Skip to main content

AKAP14 Antibody - BSA Free

Novus Biologicals, part of Bio-Techne | Catalog # NBP3-48190

Novus Biologicals, part of Bio-Techne
Catalog #
Availability
Size / Price
Qty
Loading...
NBP3-48190

Key Product Details

Species Reactivity

Human

Applications

ELISA, Immunohistochemistry, Western Blot

Label

Unconjugated

Antibody Source

Polyclonal Rabbit IgG

Format

BSA Free

Concentration

Please see the vial label for concentration. If unlisted please contact technical services.

Product Specifications

Immunogen

A kinase(PRKA) anchor protein 14. (Uniprot# Q86UN6)

Clonality

Polyclonal

Host

Rabbit

Isotype

IgG

Theoretical MW

28 kDa.
Disclaimer note: The observed molecular weight of the protein may vary from the listed predicted molecular weight due to post translational modifications, post translation cleavages, relative charges, and other experimental factors.

Description

Novus Biologicals Rabbit AKAP14 Antibody - BSA Free (NBP3-48190) is a polyclonal antibody validated for use in IHC, WB and ELISA. All Novus Biologicals antibodies are covered by our 100% guarantee.

Scientific Data Images for AKAP14 Antibody - BSA Free

AKAP14 Antibody - BSA Free

Western Blot: AKAP14 Antibody - BSA Free [NBP3-48190] -

Western Blot: AKAP14 Antibody - BSA Free [NBP3-48190] - Jurkat cells were subjected to SDS PAGE followed by western blot with (AKAP14 antibody) at dilution of 1:400
AKAP14 Antibody - BSA Free

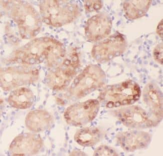
Immunohistochemistry: AKAP14 Antibody - BSA Free [NBP3-48190] -

Immunohistochemistry: AKAP14 Antibody - BSA Free [NBP3-48190] - Immunohistochemistry of paraffin-embedded human kidney using (AKAP14 antibody) at dilution of 1:50

Applications for AKAP14 Antibody - BSA Free

Application
Recommended Usage

Immunohistochemistry

1:20-200

Western Blot

1:200-1:2000

Formulation, Preparation, and Storage

Purification

Immunogen affinity purified

Formulation

PBS, 50% Glycerol, pH (7.3)

Format

BSA Free

Preservative

0.02% Sodium Azide

Concentration

Please see the vial label for concentration. If unlisted please contact technical services.

Shipping

The product is shipped with polar packs. Upon receipt, store it immediately at the temperature recommended below.

Stability & Storage

Store at -20C. Avoid freeze-thaw cycles.

Background: AKAP14

The A-kinase anchor proteins (AKAPs) are a group of structurally diverse proteins, which have the common function of binding to the regulatory subunit of protein kinase A (PKA) and confining the holoenzyme to discrete locations within the cell. This gene encodes a member of the AKAP family. The protein anchors PKA in ciliary axonemes and, in this way, may play a role in regulating ciliary beat frequency. Alternate transcriptional splice variants, encoding different isoforms, have been characterized. [provided by RefSeq]

Alternate Names

A kinase (PRKA) anchor protein 14, AKAP 28, AKAP-14, AKAP28Protein kinase A-anchoring protein 14, A-kinase anchor protein 14, A-kinase anchor protein 28 kDa, A-kinase anchoring protein 28

Gene Symbol

AKAP14

Additional AKAP14 Products

Product Documents for AKAP14 Antibody - BSA Free

Certificate of Analysis

To download a Certificate of Analysis, please enter a lot number in the search box below.

Product Specific Notices for AKAP14 Antibody - BSA Free

This product is for research use only and is not approved for use in humans or in clinical diagnosis. Primary Antibodies are guaranteed for 1 year from date of receipt.

Loading...
Loading...
Loading...
Loading...