Skip to main content

Alkaline Phosphatase/ALPP/ALPI Antibody (rALP/870)

Novus Biologicals, part of Bio-Techne | Catalog # NBP3-49111

Novus Biologicals, part of Bio-Techne
Catalog #
Availability
Size / Price
Qty
Loading...
NBP3-49111-100ug
NBP3-49111-20ug

Key Product Details

Species Reactivity

Human

Applications

Immunohistochemistry, Western Blot

Label

Unconjugated

Antibody Source

Monoclonal Mouse IgG1 kappa Clone # rALP/870

Concentration

Please see the vial label for concentration. If unlisted please contact technical services.

Product Specifications

Immunogen

Recombinant full-length human ALPP protein (Uniprot: P05187)

Localization

Cell membrane

Specificity

Reacts with a 70kDa membrane-bound isozyme (Regan and Nagao type) of Placental Alkaline Phosphatase (PLAP) occurring in the placenta during the 3rd trimester of gestation. It is highly specific for PLAP and shows no cross-reaction with other isozymes of alkaline phosphatase. Anti-PLAP reacts with germ cell tumors and can discriminate between these and other neoplasms. Somatic neoplasms e.g. breast, gastrointestinal, prostatic, and urinary cancers may also immunoreact with antibodies to PLAP. Anti-PLAP positivity in conjunction with anti-keratin negativity favors seminoma over carcinoma. Germ cell tumors are usually anti-keratin positive, but they regularly fail to stain with anti-EMA, whereas most carcinomas stain with anti-EMA. Anti-PLAP has been useful in the diagnosis of gestational trophoblastic disease.

Clonality

Monoclonal

Host

Mouse

Isotype

IgG1 kappa

Theoretical MW

70 kDa.
Disclaimer note: The observed molecular weight of the protein may vary from the listed predicted molecular weight due to post translational modifications, post translation cleavages, relative charges, and other experimental factors.

Description

200ug/ml of Ab produced in HEK293 cell mammalian-based expression system. Prepared in 10mM PBS with 0.05% BSA & 0.05% azide. Also available WITHOUT BSA & azide at 1.0mg/ml.

Antibody with azide - store at 2 to 8 C. Antibody without azide - store at -20 to -80 C. Antibody is stable for 24 months. Non-hazardous. No MSDS required.

Scientific Data Images for Alkaline Phosphatase/ALPP/ALPI Antibody (rALP/870)

Alkaline Phosphatase/ALPP/ALPI Antibody (rALP/870)

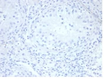
Immunohistochemistry-Paraffin: Alkaline Phosphatase/ALPP/ALPI Antibody (rALP/870) [NBP3-49111] -

IHC analysis of formalin-fixed, paraffin-embedded human kidney. Negative tissue control using Alkaline Phosphatase/ALPP/ALPI Antibody (rALP/870)at 2ug/ml in PBS for 30min RT. HIER: Tris/EDTA, pH9.0, 45min. 2 °: HRP-polymer, 30min. DAB, 5min.
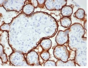
Alkaline Phosphatase/ALPP/ALPI Antibody (rALP/870)

Immunohistochemistry-Paraffin: Alkaline Phosphatase/ALPP/ALPI Antibody (rALP/870) [NBP3-49111] -

IHC analysis of formalin-fixed, paraffin-embedded human placenta stained using Alkaline Phosphatase/ALPP/ALPI Antibody (rALP/870) at 2ug/ml in PBS for 30min RT.
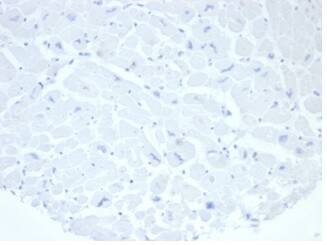
Alkaline Phosphatase/ALPP/ALPI Antibody (rALP/870)

Immunohistochemistry-Paraffin: Alkaline Phosphatase/ALPP/ALPI Antibody (rALP/870) [NBP3-49111] -

IHC analysis of formalin-fixed, paraffin-embedded human testis. Negative tissue control using Alkaline Phosphatase/ALPP/ALPI Antibody (rALP/870)at 2ug/ml in PBS for 30min RT. HIER: Tris/EDTA, pH9.0, 45min. 2 °: HRP-polymer, 30min. DAB, 5min.

Applications for Alkaline Phosphatase/ALPP/ALPI Antibody (rALP/870)

Application
Recommended Usage

Immunohistochemistry

Optimal dilutions of this antibody should be experimentally determined.

Western Blot

Optimal dilutions of this antibody should be experimentally determined.

Formulation, Preparation, and Storage

Purification

Protein A or G purified

Formulation

10 mM PBS with 0.05% BSA

Preservative

0.05% Sodium Azide

Concentration

Please see the vial label for concentration. If unlisted please contact technical services.

Shipping

The product is shipped with polar packs. Upon receipt, store it immediately at the temperature recommended below.

Stability & Storage

Store at 4C.

Background: Alkaline Phosphatase/ALPP/ALPI

The protein encoded by this gene is an alkaline phosphatase, a metalloenzyme that catalyzes the hydrolysis of phosphoric acid monoesters. It belongs to a multigene family composed of four alkaline phosphatase isoenzymes. The enzyme functions as a homodimer and has a catalytic site containing one magnesium and two zinc ions, which are required for its enzymatic function. One of the main sources of this enzyme is the liver, and thus, it's one of several indicators of liver injury in different clinical conditions. In pregnant women, this protein is primarily expressed in placental and endometrial tissue, however, strong ectopic expression has been detected in ovarian adenocarcinoma, serous cystadenocarcinoma, and other ovarian cancer cells.

Alternate Names

Alkaline phosphatase Regan isozyme, alkaline phosphatase, placental type, alkaline phosphomonoesterase, ALP, ALPI, EC 3.1.3.1, glycerophosphatase, IAP, Intestinal alkaline phosphatase, intestinal-type alkaline phosphatase, PALP, Placental alkaline phosphatase 1, PLAP, PLAP-1

Gene Symbol

ALPP

Additional Alkaline Phosphatase/ALPP/ALPI Products

Product Documents for Alkaline Phosphatase/ALPP/ALPI Antibody (rALP/870)

Certificate of Analysis

To download a Certificate of Analysis, please enter a lot number in the search box below.

Product Specific Notices for Alkaline Phosphatase/ALPP/ALPI Antibody (rALP/870)

This product is for research use only and is not approved for use in humans or in clinical diagnosis. Primary Antibodies are guaranteed for 1 year from date of receipt.

Loading...
Loading...
Loading...
Loading...