Skip to main content

AGAP1 Antibody - BSA Free

Novus Biologicals, part of Bio-Techne | Catalog # NBP2-15305

Novus Biologicals, part of Bio-Techne
Catalog #
Availability
Size / Price
Qty
Loading...
NBP2-15305

Key Product Details

Species Reactivity

Validated:

Human

Predicted:

Mouse (98%), Rhesus Macaque (98%), Xenopus (95%). Backed by our 100% Guarantee.

Applications

Immunohistochemistry, Immunohistochemistry-Paraffin, Western Blot

Label

Unconjugated

Antibody Source

Polyclonal Rabbit IgG

Format

BSA Free

Concentration

Concentrations vary lot to lot. See vial label for concentration. If unlisted please contact technical services.

Product Specifications

Immunogen

Recombinant protein encompassing a sequence within the center region of human AGAP1. The exact sequence is proprietary.

Reactivity Notes

Xenopus laevis (95%).

Clonality

Polyclonal

Host

Rabbit

Isotype

IgG

Theoretical MW

94 kDa.
Disclaimer note: The observed molecular weight of the protein may vary from the listed predicted molecular weight due to post translational modifications, post translation cleavages, relative charges, and other experimental factors.

Description

Novus Biologicals Rabbit AGAP1 Antibody - BSA Free (NBP2-15305) is a polyclonal antibody validated for use in IHC and WB. All Novus Biologicals antibodies are covered by our 100% guarantee.

Scientific Data Images for AGAP1 Antibody - BSA Free

Western Blot: AGAP1 Antibody [NBP2-15305]

Western Blot: AGAP1 Antibody [NBP2-15305]

Western Blot: AGAP1 Antibody [NBP2-15305] - Sample (30 ug of whole cell lysate) A: MCF-7 10% SDS PAGE; antibody diluted at 1:1000.
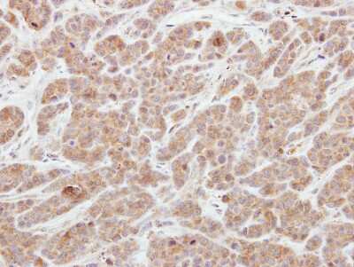
Immunohistochemistry-Paraffin: AGAP1 Antibody [NBP2-15305]

Immunohistochemistry-Paraffin: AGAP1 Antibody [NBP2-15305]

Immunohistochemistry-Paraffin: AGAP1 Antibody [NBP2-15305] - MDAMB231 xenograft, using Centaurin gamma 2 antibody at 1:250 dilution. Antigen Retrieval: Citrate buffer, pH 6.0, 15 min.

Applications for AGAP1 Antibody - BSA Free

Application
Recommended Usage

Immunohistochemistry

1:100-1:1000

Immunohistochemistry-Paraffin

1:100-1:1000

Western Blot

1:500-1:3000

Formulation, Preparation, and Storage

Purification

Antigen Affinity-purified

Formulation

0.1M Tris, 0.1M Glycine, 20% Glycerol

Format

BSA Free

Preservative

0.01% Thimerosal

Concentration

Concentrations vary lot to lot. See vial label for concentration. If unlisted please contact technical services.

Shipping

The product is shipped with polar packs. Upon receipt, store it immediately at the temperature recommended below.

Stability & Storage

Aliquot and store at -20C or -80C. Avoid freeze-thaw cycles.

Background: AGAP1

CENTG2 belongs to an ADP-ribosylation factor GTPase-activating (ARF-GAP) protein family involved in membrane traffic and actin cytoskeleton dynamics (Nie et al., 2002 [PubMed 12388557]).[supplied by OMIM]

Alternate Names

AGAP-1, ANK repeat and PH domains 1, ArfGAP with GTPase domain, ankyrin repeat and PH domain 1, centaurin, gamma 2, Centaurin-gamma-2, CENTG2, Cnt-g2, GTP-binding and GTPase-activating protein 1, KIAA1099arf-GAP with GTPase, ANK repeat and PH domain-containing protein 1, MGC71657

Gene Symbol

AGAP1

UniProt

Additional AGAP1 Products

Product Documents for AGAP1 Antibody - BSA Free

Certificate of Analysis

To download a Certificate of Analysis, please enter a lot number in the search box below.

Product Specific Notices for AGAP1 Antibody - BSA Free

This product is for research use only and is not approved for use in humans or in clinical diagnosis. Primary Antibodies are guaranteed for 1 year from date of receipt.

Loading...
Loading...
Loading...
Loading...

⚠ WARNING: This product can expose you to chemicals including mercury, which is known to the State of California to cause reproductive toxicity with developmental effects.  For more information go to www.P65Warnings.ca.gov.