Skip to main content

alcohol dehydrogenase 1B Antibody - BSA Free

Novus Biologicals, part of Bio-Techne | Catalog # NBP2-86573

Novus Biologicals, part of Bio-Techne
Catalog #
Availability
Size / Price
Qty
Loading...
NBP2-86573-0.1ml

Key Product Details

Species Reactivity

Human

Applications

Immunohistochemistry, Immunohistochemistry-Paraffin, Western Blot

Label

Unconjugated

Antibody Source

Polyclonal Rabbit

Format

BSA Free

Concentration

1 mg/ml

Product Specifications

Immunogen

The immunogen is a synthetic peptide directed towards the C-terminal region of human alcohol dehydrogenase 1B. Peptide sequence: NLSINPMLLLTGRTWKGAVYGGFKSKEGIPKLVADFMAKKFSLDALITHV The peptide sequence for this immunogen was taken from within the described region.

Clonality

Polyclonal

Host

Rabbit

Description

Novus Biologicals Rabbit alcohol dehydrogenase 1B Antibody - BSA Free (NBP2-86573) is a polyclonal antibody validated for use in IHC and WB. All Novus Biologicals antibodies are covered by our 100% guarantee.

Scientific Data Images for alcohol dehydrogenase 1B Antibody - BSA Free

Western Blot: alcohol dehydrogenase 1B Antibody [NBP2-86573]

Western Blot: alcohol dehydrogenase 1B Antibody [NBP2-86573]

Western Blot: alcohol dehydrogenase 1B Antibody [NBP2-86573] - WB Suggested Anti-ADH1B Antibody Titration: 1.25ug/ml. Positive Control: Jurkat cell lysate
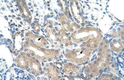
Immunohistochemistry-Paraffin: alcohol dehydrogenase 1B Antibody [NBP2-86573]

Immunohistochemistry-Paraffin: alcohol dehydrogenase 1B Antibody [NBP2-86573]

Immunohistochemistry-Paraffin: alcohol dehydrogenase 1B Antibody [NBP2-86573] - Rabbit Anti-ADH1B Antibody. Paraffin Embedded Tissue: Human Kidney. Cellular Data: Epithelial cells of renal tubule. Antibody Concentration: 4.0-8.0 ug/ml. Magnification: 400X

Applications for alcohol dehydrogenase 1B Antibody - BSA Free

Application
Recommended Usage

Western Blot

1.0 ug/ml

Formulation, Preparation, and Storage

Purification

Protein A purified

Formulation

PBS, 2% Sucrose

Format

BSA Free

Preservative

0.09% Sodium Azide

Concentration

1 mg/ml

Shipping

The product is shipped with polar packs. Upon receipt, store it immediately at the temperature recommended below.

Stability & Storage

Store at 4C short term. Aliquot and store at -20C long term. Avoid freeze-thaw cycles.

Background: alcohol dehydrogenase 1B

alcohol dehydrogenase 1B is encoded by this gene is a member of the alcohol dehydrogenase family. Members of this enzyme family metabolize a wide variety of substrates, including ethanol, retinol, other aliphatic alcohols, hydroxysteroids, and lipid peroxidation products. This encoded protein, consisting of several homo- and heterodimers of alpha, beta, and gamma subunits, exhibits high activity for ethanol oxidation and plays a major role in ethanol catabolism. Three genes encoding alpha, beta and gamma subunits are tandemly organized in a genomic segment as a gene cluster.

Alternate Names

ADH, beta subunit, ADH2alcohol dehydrogenase 1B, alcohol dehydrogenase 1B (class I), beta polypeptide, alcohol dehydrogenase 2 (class I), beta polypeptide, Alcohol dehydrogenase subunit beta, aldehyde reductase, DKFZp686C06125, EC 1.1.1, EC 1.1.1.1

Gene Symbol

ADH1B

Additional alcohol dehydrogenase 1B Products

Product Documents for alcohol dehydrogenase 1B Antibody - BSA Free

Certificate of Analysis

To download a Certificate of Analysis, please enter a lot number in the search box below.

Product Specific Notices for alcohol dehydrogenase 1B Antibody - BSA Free

This product is for research use only and is not approved for use in humans or in clinical diagnosis. Primary Antibodies are guaranteed for 1 year from date of receipt.

Loading...
Loading...
Loading...
Loading...