Skip to main content

alcohol dehydrogenase 5 Antibody (OTI5G4) - Azide and BSA Free

Novus Biologicals, part of Bio-Techne | Catalog # NBP2-70096

Novus Biologicals, part of Bio-Techne

Key Product Details

Species Reactivity

Human, Mouse, Rat

Applications

Immunohistochemistry, Immunohistochemistry-Paraffin, Western Blot

Label

Unconjugated

Antibody Source

Monoclonal Mouse IgG1 Clone # OTI5G4

Format

Azide and BSA Free

Concentration

LYOPH mg/ml

Product Specifications

Immunogen

Human recombinant protein fragment corresponding to amino acids 1-266 of human ADH5 (NP_000662) produced in E.coli.

Reactivity Notes

Please note that this antibody is reactive to Mouse and derived from the same host, Mouse. Mouse-On-Mouse blocking reagent may be needed for IHC and ICC experiments to reduce high background signal. You can find these reagents under catalog numbers PK-2200-NB and MP-2400-NB. Please contact Technical Support if you have any questions.

Clonality

Monoclonal

Host

Mouse

Isotype

IgG1

Description

Novus Biologicals Mouse alcohol dehydrogenase 5 Antibody (OTI5G4) - Azide and BSA Free (NBP2-46495) is a monoclonal antibody validated for use in IHC and WB. All Novus Biologicals antibodies are covered by our 100% guarantee.

Scientific Data Images for alcohol dehydrogenase 5 Antibody (OTI5G4) - Azide and BSA Free

Western Blot: alcohol dehydrogenase 5 Antibody (OTI5G4)Azide and BSA Free [NBP2-70096]

Western Blot: alcohol dehydrogenase 5 Antibody (OTI5G4)Azide and BSA Free [NBP2-70096]

Western Blot: alcohol dehydrogenase 5 Antibody (OTI5G4) - Azide and BSA Free [NBP2-70096] - HEK293T cells were transfected with the pCMV6-ENTRY control (Left lane) or pCMV6-ENTRY ADH5 (Right lane) cDNA for 48 hrs and lysed. Equivalent amounts of cell lysates (5 ug per lane) were separated by SDS-PAGE and immunoblotted with antiADH5.(1:2000)
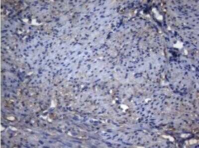
Immunohistochemistry: alcohol dehydrogenase 5 Antibody (OTI5G4) - Azide and BSA Free [NBP2-70096]

Immunohistochemistry: alcohol dehydrogenase 5 Antibody (OTI5G4) - Azide and BSA Free [NBP2-70096]

Immunohistochemistry: alcohol dehydrogenase 5 Antibody (OTI5G4) - Azide and BSA Free [NBP2-70096] - Staining of paraffin-embedded Human endometrium tissue within the normal limits using anti-ADH5 mouse monoclonal antibody. (Heat induced epitope retrieval by 1mM EDTA in 10mM Tris buffer (pH8.5) at 120 degrees C for 3 min, (1:150)
Immunohistochemistry: alcohol dehydrogenase 5 Antibody (OTI5G4) - Azide and BSA Free [NBP2-70096]

Immunohistochemistry: alcohol dehydrogenase 5 Antibody (OTI5G4) - Azide and BSA Free [NBP2-70096]

Immunohistochemistry: alcohol dehydrogenase 5 Antibody (OTI5G4) - Azide and BSA Free [NBP2-70096] - Staining of paraffin-embedded Human prostate tissue within the normal limits using anti-ADH5 mouse monoclonal antibody. (Heat-induced epitope retrieval by 1mM EDTA in 10mM Tris buffer (pH8.5) at 120 degrees C for 3 min, 1:150)

Applications for alcohol dehydrogenase 5 Antibody (OTI5G4) - Azide and BSA Free

Application
Recommended Usage

Immunohistochemistry

1:150

Western Blot

1:2000

Formulation, Preparation, and Storage

Purification

Immunogen affinity purified

Reconstitution

we recommend adding 100uL distilled water to a final antibody concentration of about 1 mg/mL. To use this carrier-free antibody for conjugation experiment, we strongly recommend performing another round of desalting process.

Formulation

Lyophilized from PBS (pH 7.3) with 8% Trehalose

Format

Azide and BSA Free

Preservative

No Preservative

Concentration

LYOPH mg/ml

Shipping

The product is shipped with polar packs. Upon receipt, store it immediately at the temperature recommended below.

Stability & Storage

Store at -20C. Avoid freeze-thaw cycles.

Background: alcohol dehydrogenase 5

The ADH5 gene encodes glutathione dependent formaldehyde dehydrogenase or class III alcohol dehydrogenase chi subunit, which is a member of the alcohol dehydrogenase family. Members of this family metabolize a wide variety of substrates, retinol, ethanol and other aliphatic alcohols, hydroxysteroids, and lipid peroxidation products. Class III alcohol dehydrogenase is a homodimer composed of 2 chi subunits. It has virtually no activity for ethanol oxidation, but exhibits high activity for oxidation of long chain primary alcohols and for oxidation of S hydroxymethyl glutathione, a spontaneous adduct between formaldehyde and glutathione. The enzyme is an important component of cellular metabolism for the elimination of formaldehyde, which is a potent irritant and sensitizing agent that causes rhinitis, lacrymation, contact dermatitis and pharyngitis.

Alternate Names

ADH-3, ADHXEC 1.1.1.1, alcohol dehydrogenase (class III), chi polypeptide, Alcohol dehydrogenase 5, alcohol dehydrogenase 5 (class III), chi polypeptide, Alcohol dehydrogenase class chi chain, alcohol dehydrogenase class-3, Alcohol dehydrogenase class-III, EC 1.1.1, EC 1.1.1.-, EC 1.1.1.284, FALDH, FDHGSNOR, formaldehyde dehydrogenase, Glutathione-dependent formaldehyde dehydrogenase, GSH-FDH, S-(hydroxymethyl)glutathione dehydrogenase

Gene Symbol

ADH5

Additional alcohol dehydrogenase 5 Products

Product Documents for alcohol dehydrogenase 5 Antibody (OTI5G4) - Azide and BSA Free

Certificate of Analysis

To download a Certificate of Analysis, please enter a lot number in the search box below.

Product Specific Notices for alcohol dehydrogenase 5 Antibody (OTI5G4) - Azide and BSA Free

This product is for research use only and is not approved for use in humans or in clinical diagnosis. Primary Antibodies are guaranteed for 1 year from date of receipt.

Loading...
Loading...
Loading...
Loading...
Loading...