Skip to main content

ALG5 Antibody - Azide and BSA Free

Novus Biologicals, part of Bio-Techne | Catalog # NBP2-92371

Novus Biologicals, part of Bio-Techne
Catalog #
Availability
Size / Price
Qty
Loading...
NBP2-92371-0.02ml
NBP2-92371-0.1ml

Key Product Details

Species Reactivity

Human, Mouse, Rat

Applications

Immunocytochemistry/ Immunofluorescence, Immunohistochemistry, Immunohistochemistry-Paraffin, Western Blot

Label

Unconjugated

Antibody Source

Polyclonal Rabbit IgG

Format

Azide and BSA Free

Concentration

Please see the vial label for concentration. If unlisted please contact technical services.

Product Specifications

Immunogen

Recombinant fusion protein containing a sequence corresponding to amino acids 34-190 of human ALG5 (NP_037470.1). MPALHRHEEEKFFLNAKGQKETLPSIWDSPTKQLSVVVPSYNEEKRLPVMMDEALSYLEKRQKRDPAFTYEVIVVDDGSKDQTSKVAFKYCQKYGSDKVRVITLVKNRGKGGAIRMGIFSSRGEKILMADADGATKFPDVEKLEKGLNDLQPWPNQM

Clonality

Polyclonal

Host

Rabbit

Isotype

IgG

Theoretical MW

37 kDa.
Disclaimer note: The observed molecular weight of the protein may vary from the listed predicted molecular weight due to post translational modifications, post translation cleavages, relative charges, and other experimental factors.

Description

Novus Biologicals Rabbit ALG5 Antibody - Azide and BSA Free (NBP2-92371) is a polyclonal antibody validated for use in IHC, WB and ICC/IF. All Novus Biologicals antibodies are covered by our 100% guarantee.

Scientific Data Images for ALG5 Antibody - Azide and BSA Free

Western Blot: ALG5 AntibodyAzide and BSA Free [NBP2-92371]

Western Blot: ALG5 AntibodyAzide and BSA Free [NBP2-92371]

Western Blot: ALG5 Antibody [NBP2-92371] - Analysis of extracts of various cell lines, using ALG5 at 1:1000 dilution.Secondary antibody: HRP Goat Anti-Rabbit IgG (H+L) at 1:10000 dilution.Lysates/proteins: 25ug per lane.Blocking buffer: 3% nonfat dry milk in TBST.Detection: ECL Basic Kit .Exposure time: 90s.
Immunohistochemistry-Paraffin: ALG5 Antibody - Azide and BSA Free [NBP2-92371]

Immunohistochemistry-Paraffin: ALG5 Antibody - Azide and BSA Free [NBP2-92371]

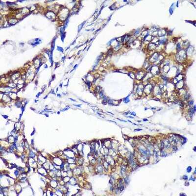
Immunohistochemistry-Paraffin: ALG5 Antibody [NBP2-92371] - Immunohistochemistry of paraffin-embedded Human colon carcinoma using ALG5 Rabbit pAb (NBP2-92371) at dilution of 1:100 (40x lens). Perform microwave antigen retrieval with 10 mM PBS buffer pH 7.2 before commencing with IHC staining protocol.
Immunohistochemistry-Paraffin: ALG5 Antibody - Azide and BSA Free [NBP2-92371]

Immunohistochemistry-Paraffin: ALG5 Antibody - Azide and BSA Free [NBP2-92371]

Immunohistochemistry-Paraffin: ALG5 Antibody [NBP2-92371] - Immunohistochemistry of paraffin-embedded Mouse pancreas using ALG5 Rabbit pAb (NBP2-92371) at dilution of 1:100 (40x lens). Perform microwave antigen retrieval with 10 mM PBS buffer pH 7.2 before commencing with IHC staining protocol.

Applications for ALG5 Antibody - Azide and BSA Free

Application
Recommended Usage

Immunocytochemistry/ Immunofluorescence

1:50-1:200

Immunohistochemistry

1:50-1:200

Western Blot

1:500-1:2000

Formulation, Preparation, and Storage

Purification

Affinity purified

Formulation

PBS (pH 7.3), 50% glycerol

Format

Azide and BSA Free

Preservative

0.01% Thimerosal

Concentration

Please see the vial label for concentration. If unlisted please contact technical services.

Shipping

The product is shipped with polar packs. Upon receipt, store it immediately at the temperature recommended below.

Stability & Storage

Store at -20C. Avoid freeze-thaw cycles.

Background: ALG5

ALG5, also known as Dolichyl-phosphate beta-glucosyltransferase, has a 37 kDa and a 34 kDa isoform, and is involved in the process of substrate recognition. Disease research is currently being conducted on ALG5 and its relation to the congenital disorder of glycosylation. The protein has been linked to several protein metabolism, biosynthesis, and modification pathways, where it interacts with ACER3, DDOST, PIGK, RPN1, and ALG12.

Alternate Names

Alg5, S. cerevisiae, homolog of, asparagine-linked glycosylation 5 homolog (S. cerevisiae, dolichyl-phosphatebeta-glucosyltransferase), asparagine-linked glycosylation 5 homolog (yeast, dolichyl-phosphatebeta-glucosyltransferase), asparagine-linked glycosylation 5, dolichyl-phosphate beta-glucosyltransferasehomolog (S. cerevisiae), Asparagine-linked glycosylation protein 5 homolog, bA421P11.2, dolichyl phosphate glucosyltransferase, dolichyl-phosphate beta-glucosyltransferase, dolP-glucosyltransferase, EC 2.4.1, EC 2.4.1.117, RP11-421P11.2

Gene Symbol

ALG5

Additional ALG5 Products

Product Documents for ALG5 Antibody - Azide and BSA Free

Certificate of Analysis

To download a Certificate of Analysis, please enter a lot number in the search box below.

Product Specific Notices for ALG5 Antibody - Azide and BSA Free

This product is for research use only and is not approved for use in humans or in clinical diagnosis. Primary Antibodies are guaranteed for 1 year from date of receipt.

Loading...
Loading...
Loading...
Loading...

⚠ WARNING: This product can expose you to chemicals including Methotrexate, which is known to the State of California to cause reproductive toxicity with developmental effects. For more information, go to www.P65Warnings.ca.gov