Skip to main content

ALDH1L1 Antibody (ALDH1L1/7969) - Azide and BSA Free

Novus Biologicals, part of Bio-Techne | Catalog # NBP3-24234

Catalog #
Availability
Size / Price
Qty
Loading...
NBP3-24234
Conjugate
Catalog #

Key Product Details

Species Reactivity

Human

Applications

Immunohistochemistry-Paraffin

Label

Unconjugated

Antibody Source

Monoclonal Mouse IgG2 kappa Clone # ALDH1L1/7969

Format

Azide and BSA Free

Concentration

1 mg/ml

Product Specifications

Immunogen

Recombinant fragment of human ALDH1L1 protein (exact sequence is proprietary)

Localization

Cytoplasm.

Clonality

Monoclonal

Host

Mouse

Isotype

IgG2 kappa

Description

Antibody without azide - store at -20 to -80C.

Scientific Data Images for ALDH1L1 Antibody (ALDH1L1/7969) - Azide and BSA Free

Immunohistochemistry-Paraffin: ALDH1L1 Antibody (ALDH1L1/7969) - Azide and BSA Free [NBP3-24234] -

Formalin-fixed, paraffin-embedded human renal cell carcinoma stained with ALDH1L1 antibody (ALDH1L1/7969) - Azide and BSA Free. HIER: Tris/EDTA, pH9.0, 45min. Secondary: HRP-polymer, 30min. DAB, 5min.

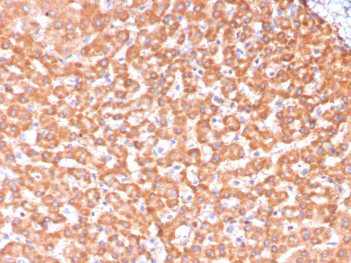
Immunohistochemistry-Paraffin: ALDH1L1 Antibody (ALDH1L1/7969) - Azide and BSA Free [NBP3-24234] -

Formalin-fixed, paraffin-embedded human hepatocellular carcinoma stained with ALDH1L1 antibody (ALDH1L1/7969) - Azide and BSA Free. HIER: Tris/EDTA, pH9.0, 45min. Secondary: HRP-polymer, 30min. DAB, 5min.

Applications for ALDH1L1 Antibody (ALDH1L1/7969) - Azide and BSA Free

Application
Recommended Usage

Immunohistochemistry-Paraffin

1-2ug/ml
Application Notes
Immunohistochemistry-Paraffin: 1-2ug/ml for 30 minutes at RT. Staining of formalin-fixed tissues requires heating tissue sections in 10mM Tris with 1mM EDTA, pH 9.0, for 45 min at 95C followed by cooling at RT for 20 minutes. Optimal dilution for a specific application should be determined.

Formulation, Preparation, and Storage

Purification

Protein A or G purified

Formulation

10mM PBS

Format

Azide and BSA Free

Preservative

No Preservative

Concentration

1 mg/ml

Shipping

The product is shipped with polar packs. Upon receipt, store it immediately at the temperature recommended below.

Stability & Storage

Store at -20 to -80C. Avoid freeze-thaw cycles.

Background: ALDH1L1

ALDH1L1 is encoded by this gene catalyzes the conversion of 10-formyltetrahydrofolate, NADP, and water to tetrahydrofolate, NADPH, and carbon dioxide. The encoded protein belongs to the aldehyde dehydrogenase family and is responsible for formate oxidation in vivo. Deficiencies in this gene can result in an accumulation of formate and subsequent methanol poisoning.

Alternate Names

10-formyltetrahydrofolate dehydrogenase, aldehyde dehydrogenase 1 family, member L1, aldehyde dehydrogenase family 1 member L1, Cytosolic 10-formyltetrahydrofolate dehydrogenase, DKFZp781N0997, EC 1.5.1.6,10-FTHFDH, FDH, formyltetrahydrofolate dehydrogenase, FTHFD10-fTHF

Gene Symbol

ALDH1L1

Additional ALDH1L1 Products

Product Documents for ALDH1L1 Antibody (ALDH1L1/7969) - Azide and BSA Free

Certificate of Analysis

To download a Certificate of Analysis, please enter a lot number in the search box below.

Product Specific Notices for ALDH1L1 Antibody (ALDH1L1/7969) - Azide and BSA Free

This product is for research use only and is not approved for use in humans or in clinical diagnosis. Primary Antibodies are guaranteed for 1 year from date of receipt.

Loading...
Loading...
Loading...
Loading...