Skip to main content

Alix Antibody

Novus Biologicals, part of Bio-Techne | Catalog # NBP3-28996

Novus Biologicals, part of Bio-Techne
Catalog #
Availability
Size / Price
Qty
Loading...
NBP3-28996

Key Product Details

Species Reactivity

Human

Applications

Immunohistochemistry, Western Blot, Simple Western, Immunoprecipitation

Label

Unconjugated

Antibody Source

Polyclonal Rabbit IgG

Concentration

Please see the vial label for concentration. If unlisted please contact technical services.

Product Specifications

Immunogen

between 818 and 868

Clonality

Polyclonal

Host

Rabbit

Isotype

IgG

Description

Novus Biologicals Rabbit Alix Antibody (NBP3-28996) is a polyclonal antibody validated for use in IHC, WB, Simple Western and IP. All Novus Biologicals antibodies are covered by our 100% guarantee.

Scientific Data Images for Alix Antibody

Alix Antibody

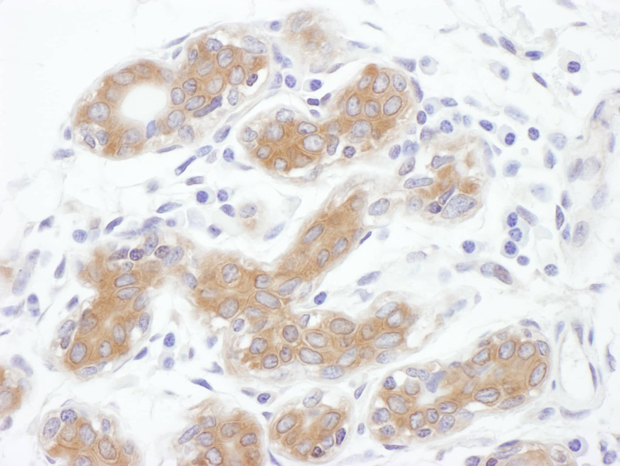
Immunohistochemistry:[NBP3-28996]-

Immunohistochemistry:[NBP3-28996]-Detection of human ALIX by immunohistochemistry. Sample: FFPE section of human breast carcinoma. Antibody: Affinity purified rabbit anti-ALIX used at a dilution of 1: 200. Detection: DAB
Alix Antibody

Immunohistochemistry:[NBP3-28996]-

Immunohistochemistry:[NBP3-28996]-Alix Antibody

Applications for Alix Antibody

Application
Recommended Usage

Immunohistochemistry

Optimal dilutions of this antibody should be experimentally determined.

Immunoprecipitation

Optimal dilutions of this antibody should be experimentally determined.

Simple Western

Optimal dilutions of this antibody should be experimentally determined.

Western Blot

Optimal dilutions of this antibody should be experimentally determined.

Formulation, Preparation, and Storage

Purification

Affinity purified

Formulation

Tris-buffered Saline 0.1% BSA

Preservative

0.09% Sodium Azide

Concentration

Please see the vial label for concentration. If unlisted please contact technical services.

Shipping

The product is shipped with polar packs. Upon receipt, store it immediately at the temperature recommended below.

Stability & Storage

Store at 4C. Do not freeze.

Background: Alix

Alix encodes a protein thought to participate in programmed cell death. Studies using mouse cells have shown that overexpression of this protein can block apoptosis. In addition, the product of this gene binds to the product of the PDCD6 gene, a protein required for apoptosis, in a calcium-dependent manner. This gene product also binds to endophilins, proteins that regulate membrane shape during endocytosis. Overexpression of this gene product and endophilins results in cytoplasmic vacuolization which may be partly responsible for the protection against cell death.

Alternate Names

AIP1DRIP4, ALG-2 interacting protein 1, ALG-2 interacting protein X, ALG-2-interacting protein 1, alinx, ALIX, apoptosis-linked gene 2-interacting protein X, dopamine receptor interacting protein 4, HP95, KIAA1375, MGC17003, PDCD6-interacting protein, programmed cell death 6 interacting protein, programmed cell death 6-interacting protein

Gene Symbol

PDCD6IP

Additional Alix Products

Product Documents for Alix Antibody

Certificate of Analysis

To download a Certificate of Analysis, please enter a lot number in the search box below.

Product Specific Notices for Alix Antibody

This product is for research use only and is not approved for use in humans or in clinical diagnosis. Primary Antibodies are guaranteed for 1 year from date of receipt.

Loading...
Loading...
Loading...
Loading...