Skip to main content

ALG5 Antibody - BSA Free

Novus Biologicals, part of Bio-Techne | Catalog # NBP3-48182

Novus Biologicals, part of Bio-Techne
Catalog #
Availability
Size / Price
Qty
Loading...
NBP3-48182

Key Product Details

Species Reactivity

Human, Mouse, Rat

Applications

ELISA, Immunohistochemistry, Western Blot

Label

Unconjugated

Antibody Source

Polyclonal Rabbit IgG

Format

BSA Free

Concentration

Please see the vial label for concentration. If unlisted please contact technical services.

Product Specifications

Immunogen

asparagine-linked glycosylation 5, dolichyl-phosphate beta-glucosyltransferase homolog. (Uniprot# Q9Y673)

Clonality

Polyclonal

Host

Rabbit

Isotype

IgG

Theoretical MW

37 kDa.
Disclaimer note: The observed molecular weight of the protein may vary from the listed predicted molecular weight due to post translational modifications, post translation cleavages, relative charges, and other experimental factors.

Description

Novus Biologicals Rabbit ALG5 Antibody - BSA Free (NBP3-48182) is a polyclonal antibody validated for use in IHC, WB and ELISA. All Novus Biologicals antibodies are covered by our 100% guarantee.

Scientific Data Images for ALG5 Antibody - BSA Free

ALG5 Antibody - BSA Free

Western Blot: ALG5 Antibody - BSA Free [NBP3-48182] -

Western Blot: ALG5 Antibody - BSA Free [NBP3-48182] - Human kidney tissue were subjected to SDS PAGE followed by western blot with (ALG5 antibody) at dilution of 1:500
ALG5 Antibody - BSA Free

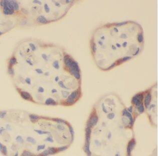
Immunohistochemistry: ALG5 Antibody - BSA Free [NBP3-48182] -

Immunohistochemistry: ALG5 Antibody - BSA Free [NBP3-48182] - Immunohistochemistry of paraffin-embedded human placenta using (ALG5 antibody) at dilution of 1:50

Applications for ALG5 Antibody - BSA Free

Application
Recommended Usage

Immunohistochemistry

1:20-1:200

Western Blot

1:200-1:2000

Formulation, Preparation, and Storage

Purification

Immunogen affinity purified

Formulation

PBS, 50% Glycerol, pH (7.3)

Format

BSA Free

Preservative

0.02% Sodium Azide

Concentration

Please see the vial label for concentration. If unlisted please contact technical services.

Shipping

The product is shipped with polar packs. Upon receipt, store it immediately at the temperature recommended below.

Stability & Storage

Store at -20C. Avoid freeze-thaw cycles.

Background: ALG5

ALG5, also known as Dolichyl-phosphate beta-glucosyltransferase, has a 37 kDa and a 34 kDa isoform, and is involved in the process of substrate recognition. Disease research is currently being conducted on ALG5 and its relation to the congenital disorder of glycosylation. The protein has been linked to several protein metabolism, biosynthesis, and modification pathways, where it interacts with ACER3, DDOST, PIGK, RPN1, and ALG12.

Alternate Names

Alg5, S. cerevisiae, homolog of, asparagine-linked glycosylation 5 homolog (S. cerevisiae, dolichyl-phosphatebeta-glucosyltransferase), asparagine-linked glycosylation 5 homolog (yeast, dolichyl-phosphatebeta-glucosyltransferase), asparagine-linked glycosylation 5, dolichyl-phosphate beta-glucosyltransferasehomolog (S. cerevisiae), Asparagine-linked glycosylation protein 5 homolog, bA421P11.2, dolichyl phosphate glucosyltransferase, dolichyl-phosphate beta-glucosyltransferase, dolP-glucosyltransferase, EC 2.4.1, EC 2.4.1.117, RP11-421P11.2

Gene Symbol

ALG5

Additional ALG5 Products

Product Documents for ALG5 Antibody - BSA Free

Certificate of Analysis

To download a Certificate of Analysis, please enter a lot number in the search box below.

Product Specific Notices for ALG5 Antibody - BSA Free

This product is for research use only and is not approved for use in humans or in clinical diagnosis. Primary Antibodies are guaranteed for 1 year from date of receipt.

Loading...
Loading...
Loading...
Loading...