Skip to main content

Alkaline Phosphatase/ALPP Antibody (PL8-F6) - Azide and BSA Free

Novus Biologicals, part of Bio-Techne | Catalog # NBP2-47993

Novus Biologicals, part of Bio-Techne
Catalog #
Availability
Size / Price
Qty
Loading...
NBP2-47993-0.1mg

Key Product Details

Species Reactivity

Human

Applications

Immunohistochemistry, Immunohistochemistry-Paraffin, Immunohistochemistry-Frozen, Western Blot, Flow Cytometry, Immunofluorescence, Immunocytochemistry/ Immunofluorescence, CyTOF-ready

Label

Unconjugated

Antibody Source

Monoclonal Mouse IgG2b Kappa Clone # PL8-F6

Format

Azide and BSA Free

Concentration

1.0 mg/ml

Product Specifications

Immunogen

Purified human Alkaline Phosphatase/ALPP protein (Uniprot: P05187)

Localization

Cytoplasmic and cell surface

Specificity

Reacts with a 70kDa membrane-bound isozyme (Regan and Nagao type) of Placental Alkaline Phosphatase (PLAP) occurring in the placenta during the 3rd trimester of gestation. It is highly specific for PLAP and shows no cross-reaction with other isozymes of alkaline phosphatase. Anti-PLAP reacts with germ cell tumors and can discriminate between these and other neoplasms. Somatic neoplasms e.g. breast, gastrointestinal, prostatic, and urinary cancers may also immunoreact with antibodies to PLAP. Anti-PLAP positivity in conjunction with anti-keratin negativity favors seminoma over carcinoma. Germ cell tumors are usually anti-keratin positive, but they regularly fail to stain with anti-EMA, whereas most carcinomas stain with anti-EMA. Anti-PLAP has been useful in the diagnosis of gestational trophoblastic disease.

Marker

Germ Cell Tumor Marker

Clonality

Monoclonal

Host

Mouse

Isotype

IgG2b Kappa

Theoretical MW

70 kDa.
Disclaimer note: The observed molecular weight of the protein may vary from the listed predicted molecular weight due to post translational modifications, post translation cleavages, relative charges, and other experimental factors.

Description

1.0 mg/ml of antibody purified from Bioreactor Concentrate by Protein A/G. Prepared in 10mM PBS WITHOUT BSA & azide. Also available at 200 ug/ml WITH BSA & azide (NBP2-44959).

Antibody with azide - store at 2 to 8C. Antibody without azide - store at -20 to -80C.

Scientific Data Images for Alkaline Phosphatase/ALPP Antibody (PL8-F6) - Azide and BSA Free

Western Blot: Alkaline Phosphatase/ALPP Antibody (PL8-F6)Azide and BSA Free [NBP2-47993]

Western Blot: Alkaline Phosphatase/ALPP Antibody (PL8-F6)Azide and BSA Free [NBP2-47993]

Western Blot: Alkaline Phosphatase/ALPP Antibody (PL8-F6) - Azide and BSA Free [NBP2-47993] - Western Blot Analysis of JEG-3 cell lysate using PLAP MAb (PL8-F6).
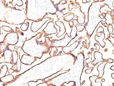
Immunohistochemistry-Paraffin: Alkaline Phosphatase/ALPP Antibody (PL8-F6) - Azide and BSA Free [NBP2-47993]

Immunohistochemistry-Paraffin: Alkaline Phosphatase/ALPP Antibody (PL8-F6) - Azide and BSA Free [NBP2-47993]

Immunohistochemistry-Paraffin: Alkaline Phosphatase/ALPP Antibody (PL8-F6) - Azide and BSA Free [NBP2-47993] - Human Placenta stained with PLAP Monoclonal Antibody (PL8-F6).

Applications for Alkaline Phosphatase/ALPP Antibody (PL8-F6) - Azide and BSA Free

Application
Recommended Usage

Flow Cytometry

0.5 - 1 ug/million cells in 0.1 ml

Immunocytochemistry/ Immunofluorescence

1-2 ug/ml

Immunofluorescence

0.5 - 1.0 ug/ml

Immunohistochemistry-Frozen

0.25 - 0.5 ug/ml

Immunohistochemistry-Paraffin

0.25 - 0.5 ug/ml
Application Notes
Immunohistochemistry (Frozen & Formalin-fixed): 0.25-0.5ug/ml for 30 minutes at RT. No special pretreatment is required for the immunohistochemical staining of formalin-fixed tissues.
Optimal dilution for a specific application should be determined.

Formulation, Preparation, and Storage

Purification

Protein A or G purified

Formulation

10 mM PBS

Format

Azide and BSA Free

Preservative

No Preservative

Concentration

1.0 mg/ml

Shipping

The product is shipped with polar packs. Upon receipt, store it immediately at the temperature recommended below.

Stability & Storage

Store at -20 to -80C. Avoid freeze-thaw cycles.

Background: Alkaline Phosphatase/ALPP

Alkaline phosphatases are phosphodiesterases. The placental-specific isozyme of Alkaline Phosphatase (PLAP) is found in trophoblast cells of normal human mature placenta, seminomas of testis and ovarian carcinomas. Detection of alkaline phosphatase in serum is a marker for ovarian and testicular cancer.

Long Name

Alkaline Phosphatase, Placental Type

Alternate Names

Alkaline Phosphatase, PLAP, SEAP

Gene Symbol

ALPP

Additional Alkaline Phosphatase/ALPP Products

Product Documents for Alkaline Phosphatase/ALPP Antibody (PL8-F6) - Azide and BSA Free

Certificate of Analysis

To download a Certificate of Analysis, please enter a lot number in the search box below.

Product Specific Notices for Alkaline Phosphatase/ALPP Antibody (PL8-F6) - Azide and BSA Free

This product is for research use only and is not approved for use in humans or in clinical diagnosis. Primary Antibodies are guaranteed for 1 year from date of receipt.

Loading...
Loading...
Loading...
Loading...
Loading...
Loading...