Skip to main content

Alkaline Phosphatase, Tissue Non-Specific Antibody (S08-6H0)

Novus Biologicals, part of Bio-Techne | Catalog # NBP3-19565

Recombinant Monoclonal Antibody
Novus Biologicals, part of Bio-Techne
Catalog #
Availability
Size / Price
Qty
Loading...
NBP3-19565-100ul
NBP3-19565-50ul

Key Product Details

Species Reactivity

Human, Mouse, Rat

Applications

Immunohistochemistry, Immunohistochemistry-Paraffin, Western Blot, Immunocytochemistry/ Immunofluorescence

Label

Unconjugated

Antibody Source

Recombinant Monoclonal Rabbit IgG Clone # S08-6H0 expressed in HEK293

Concentration

0.3 mg/ml

Product Specifications

Immunogen

A synthetic peptide of human Alkaline Phosphatase, Tissue Non-Specific (Uniprot # P05186)

Clonality

Monoclonal

Host

Rabbit

Isotype

IgG

Theoretical MW

80 kDa.
Disclaimer note: The observed molecular weight of the protein may vary from the listed predicted molecular weight due to post translational modifications, post translation cleavages, relative charges, and other experimental factors.

Description

Novus Biologicals Rabbit Alkaline Phosphatase, Tissue Non-Specific Antibody (S08-6H0) (NBP3-19565) is a recombinant monoclonal antibody validated for use in IHC, WB and ICC/IF. All Novus Biologicals antibodies are covered by our 100% guarantee.

Scientific Data Images for Alkaline Phosphatase, Tissue Non-Specific Antibody (S08-6H0)

Western Blot: Alkaline Phosphatase, Tissue Non-Specific Antibody (S08-6H0) [NBP3-19565]

Western Blot: Alkaline Phosphatase, Tissue Non-Specific Antibody (S08-6H0) [NBP3-19565]

Western Blot: Alkaline Phosphatase, Tissue Non-Specific Antibody (S08-6H0) [NBP3-19565] - Western blot detection of Alkaline Phosphatase, Tissue Non-Specific in Hela, C6 cell lysates using NBP3-19565 (1:500 diluted). Predicted band size: 57kDa. Observed band size: 80kDa.
Immunocytochemistry/ Immunofluorescence: Alkaline Phosphatase, Tissue Non-Specific Antibody (S08-6H0) [NBP3-19565]

Immunocytochemistry/ Immunofluorescence: Alkaline Phosphatase, Tissue Non-Specific Antibody (S08-6H0) [NBP3-19565]

Immunocytochemistry/Immunofluorescence: Alkaline Phosphatase, Tissue Non-Specific Antibody (S08-6H0) [NBP3-19565] - Immunofluorescence of Alkaline Phosphatase, Tissue Non-Specific (green) in Hela using NBP3-19565 at dilution 1/5, and DAPI (blue)
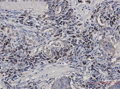
Immunohistochemistry-Paraffin: Alkaline Phosphatase, Tissue Non-Specific Antibody (S08-6H0) [NBP3-19565]

Immunohistochemistry-Paraffin: Alkaline Phosphatase, Tissue Non-Specific Antibody (S08-6H0) [NBP3-19565]

Immunohistochemistry-Paraffin: Alkaline Phosphatase, Tissue Non-Specific Antibody (S08-6H0) [NBP3-19565] - Immunohistochemistry of Alkaline Phosphatase, Tissue Non-Specific in paraffin-embedded Human lung cancer tissue using NBP3-19565 at dilution 1/50

Applications for Alkaline Phosphatase, Tissue Non-Specific Antibody (S08-6H0)

Application
Recommended Usage

Immunocytochemistry/ Immunofluorescence

1/20-1/100

Immunohistochemistry

1/50-1/200

Western Blot

1/2000-1/10000

Formulation, Preparation, and Storage

Purification

Affinity purified

Formulation

50mM Tris-Glycine(pH 7.4), 0.15M NaCl, 40% Glycerol, 0.05% BSA

Preservative

0.01% Sodium Azide

Concentration

0.3 mg/ml

Shipping

The product is shipped with polar packs. Upon receipt, store it immediately at the temperature recommended below.

Stability & Storage

Store at 4C short term. Aliquot and store at -20C long term. Avoid freeze-thaw cycles.

Background: Alkaline Phosphatase, Tissue Non-Specific

Undifferentiated human Embryonal Carcinoma (EC) and Embryonic Stem (ES) cells have been shown to express very high levels of Alkaline Phosphatase isozyme that is indistinguishable from the isozyme found in liver, bone and kidney. Expression levels of AP decrease following stem cell differentiation. This clone can be used to monitor the expression of the Human Liver / Bone / Kidney isozyme of Alkaline Phosphatase (AP), and hence the differentiation status of human EC and ES cells by flow cytometry.

Alternate Names

Alkaline phosphatase liver/bone/kidney isozyme, alkaline phosphatase, liver/bone/kidney, alkaline phosphatase, tissue-nonspecific isozyme, alkaline phosphomonoesterase, APTNAP, AP-TNAP, EC 3.1.3.1, FLJ40094, FLJ93059, glycerophosphatase, HOPS, liver/bone/kidney-type alkaline phosphatase, MGC161443, tissue-nonspecific ALP, TNAP, TNSALPMGC167935

Gene Symbol

ALPL

Additional Alkaline Phosphatase, Tissue Non-Specific Products

Product Documents for Alkaline Phosphatase, Tissue Non-Specific Antibody (S08-6H0)

Certificate of Analysis

To download a Certificate of Analysis, please enter a lot number in the search box below.

Product Specific Notices for Alkaline Phosphatase, Tissue Non-Specific Antibody (S08-6H0)

This product is for research use only and is not approved for use in humans or in clinical diagnosis. Primary Antibodies are guaranteed for 1 year from date of receipt.

Loading...
Loading...
Loading...
Loading...