Skip to main content

Aldo-keto Reductase 1C1/AKR1C1 Antibody (AKR1C1/9062)

Novus Biologicals, part of Bio-Techne | Catalog # NBP3-44594

Novus Biologicals, part of Bio-Techne
Catalog #
Availability
Size / Price
Qty
Loading...
NBP3-44594-100ug
NBP3-44594-20ug

Key Product Details

Species Reactivity

Human

Applications

Immunohistochemistry, Western Blot

Label

Unconjugated

Antibody Source

Monoclonal Mouse IgG2a Kappa Clone # AKR1C1/9062

Concentration

0.2 mg/ml

Product Specifications

Immunogen

Recombinant human full-length Aldo-keto Reductase 1C1/AKR1C1 protein (Uniprot: Q04828). Exact sequence is proprietary.

Localization

Cytoplasm.

Clonality

Monoclonal

Host

Mouse

Isotype

IgG2a Kappa

Theoretical MW

37 kDa.
Disclaimer note: The observed molecular weight of the protein may vary from the listed predicted molecular weight due to post translational modifications, post translation cleavages, relative charges, and other experimental factors.

Description

200ug/ml of antibody purified from Bioreactor Concentrate by Protein A/G. Prepared in 10 mM PBS with 0.05% BSA & 0.05% azide. Also available WITHOUT BSA & azide at 1.0 mg/ml.

Antibody with azide - store at 2 to 8C. Antibody without azide - store at -20 to -80C. Non-hazardous. No MSDS required.

Scientific Data Images for Aldo-keto Reductase 1C1/AKR1C1 Antibody (AKR1C1/9062)

Aldo-keto Reductase 1C1/AKR1C1 Antibody (AKR1C1/9062)

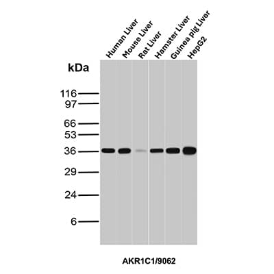
Western Blot: Aldo-keto Reductase 1C1/AKR1C1 Antibody (AKR1C1/9062) [NBP3-44594] -

Western blot analysis of (1) human liver, (2) mouse liver, (3) rat liver, (4) hamster liver, (5) guinea pig liver and (6) HepG2 cell lysates using Aldo-keto Reductase 1C1/AKR1C1 Antibody (AKR1C1/9062).
Aldo-keto Reductase 1C1/AKR1C1 Antibody (AKR1C1/9062)

Western Blot: Aldo-keto Reductase 1C1/AKR1C1 Antibody (AKR1C1/9062) [NBP3-44594] -

Western Blot Analysis of HePG2 cell lysate using Aldo-keto Reductase 1C1/AKR1C1 Antibody (AKR1C1/9062).
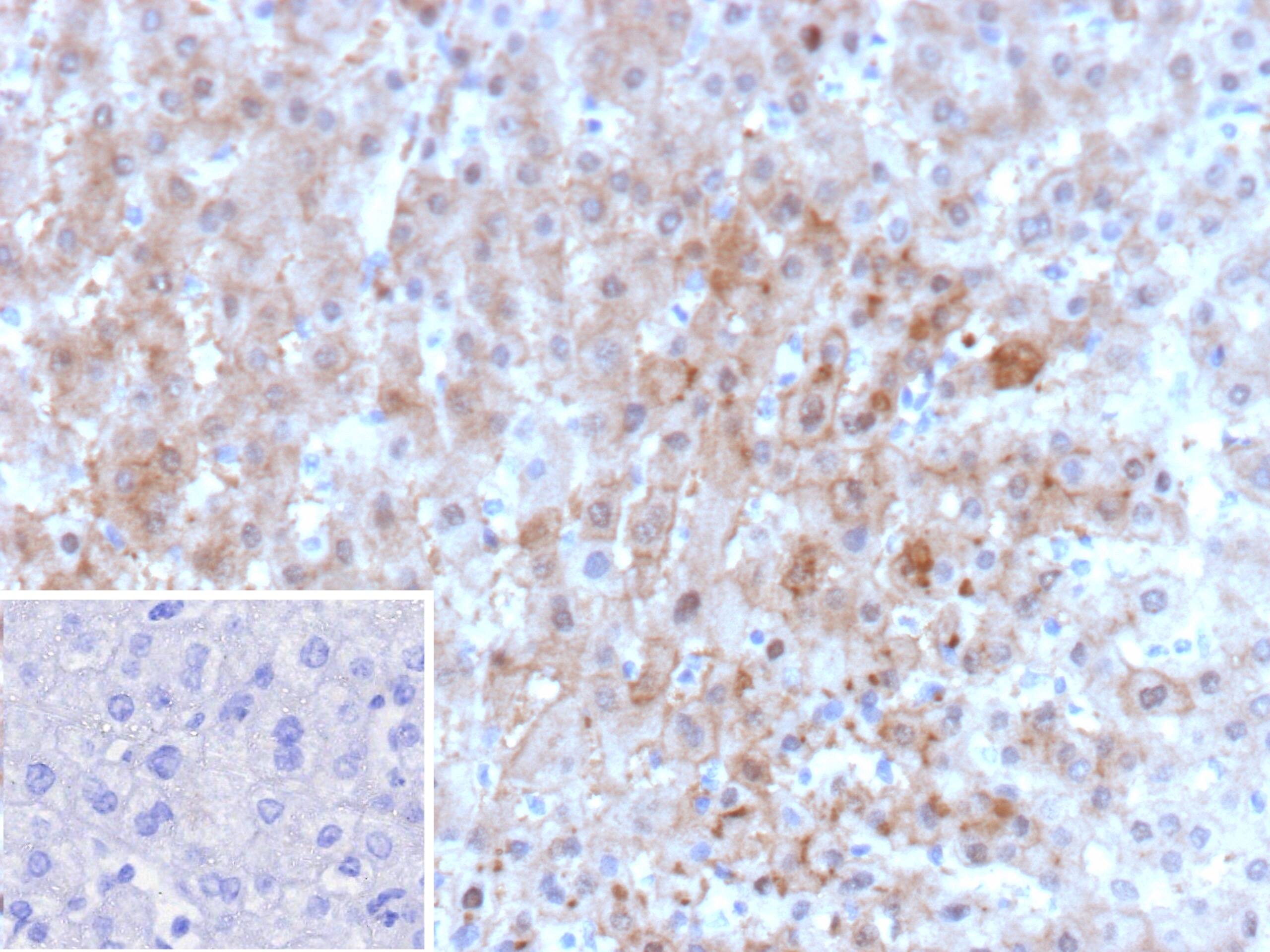
Aldo-keto Reductase 1C1/AKR1C1 Antibody (AKR1C1/9062)

