Skip to main content

AHR Antibody - BSA Free

Novus Biologicals, part of Bio-Techne | Catalog # NB100-2289

Novus Biologicals, part of Bio-Techne

Key Product Details

Validated by

Knockout/Knockdown

Species Reactivity

Validated:

Human, Mouse, Rat, Guinea Pig

Cited:

Human, Mouse, Rat

Applications

Validated:

Immunohistochemistry, Immunohistochemistry-Paraffin, Western Blot, ELISA, Flow Cytometry, Immunocytochemistry/ Immunofluorescence, Simple Western, Immunoprecipitation, Knockdown Validated

Cited:

Western Blot, Flow Cytometry, Chemotaxis

Label

Unconjugated

Antibody Source

Polyclonal Rabbit IgG

Format

BSA Free

Concentration

1.0 mg/ml

Product Specifications

Immunogen

Bacterially expressed human Aryl hydrocarbon Receptor (C-terminus). [UniProt# P35869]

Reactivity Notes

Rat reactivity reported in scientific literature (PMID: 23887904). Porcine reactivity reported from a verified customer review.

Localization

First cytoplasmic, upon binding with ligand and interaction with a HSP90, it translocates to the nucleus.

Clonality

Polyclonal

Host

Rabbit

Isotype

IgG

Theoretical MW

96 kDa.
Disclaimer note: The observed molecular weight of the protein may vary from the listed predicted molecular weight due to post translational modifications, post translation cleavages, relative charges, and other experimental factors.

Description

Novus Biologicals Rabbit AHR Antibody - BSA Free (NB100-2289) is a polyclonal antibody validated for use in IHC, WB, ELISA, Flow, ICC/IF, Simple Western and IP. Anti-AHR Antibody: Cited in 10 publications. All Novus Biologicals antibodies are covered by our 100% guarantee.

Scientific Data Images for AHR Antibody - BSA Free

Knockdown Validated: AHR Antibody - BSA Free [NB100-2289]

Western Blot: AHR Antibody - BSA Free [NB100-2289]

AHR-Antibody-Knockdown-Validated-NB100-2289-img0014.jpg
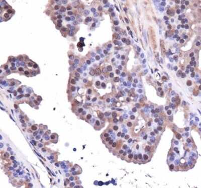
Immunohistochemistry: AHR Antibody - BSA Free [NB100-2289]

Immunohistochemistry: AHR Antibody - BSA Free [NB100-2289]

Immunohistochemistry: AHR Antibody [NB100-2289] - Staining of Aryl hydrocarbon Receptor in mouse prostate.
Immunocytochemistry/ Immunofluorescence: AHR Antibody - BSA Free [NB100-2289]

Immunocytochemistry/ Immunofluorescence: AHR Antibody - BSA Free [NB100-2289]

Immunocytochemistry/Immunofluorescence: AHR Antibody [NB100-2289] - HeLa cells were fixed for 10 minutes using 10% formalin and then permeabilized for 5 minutes using 1X PBS + 0.5% Triton X-100. The cells were incubated with anti-AHR at 5 ug/mL overnight at 4C and detected with an anti-rabbit Dylight 488 (Green) at a 1:500 dilution. Nuclei were counterstained with DAPI (Blue). Cells were imaged using a 40X objective.

Applications for AHR Antibody - BSA Free

Application
Recommended Usage

ELISA

1:100 - 1:2000

Flow Cytometry

2.5 ug/ml

Immunocytochemistry/ Immunofluorescence

1:500-1:1000

Immunohistochemistry

1:100

Immunohistochemistry-Paraffin

1:100

Immunoprecipitation

1:10-1:500

Simple Western

1:200

Western Blot

1:500-1:2000
Application Notes
In Western blot a band is seen ~90 to 105 kDa representing AHR (molecular weight varies by species and by strain). Prior to immunostaining paraffin tissues, antigen retrieval with sodium citrate buffer (pH 6.0) is recommended.

In Simple Western only 10 - 15 uL of the recommended dilution is used per data point.
See Simple Western Antibody Database for Simple Western validation: Tested in HepG2 lysate 0.5 mg/mL, separated by Size, antibody dilution of 1:200, apparent MW was 74 kDa. Separated by Size-Wes, Sally Sue/Peggy Sue.
The observed molecular weight of the protein may vary from the listed predicted molecular weight due to post translational modifications, post translation cleavages, relative charges, and other experimental factors.

Reviewed Applications

Read 2 reviews rated 4.5 using NB100-2289 in the following applications:

Formulation, Preparation, and Storage

Purification

Immunogen affinity purified

Formulation

PBS

Format

BSA Free

Preservative

0.02% Sodium Azide

Concentration

1.0 mg/ml

Shipping

The product is shipped with polar packs. Upon receipt, store it immediately at the temperature recommended below.

Stability & Storage

Store at 4C. Do not freeze.

Background: AHR

Aryl hydrocarbon Receptor (AhR) is a ligand-activated transcriptional activator that binds to XRE promoter region of its target genes and has been established to activate phase I/II xenobiotic biotransformation enzyme genes. AhR binds MYBBP1A and its efficient DNA binding requires dimerization with another bHLH proteinsuch as ARNT. Besides interacting with NEDD8 and IVNS1ABP, AhR also interacts with coactivators including SRC-1, RIP140 and NOCA7, and with the corepressor SMRT. AhR localize to cytoplasm and upon binding with ligand followed by interaction with a HSP90, it translocates to the nucleus. AhR has been shown to be induced or repressed by TGFB1 as well as dioxin in a cell-type specific fashion, whereas cAMP, retinoic acid, TPA (12-O-tetradecanoyl phorbol-13 acetate) have been shown to exert repressive effects on AhR. As a member of bHLH-PAS (basic helix-loop-helix Per/ARNT/Sim) family, AhR has been implicated in physiological processes such as circadian cycle, neurogenesis, organs development and regulation of cell-cycle as well as the alternative signaling pathways (independently of exposure to xenobiotics). AhR-null mice exhibit infertility, liver abnormalities and cardiovascular problems such as a defective closure of the ductus venosus, indicative of the implication of the AhR in various developmental processes.

Long Name

Aryl Hydrocarbon Receptor

Alternate Names

BHLHE76

Gene Symbol

AHR

Additional AHR Products

Product Documents for AHR Antibody - BSA Free

Certificate of Analysis

To download a Certificate of Analysis, please enter a lot number in the search box below.

Product Specific Notices for AHR Antibody - BSA Free

This product is for research use only and is not approved for use in humans or in clinical diagnosis. Primary Antibodies are guaranteed for 1 year from date of receipt.

Loading...
Loading...
Loading...
Loading...
Loading...