AHR Antibody - Azide and BSA Free
Novus Biologicals, part of Bio-Techne | Catalog # NB100-128
Key Product Details
Species Reactivity
Validated:
Human, Mouse, Rat
Cited:
Human, Mouse, Rat
Applications
Validated:
Immunohistochemistry, Immunohistochemistry-Paraffin, Western Blot, Immunocytochemistry/ Immunofluorescence, Chromatin Immunoprecipitation, Gel Super Shift Assays
Cited:
Immunohistochemistry-Paraffin, Western Blot, Immunofluorescence, Immunocytochemistry/ Immunofluorescence, Chemotaxis, EMSA, Gel Supershift Assay, IF/IHC
Label
Unconjugated
Antibody Source
Polyclonal Goat
Format
Azide and BSA Free
Concentration
This product is unpurified. The exact concentration of antibody is not quantifiable.
Product Specifications
Immunogen
N-terminal sequence of Aryl hydrocarbon Receptor purified from C57BL/6J mice. [UniProt# P30561]
Clonality
Polyclonal
Host
Goat
Description
Novus Biologicals Goat AHR Antibody - Azide and BSA Free (NB100-128) is a polyclonal antibody validated for use in IHC, WB, ICC/IF and ChIP. Anti-AHR Antibody: Cited in 16 publications. All Novus Biologicals antibodies are covered by our 100% guarantee.
Scientific Data Images for AHR Antibody - Azide and BSA Free
Immunocytochemistry/ Immunofluorescence: AHR Antibody [NB100-128]
Immunocytochemistry/Immunofluorescence: AHR Antibody [NB100-128] - HeLa cells were fixed for 10 minutes using 10% formalin and then permeabilized for 5 minutes using 1X TBS + 0.5% Triton X-100. The cells were incubated with anti AHR [NB100-128] at a 1:100 dilution overnight at 4C and detected with an anti-goat DyLight 488 (Green) at a 1:500 dilution. Actin was detected with Phalloidin 568 (Red) at a 1:200 dilution. Nuclei were counterstained with DAPI (Blue). Cells were imaged using a 40X objective.Immunohistochemistry-Paraffin: AHR Antibody [NB100-128]
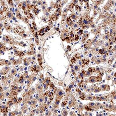
Immunohistochemistry-Paraffin: AHR Antibody [NB100-128] - Analysis of FFPE human liver using 1:200 conc. of AHR antibody on a Bond Rx autostainer (Leica Biosystems). The assay involved 20 minutes of heat induced antigen retrieval (HIER) using 10mM sodium citrate buffer (pH 6.0) and endogenous peroxidase quenching with peroxide block. The sections were incubated with primary antibody for 30 minutes and Bond Polymer Refine Detection (Leica Biosystems) with DAB was used for signal development followed by counterstaining with hematoxylin. Whole slide scanning and capturing of representative images was performed using Aperio AT2 (Leica Biosystems). Staining was performed by Histowiz.Gel Super Shift Assays: AHR Antibody [NB100-128]
Gel Super Shift Assays: AHR Antibody [NB100-128] - EMSA validation of AHR antibody on U937 cells nuclear protein. Image submitted by verified customer - see review for protocol details.Applications for AHR Antibody - Azide and BSA Free
Application
Recommended Usage
Chromatin Immunoprecipitation
reported in scientific literature (PMID 3999131)
Immunocytochemistry/ Immunofluorescence
1:100
Immunohistochemistry
1:100 - 1:200
Immunohistochemistry-Paraffin
1:100 - 1:200
Western Blot
reported in scientific literature (PMID 31351871; 24302727; 3999131)
Application Notes
Suggested working dilution for Gel Super Shift Assay (EMSA) is 4ul of antibody to a 15 ul final volume of EMSA sample. The current lot of this antibody did not work in WB to our QC Team's expectations.
Reviewed Applications
Read 1 review rated 5 using NB100-128 in the following applications:
Formulation, Preparation, and Storage
Purification
Unpurified
Formulation
Whole antisera
Format
Azide and BSA Free
Preservative
No Preservative
Concentration
This product is unpurified. The exact concentration of antibody is not quantifiable.
Shipping
The product is shipped with polar packs. Upon receipt, store it immediately at the temperature recommended below.
Stability & Storage
Aliquot and store at -20C or -80C. Avoid freeze-thaw cycles.
Background: AHR
Long Name
Aryl Hydrocarbon Receptor
Alternate Names
BHLHE76
Gene Symbol
AHR
Additional AHR Products
Product Documents for AHR Antibody - Azide and BSA Free
Product Specific Notices for AHR Antibody - Azide and BSA Free
This product is for research use only and is not approved for use in humans or in clinical diagnosis. Primary Antibodies are guaranteed for 1 year from date of receipt.
Loading...
Loading...
Loading...
Loading...
Loading...