Skip to main content

alpha 2-Macroglobulin Antibody (7V6M10)

Novus Biologicals, part of Bio-Techne | Catalog # NBP3-16875

Recombinant Monoclonal Antibody
Novus Biologicals, part of Bio-Techne
Catalog #
Availability
Size / Price
Qty
Loading...
NBP3-16875-100ul
NBP3-16875-20ul

Key Product Details

Species Reactivity

Human, Mouse, Rat

Applications

Immunohistochemistry, Immunohistochemistry-Paraffin, Western Blot, ELISA, Immunocytochemistry/ Immunofluorescence

Label

Unconjugated

Antibody Source

Recombinant Monoclonal Rabbit IgG Clone # 7V6M10 expressed in HEK293

Concentration

Please see the vial label for concentration. If unlisted please contact technical services.

Product Specifications

Immunogen

A synthetic peptide corresponding to a sequence within amino acids 1200-1300 of human alpha 2-Macroglobulin (P01023). QAPSAEVEMTSYVLLAYLTAQPAPTSEDLTSATNIVKWITKQQNAQGGFSSTQDTVVALHALSKYGAATFTRTGKAAQVTIQSSGTFSSKFQVDNNNRLLL

Clonality

Monoclonal

Host

Rabbit

Isotype

IgG

Theoretical MW

185 kDa.
Disclaimer note: The observed molecular weight of the protein may vary from the listed predicted molecular weight due to post translational modifications, post translation cleavages, relative charges, and other experimental factors.

Description

Novus Biologicals Rabbit alpha 2-Macroglobulin Antibody (7V6M10) (NBP3-16875) is a recombinant monoclonal antibody validated for use in IHC, WB, ELISA and ICC/IF. All Novus Biologicals antibodies are covered by our 100% guarantee.

Scientific Data Images for alpha 2-Macroglobulin Antibody (7V6M10)

Western Blot: alpha 2-Macroglobulin Antibody (7V6M10) [NBP3-16875]

Western Blot: alpha 2-Macroglobulin Antibody (7V6M10) [NBP3-16875]

Western Blot: alpha 2-Macroglobulin Antibody (7V6M10) [NBP3-16875] - Analysis of extracts of HepG2 cells, using Alpha-2-Macroglobulin (alpha 2-Macroglobulin) Rabbit mAb (NBP3-16875) at 1:1000 dilution. Secondary antibody: HRP Goat Anti-Rabbit IgG (H+L) at 1:10000 dilution. Lysates/proteins: 25ug per lane. Blocking buffer: 3% nonfat dry milk in TBST. Detection: ECL Basic Kit. Exposure time: 90s.
alpha 2-Macroglobulin Antibody (7V6M10)

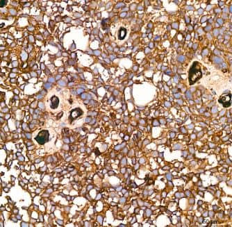
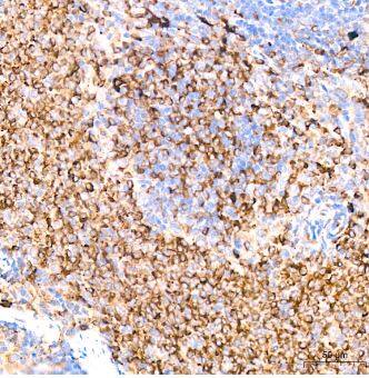
Immunohistochemistry-Paraffin: alpha 2-Macroglobulin Antibody (7V6M10) [NBP3-16875] -

Immunohistochemistry-Paraffin: alpha 2-Macroglobulin Antibody (7V6M10) [NBP3-16875] - Human cervix cancer tissue using Alpha-2-Macroglobulin (A2M) Rabbit mAb at a dilution of 1:200 (40x lens). High pressure antigen retrieval performed with 0.01M Citrate Bufferr (pH 6.0) prior to IHC staining.
alpha 2-Macroglobulin Antibody (7V6M10)

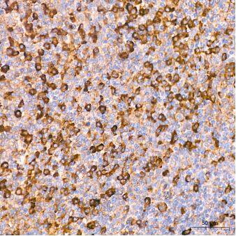
Immunohistochemistry-Paraffin: alpha 2-Macroglobulin Antibody (7V6M10) [NBP3-16875] -

Immunohistochemistry-Paraffin: alpha 2-Macroglobulin Antibody (7V6M10) [NBP3-16875] - Human tonsil tissue using Alpha-2-Macroglobulin (A2M) Rabbit mAb at a dilution of 1:200 (40x lens). High pressure antigen retrieval performed with 0.01M Citrate Bufferr (pH 6.0) prior to IHC staining.

Applications for alpha 2-Macroglobulin Antibody (7V6M10)

Application
Recommended Usage

ELISA

Recommended starting concentration is 1 μg/mL. Please optimize the concentration based on your specific assay requirements.

Immunocytochemistry/ Immunofluorescence

1:100 - 1:400

Immunohistochemistry

1:200 - 1:2000

Immunohistochemistry-Paraffin

1:200 - 1:2000

Western Blot

1:500 - 1:1000

Formulation, Preparation, and Storage

Purification

Affinity purified

Formulation

PBS (pH 7.3), 50% glycerol, 0.05% BSA

Preservative

0.02% Sodium Azide

Concentration

Please see the vial label for concentration. If unlisted please contact technical services.

Shipping

The product is shipped with polar packs. Upon receipt, store it immediately at the temperature recommended below.

Stability & Storage

Store at -20C. Avoid freeze-thaw cycles.

Background: alpha 2-Macroglobulin

Alpha 2 macroglobulin is a serum protein which is mainly synthesised in the liver. It functions as a broad range irreversible proteinase inhibitor that forms a "trap" around most proteases. Alpha 2 macroglobulin is is a tetrameric molecule, and with a molecular weight of 720 kDa, it so large a molecule that it tends to remain intravascular. Following conformational change, the protinase is deposited within a central cavity where it is still active but prevented from further contact with its substrate. Removal of the complex is mediated by the generation of recognition sites which react with receptors on a variety of cells including macrophages and liver cells. Alpha 2 macroglobulin is localized on the surface of peripheral blood lymphocytes.

Alternate Names

A2M, alpha 2Macroglobulin, CPAMD5

Gene Symbol

A2M

Additional alpha 2-Macroglobulin Products

Product Documents for alpha 2-Macroglobulin Antibody (7V6M10)

Certificate of Analysis

To download a Certificate of Analysis, please enter a lot number in the search box below.

Product Specific Notices for alpha 2-Macroglobulin Antibody (7V6M10)

This product is for research use only and is not approved for use in humans or in clinical diagnosis. Primary Antibodies are guaranteed for 1 year from date of receipt.

Loading...
Loading...
Loading...
Loading...