaP cells using AMACR mouse mAb (green). Red: Actin filaments have been labeled with DY-554 phalloidin. Blue: DRAQ5 fluorescent DNA dye.Immunohistochemistry-Paraffin: alpha-Methylacyl-CoA Racemase/AMACR Antibody (2A10F3) - BSA Free [NBP1-28884]
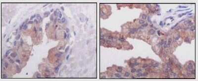
Immunohistochemistry-Paraffin: alpha-Methylacyl-CoA Racemase/AMACR Antibody (2A10F3) [NBP1-28884] - Analysis of human normal prostate tissues (left) and prostate adenocarcinoma tissues (right), showing cytoplasmic localization using AMACR mouse mAb with DAB staining.Applications for alpha-Methylacyl-CoA Racemase/AMACR Antibody (2A10F3)
Application
Recommended Usage
ELISA
1:10000
Immunocytochemistry/ Immunofluorescence
1:200-1:1000
Immunohistochemistry
1:10-1:500
Immunohistochemistry-Paraffin
1:200-1:1000
Western Blot
1:500-1:2000
Formulation, Preparation, and Storage
Purification
Unpurified
Formulation
Ascites
Preservative
0.03% Sodium Azide
Concentration
This product is unpurified. The exact concentration of antibody is not quantifiable.
Shipping
The product is shipped with polar packs. Upon receipt, store it immediately at the temperature recommended below.
Stability & Storage
Store at 4C short term. Aliquot and store at -20C long term. Avoid freeze-thaw cycles.
Background: alpha-Methylacyl-CoA Racemase/AMACR
Alternate Names
alphaMethylacylCoARacemase, AMACR, AMACRD, CBAS4, RACE
Gene Symbol
AMACR
Additional alpha-Methylacyl-CoA Racemase/AMACR Products
Product Documents for alpha-Methylacyl-CoA Racemase/AMACR Antibody (2A10F3)
Product Specific Notices for alpha-Methylacyl-CoA Racemase/AMACR Antibody (2A10F3)
This product is for research use only and is not approved for use in humans or in clinical diagnosis. Primary Antibodies are guaranteed for 1 year from date of receipt.
Loading...
Loading...
Loading...
Loading...