Skip to main content

Ago2/eIF2C2 Antibody (10S10L5)

Novus Biologicals, part of Bio-Techne | Catalog # NBP3-15873

Recombinant Monoclonal Antibody
Novus Biologicals, part of Bio-Techne
Catalog #
Availability
Size / Price
Qty
Loading...
NBP3-15873-100ul
NBP3-15873-20ul

Key Product Details

Species Reactivity

Human, Mouse, Rat

Applications

ELISA, Immunohistochemistry, Immunohistochemistry-Paraffin, Western Blot

Label

Unconjugated

Antibody Source

Recombinant Monoclonal Rabbit IgG Clone # 10S10L5 expressed in HEK293

Concentration

Please see the vial label for concentration. If unlisted please contact technical services.

Product Specifications

Immunogen

A synthetic peptide corresponding to a sequence within amino acids 350-450 of human Ago2/eIF2C2 (Q9UKV8). QRCIKKLTDNQTSTMIRATARSAPDRQEEISKLMRSASFNTDPYVREFGIMVKDEMTDVTGRVLQPPSILYGGRNKAIATPVQGVWDMRNKQFHTGIEIKV

Clonality

Monoclonal

Host

Rabbit

Isotype

IgG

Theoretical MW

97 kDa.
Disclaimer note: The observed molecular weight of the protein may vary from the listed predicted molecular weight due to post translational modifications, post translation cleavages, relative charges, and other experimental factors.

Description

Novus Biologicals Rabbit Ago2/eIF2C2 Antibody (10S10L5) (NBP3-15873) is a recombinant monoclonal antibody validated for use in IHC, WB and ELISA. All Novus Biologicals antibodies are covered by our 100% guarantee.

Scientific Data Images for Ago2/eIF2C2 Antibody (10S10L5)

Western Blot: Ago2/eIF2C2 Antibody (10S10L5) [NBP3-15873]

Western Blot: Ago2/eIF2C2 Antibody (10S10L5) [NBP3-15873]

Western Blot: Ago2/eIF2C2 Antibody (10S10L5) [NBP3-15873] - Western blot analysis of extracts of various cell lines, using Ago2/eIF2C2 antibody (NBP3-15873) at 1:1000 dilution. Secondary antibody: HRP Goat Anti-Rabbit IgG (H+L) at 1:10000 dilution. Lysates/proteins: 25ug per lane. Blocking buffer: 3% nonfat dry milk in TBST. Detection: ECL Basic Kit. Exposure time: 90s.
Ago2/eIF2C2 Antibody (10S10L5)

Immunohistochemistry-Paraffin: Ago2/eIF2C2 Antibody (10S10L5) [NBP3-15873] -

Immunohistochemistry-Paraffin: Ago2/eIF2C2 Antibody (10S10L5) [NBP3-15873] - Rat brain using Argonaute-2 Rabbit mAb at dilution of 1:100 (40x lens).Perform microwave antigen retrieval with 10 mM PBS buffer pH 7.2 before commencing with IHC staining protocol.
Ago2/eIF2C2 Antibody (10S10L5)

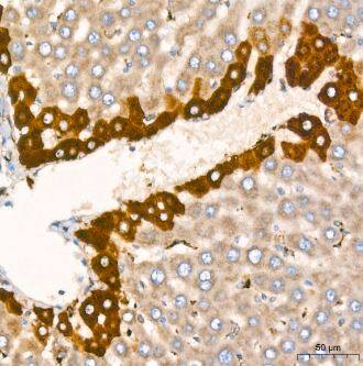
Immunohistochemistry-Paraffin: Ago2/eIF2C2 Antibody (10S10L5) [NBP3-15873] -

Immunohistochemistry-Paraffin: Ago2/eIF2C2 Antibody (10S10L5) [NBP3-15873] - Mouse liver tissue using Argonaute-2 Rabbit mAb at a dilution of 1:200 (40x lens).High pressure antigen retrieval was performed with 0.01 M citrate buffer (pH 6.0) prior to IHC staining.

Applications for Ago2/eIF2C2 Antibody (10S10L5)

Application
Recommended Usage

Immunohistochemistry

1:50 - 1:200

Western Blot

1:500 - 1:2000

Formulation, Preparation, and Storage

Purification

Affinity purified

Formulation

PBS (pH 7.3), 50% glycerol, 0.05% BSA

Preservative

0.02% Sodium Azide

Concentration

Please see the vial label for concentration. If unlisted please contact technical services.

Shipping

The product is shipped with polar packs. Upon receipt, store it immediately at the temperature recommended below.

Stability & Storage

Store at -20C. Avoid freeze-thaw cycles.

Background: Ago2/eIF2C2

Ago2 / eIF2C2 encodes a member of the Argonaute family of proteins which play a role in RNA interference. The encoded protein is highly basic, and contains a PAZ domain and a PIWI domain. It may interact with dicer1 and play a role in short-interfering-RNA-mediated gene silencing.

Alternate Names

AGO2argonaute 2, Argonaute2, EC 3.1.26.n1, EC 3.1.26.n2, eIF2C 2, eIF-2C 2, Eukaryotic translation initiation factor 2C 2, eukaryotic translation initiation factor 2C, 2, hAgo2, MGC3183, PAZ Piwi domain protein, PPD, protein argonaute-2, Protein slicer, Q10

Gene Symbol

AGO2

Additional Ago2/eIF2C2 Products

Product Documents for Ago2/eIF2C2 Antibody (10S10L5)

Certificate of Analysis

To download a Certificate of Analysis, please enter a lot number in the search box below.

Product Specific Notices for Ago2/eIF2C2 Antibody (10S10L5)

This product is for research use only and is not approved for use in humans or in clinical diagnosis. Primary Antibodies are guaranteed for 1 year from date of receipt.

Loading...
Loading...
Loading...
Loading...