Skip to main content

AKAP14 Antibody - BSA Free

Novus Biologicals, part of Bio-Techne | Catalog # NBP2-32580

Novus Biologicals, part of Bio-Techne
Catalog #
Availability
Size / Price
Qty
Loading...
NBP2-32580
NBP2-32580-25ul

Key Product Details

Validated by

Orthogonal Validation

Species Reactivity

Human

Applications

Immunohistochemistry, Immunohistochemistry-Paraffin

Label

Unconjugated

Antibody Source

Polyclonal Rabbit IgG

Format

BSA Free

Concentration

Concentrations vary lot to lot. See vial label for concentration. If unlisted please contact technical services.

Product Specifications

Immunogen

This antibody was developed against a recombinant protein corresponding to amino acids: SETQNSTSQKAMDEDNKAASQTMPNTQDKNYEDELTQVALALVEDVINYAV

Clonality

Polyclonal

Host

Rabbit

Isotype

IgG

Description

Novus Biologicals Rabbit AKAP14 Antibody - BSA Free (NBP2-32580) is a polyclonal antibody validated for use in IHC. All Novus Biologicals antibodies are covered by our 100% guarantee.

Scientific Data Images for AKAP14 Antibody - BSA Free

Immunohistochemistry-Paraffin: AKAP14 Antibody [NBP2-32580]

Immunohistochemistry-Paraffin: AKAP14 Antibody [NBP2-32580]

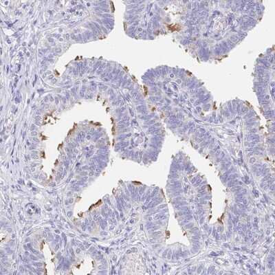
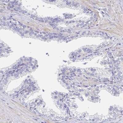
Immunohistochemistry-Paraffin: AKAP14 Antibody [NBP2-32580] - Staining in human fallopian tube and prostate tissues using anti-AKAP14 antibody. Corresponding AKAP14 RNA-seq data are presented for the same tissues.
Immunohistochemistry-Paraffin: AKAP14 Antibody [NBP2-32580]

Immunohistochemistry-Paraffin: AKAP14 Antibody [NBP2-32580]

Immunohistochemistry-Paraffin: AKAP14 Antibody [NBP2-32580] - Staining of human prostate shows low expression as expected.
Immunohistochemistry-Paraffin: AKAP14 Antibody [NBP2-32580]

Immunohistochemistry-Paraffin: AKAP14 Antibody [NBP2-32580]

Immunohistochemistry-Paraffin: AKAP14 Antibody [NBP2-32580] - Staining of human fallopian tube shows high expression.

Applications for AKAP14 Antibody - BSA Free

Application
Recommended Usage

Immunohistochemistry

1:200 - 1:500

Immunohistochemistry-Paraffin

1:200 - 1:500
Application Notes
For IHC-Paraffin, HIER pH 6 retrieval is recommended.

Formulation, Preparation, and Storage

Purification

Immunogen affinity purified

Formulation

PBS (pH 7.2) and 40% Glycerol

Format

BSA Free

Preservative

0.02% Sodium Azide

Concentration

Concentrations vary lot to lot. See vial label for concentration. If unlisted please contact technical services.

Shipping

The product is shipped with polar packs. Upon receipt, store it immediately at the temperature recommended below.

Stability & Storage

Store at 4C short term. Aliquot and store at -20C long term. Avoid freeze-thaw cycles.

Background: AKAP14

The A-kinase anchor proteins (AKAPs) are a group of structurally diverse proteins, which have the common function of binding to the regulatory subunit of protein kinase A (PKA) and confining the holoenzyme to discrete locations within the cell. This gene encodes a member of the AKAP family. The protein anchors PKA in ciliary axonemes and, in this way, may play a role in regulating ciliary beat frequency. Alternate transcriptional splice variants, encoding different isoforms, have been characterized. [provided by RefSeq]

Alternate Names

A kinase (PRKA) anchor protein 14, AKAP 28, AKAP-14, AKAP28Protein kinase A-anchoring protein 14, A-kinase anchor protein 14, A-kinase anchor protein 28 kDa, A-kinase anchoring protein 28

Gene Symbol

AKAP14

Additional AKAP14 Products

Product Documents for AKAP14 Antibody - BSA Free

Certificate of Analysis

To download a Certificate of Analysis, please enter a lot number in the search box below.

Product Specific Notices for AKAP14 Antibody - BSA Free

This product is for research use only and is not approved for use in humans or in clinical diagnosis. Primary Antibodies are guaranteed for 1 year from date of receipt.

Loading...
Loading...
Loading...
Loading...