Skip to main content

ALDH1A3 Antibody (CL11968) - Azide and BSA Free

Novus Biologicals, part of Bio-Techne | Catalog # NBP3-44356

Novus Biologicals, part of Bio-Techne
Catalog #
Availability
Size / Price
Qty
Loading...
NBP3-44356

Key Product Details

Validated by

Orthogonal Validation

Species Reactivity

Human

Applications

Immunohistochemistry-Paraffin, Western Blot, Immunocytochemistry/ Immunofluorescence

Label

Unconjugated

Antibody Source

Monoclonal Mouse IgG2A Clone # CL11968

Format

Azide and BSA Free

Concentration

LYOPH mg/ml

Product Specifications

Immunogen

This antibody was generated using a synthetic peptide of P47895, with the exact immunogen sequence remaining proprietary.

Clonality

Monoclonal

Host

Mouse

Isotype

IgG2A

Description

Novus Biologicals Mouse ALDH1A3 Antibody (CL11968) - Azide and BSA Free (NBP3-15126) is a monoclonal antibody validated for use in IHC, WB and ICC/IF. All Novus Biologicals antibodies are covered by our 100% guarantee.

Scientific Data Images for ALDH1A3 Antibody (CL11968) - Azide and BSA Free

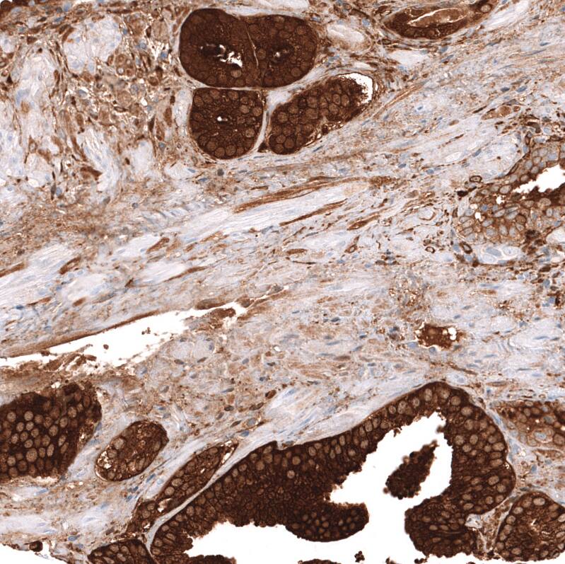
ALDH1A3 Antibody (CL11968) - Azide and BSA Free Immunohistochemistry-Paraffin: ALDH1A3 Antibody [NBP3-44356]

Immunohistochemistry-Paraffin: ALDH1A3 Antibody [NBP3-44356]

Analysis in human prostate and skeletal muscle tissues using NBP3-44356 antibody. Corresponding ALDH1A3 RNA-seq data are presented for the same tissues.
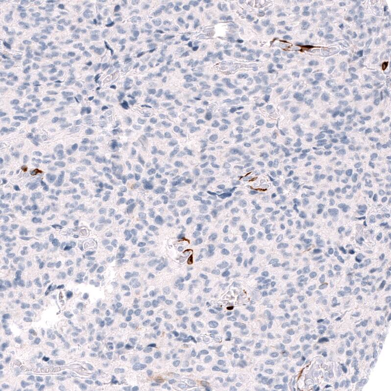
ALDH1A3 Antibody (CL11968) - Azide and BSA Free Immunohistochemistry-Paraffin: ALDH1A3 Antibody [NBP3-44356]

Immunohistochemistry-Paraffin: ALDH1A3 Antibody [NBP3-44356]

Staining of human anaplastic oligodendroglioma shows strong cytoplasmic positivity in a subset of cells.
ALDH1A3 Antibody (CL11968) - Azide and BSA Free Immunohistochemistry-Paraffin: ALDH1A3 Antibody [NBP3-44356]

Immunohistochemistry-Paraffin: ALDH1A3 Antibody [NBP3-44356]

Staining of human cerebral cortex shows strong cytoplasmic positivity in glial cells.

Applications for ALDH1A3 Antibody (CL11968) - Azide and BSA Free

Application
Recommended Usage

Immunocytochemistry/ Immunofluorescence

2-10 ug/ml

Immunohistochemistry-Paraffin

1:1000 - 1:2500

Western Blot

1 ug/ml
Application Notes
For IHC-Paraffin, HIER pH 6 retrieval is recommended. Immunocytochemistry/Immunofluorescence, PFA/Triton X-100 is recommended for fixation/permeabilization.

Formulation, Preparation, and Storage

Purification

Protein A purified

Reconstitution

Centrifuge the vial of lyophilized antibody at 12,000 x g for 20 seconds. Reconstitute by adding sterile, distilled water to achieve a final antibody concentration of 1mg/ml.

Formulation

Lyophilized from a 0.2 um filtered solution in PBS with Trehalose

Format

Azide and BSA Free

Preservative

No Preservative

Concentration

LYOPH mg/ml

Shipping

The product is shipped at ambient temperature. Upon receipt, store it immediately at the temperature recommended below.

Stability & Storage

Store at 4C short term. Aliquot and store at -20C long term. Avoid freeze-thaw cycles.

Background: Aldehyde Dehydrogenase 1-A3/ALDH1A3

Aldehyde dehydrogenase isozymes are thought to play a major role in the detoxification of aldehydes generated by alcohol metabolism and lipid peroxidation. The enzyme encoded by this gene uses retinal as a substrate, either in a free or cellular retinol-binding protein form. [provided by RefSeq].

Long Name

Aldehyde Dehydrogenase 1 Family Member A3

Alternate Names

ALDH1A3, ALDH6, MCOP8, RALDH3

Gene Symbol

ALDH1A3

Additional Aldehyde Dehydrogenase 1-A3/ALDH1A3 Products

Product Documents for ALDH1A3 Antibody (CL11968) - Azide and BSA Free

Certificate of Analysis

To download a Certificate of Analysis, please enter a lot number in the search box below.

Product Specific Notices for ALDH1A3 Antibody (CL11968) - Azide and BSA Free

This product is for research use only and is not approved for use in humans or in clinical diagnosis. Primary Antibodies are guaranteed for 1 year from date of receipt.

Loading...
Loading...
Loading...
Loading...
Loading...