AdipoR1 Antibody (SC69-04)
Novus Biologicals, part of Bio-Techne | Catalog # NBP2-67631
Recombinant Monoclonal Antibody
Key Product Details
Species Reactivity
Validated:
Human, Mouse, Rat, Zebrafish
Cited:
Human, Mouse, Rat
Applications
Validated:
Immunohistochemistry, Immunohistochemistry-Paraffin, Western Blot, Flow Cytometry, Immunocytochemistry/ Immunofluorescence
Cited:
Immunohistochemistry-Paraffin, Western Blot, IF/IHC
Label
Unconjugated
Antibody Source
Recombinant Monoclonal Rabbit IgG Clone # SC69-04 expressed in HEK293
Concentration
1 mg/ml
Product Specifications
Immunogen
Synthetic peptide within Human AdipoR1 aa 5-54 / 375. (SwissProt: Q96A54 Human; SwissProt: Q91VH1 Mouse; Unigene:104556 Rat)
Localization
Cell membrane.
Clonality
Monoclonal
Host
Rabbit
Isotype
IgG
Scientific Data Images for AdipoR1 Antibody (SC69-04)
Immunocytochemistry/ Immunofluorescence: AdipoR1 Antibody (SC69-04) [NBP2-67631]
Immunocytochemistry/Immunofluorescence: AdipoR1 Antibody (SC69-04) [NBP2-67631] - Staining ADIPOR1 in LO2 cells (green). The nuclear counter stain is DAPI (blue). Cells were fixed in paraformaldehyde, permeabilised with 0.25% Triton X100/PBS.Immunohistochemistry-Paraffin: AdipoR1 Antibody (SC69-04) [NBP2-67631]
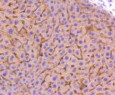
Immunohistochemistry-Paraffin: AdipoR1 Antibody (SC69-04) [NBP2-67631] - Analysis of paraffin-embedded mouse liver tissue using anti-ADIPOR1 antibody. Counter stained with hematoxylin.Flow Cytometry: AdipoR1 Antibody (SC69-04) [NBP2-67631]
Flow Cytometry: AdipoR1 Antibody (SC69-04) [NBP2-67631] - Analysis of HepG2 cells with ADIPOR1 antibody at 1/50 dilution (red) compared with an unlabelled control (cells without incubation with primary antibody; black). Alexa Fluor 488-conjugated goat anti rabbit IgG was used as the secondary antibody.Applications for AdipoR1 Antibody (SC69-04)
Application
Recommended Usage
Flow Cytometry
1:50-1:100
Immunocytochemistry/ Immunofluorescence
1:50-1:200
Immunohistochemistry-Paraffin
1:50-1:200
Application Notes
Use in WB reported in scientific literature (PMID:33581653)
Formulation, Preparation, and Storage
Purification
Protein A purified
Formulation
TBS (pH7.4), 0.05% BSA, 40% Glycerol
Preservative
0.05% Sodium Azide
Concentration
1 mg/ml
Shipping
The product is shipped with polar packs. Upon receipt, store it immediately at the temperature recommended below.
Stability & Storage
Store at 4C short term. Aliquot and store at -20C long term. Avoid freeze-thaw cycles.
Background: AdipoR1
Long Name
Adiponectin Receptor 1
Alternate Names
ACDCR1, CGI45, PAQR1, TESBP1A
Gene Symbol
ADIPOR1
Additional AdipoR1 Products
Product Documents for AdipoR1 Antibody (SC69-04)
Product Specific Notices for AdipoR1 Antibody (SC69-04)
This product is for research use only and is not approved for use in humans or in clinical diagnosis. Primary Antibodies are guaranteed for 1 year from date of receipt.
Loading...
Loading...
Loading...
Loading...
Loading...