Immunohistochemistry-Paraffin: Aldo-keto Reductase 1C1/AKR1C1 Antibody (AKR1C1/9062) [NBP3-44594] -

Formalin-fixed, paraffin-embedded human liver stained with Aldo-keto Reductase 1C1/AKR1C1 Antibody (AKR1C1/9062). Inset: PBS instead of primary antibody; secondary only negative control.

Applications for Aldo-keto Reductase 1C1/AKR1C1 Antibody (AKR1C1/9062)

Application
Recommended Usage

Immunohistochemistry

1-2ug/ml

Western Blot

2-4ug/ml
Application Notes
Immunohistochemistry: 30 min at RT. Staining of formalin-fixed tissues requires heating tissue sections in 10mM Tris with 1mM EDTA, pH 9.0, for 45 min at 95C followed by cooling at RT for 20 minutes.

Formulation, Preparation, and Storage

Purification

Protein A purified

Formulation

10 mM PBS with 0.05% BSA

Preservative

0.05% Sodium Azide

Concentration

0.2 mg/ml

Shipping

The product is shipped with polar packs. Upon receipt, store it immediately at the temperature recommended below.

Stability & Storage

Store at 4C.

Background: Aldo-keto Reductase 1C1/AKR1C1

AKR1C1 encodes a member of the aldo/keto reductase superfamily, which consists of more than 40 known enzymes and proteins. These enzymes catalyze the conversion of aldehydes and ketones to their corresponding alcohols by utilizing NADH and/or NADPH as cofactors. The enzymes display overlapping but distinct substrate specificity. This enzyme catalyzes the reaction of progesterone to the inactive form 20-alpha-hydroxy-progesterone. This gene shares high sequence identity with three other gene members and is clustered with those three genes at chromosome 10p15-p14.

Long Name

Aldo-keto Reductase Family 1, Member C1

Alternate Names

2-ALPHA-HSD, 20-ALPHA-HSD, AKR1C1, AldoketoReductase 1C1, DDH1, HAKRC, HBAB

Gene Symbol

AKR1C1

Additional Aldo-keto Reductase 1C1/AKR1C1 Products

Product Documents for Aldo-keto Reductase 1C1/AKR1C1 Antibody (AKR1C1/9062)

Certificate of Analysis

To download a Certificate of Analysis, please enter a lot number in the search box below.

Product Specific Notices for Aldo-keto Reductase 1C1/AKR1C1 Antibody (AKR1C1/9062)

This product is for research use only and is not approved for use in humans or in clinical diagnosis. Primary Antibodies are guaranteed for 1 year from date of receipt.

Loading...
Loading...
Loading...
Loading...