Skip to main content

ADHFE1 Antibody - BSA Free

Novus Biologicals, part of Bio-Techne | Catalog # NBP1-83530

Novus Biologicals, part of Bio-Techne
Catalog #
Availability
Size / Price
Qty
Loading...
NBP1-83530
NBP1-83530-25ul

Key Product Details

Validated by

Orthogonal Validation

Species Reactivity

Human, Mouse, Rat

Applications

Immunohistochemistry, Immunohistochemistry-Paraffin, Western Blot, Immunocytochemistry/ Immunofluorescence

Label

Unconjugated

Antibody Source

Polyclonal Rabbit IgG

Format

BSA Free

Concentration

Concentrations vary lot to lot. See vial label for concentration. If unlisted please contact technical services.

Product Specifications

Immunogen

This antibody was developed against Recombinant Protein corresponding to amino acids: LEMAEILGADTRTARIQDAGLVLADTLRKFLFDLDVDDGLAAVGYSKADIPALVKGTLPQERVTKLAPCPQSEEDLAALFEASMKL

Clonality

Polyclonal

Host

Rabbit

Isotype

IgG

Scientific Data Images for ADHFE1 Antibody - BSA Free

Immunocytochemistry/ Immunofluorescence: ADHFE1 Antibody [NBP1-83530]

Immunocytochemistry/ Immunofluorescence: ADHFE1 Antibody [NBP1-83530]

Immunocytochemistry/Immunofluorescence: ADHFE1 Antibody [NBP1-83530] - Immunofluorescent staining of human cell line A-431 shows localization to vesicles.
Immunohistochemistry-Paraffin: ADHFE1 Antibody [NBP1-83530]

Immunohistochemistry-Paraffin: ADHFE1 Antibody [NBP1-83530]

Immunohistochemistry-Paraffin: ADHFE1 Antibody [NBP1-83530] - Staining in human liver and pancreas tissues using anti-ADHFE1 antibody. Corresponding ADHFE1 RNA-seq data are presented for the same tissues.
Immunohistochemistry-Paraffin: ADHFE1 Antibody [NBP1-83530]

Immunohistochemistry-Paraffin: ADHFE1 Antibody [NBP1-83530]

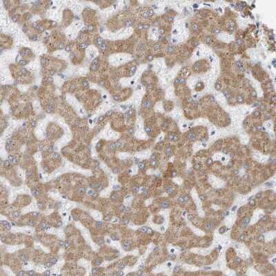
Immunohistochemistry-Paraffin: ADHFE1 Antibody [NBP1-83530] - Staining of human liver shows high expression.

Applications for ADHFE1 Antibody - BSA Free

Application
Recommended Usage

Immunocytochemistry/ Immunofluorescence

0.25-2 ug/ml

Immunohistochemistry

1:2500 - 1:5000

Immunohistochemistry-Paraffin

1:2500 - 1:5000

Western Blot

0.04-0.4 ug/ml
Application Notes
For IHC-Paraffin, HIER pH 6 retrieval is recommended. Immunocytochemistry/Immunofluorescence Fixation Permeabilization: Use PFA/Triton X-100.

Formulation, Preparation, and Storage

Purification

Affinity purified

Formulation

PBS (pH 7.2) and 40% Glycerol

Format

BSA Free

Preservative

0.02% Sodium Azide

Concentration

Concentrations vary lot to lot. See vial label for concentration. If unlisted please contact technical services.

Shipping

The product is shipped with polar packs. Upon receipt, store it immediately at the temperature recommended below.

Stability & Storage

Store at 4C short term. Aliquot and store at -20C long term. Avoid freeze-thaw cycles.

Background: ADHFE1

ADHFE1, also known as hydroxyacid-oxoacid transhydrogenase, contains a 50 kDa, 45 kDa, 33 kDa, and 27 kDa isoform, and is involved in oxidation in mammalian tissues. Current research on ADHFE1 includes its relation to a variety of disorders and diseases, including alcohol-related neurodevelopmental disorder, pneumonia, patellar tendinitis, hepatoblastoma, cholangiocarcinoma, Pontiac fever, alcoholism, Legionnaires' disease, and intrahepatic cholangiocarcinoma. This protein is linked to pyruvate metabolism, the citric acid (TCA) cycle, and respiratory electron transport, where it interacts with GNAQ and LIPC.

Alternate Names

ADH8, alcohol dehydrogenase, iron containing, 1, EC 1.1.99.24, Fe-containing alcohol dehydrogenase, HOTmitochondrial, MGC48605

Entrez Gene IDs

137872 (Human)

Gene Symbol

ADHFE1

UniProt

Additional ADHFE1 Products

Product Documents for ADHFE1 Antibody - BSA Free

Certificate of Analysis

To download a Certificate of Analysis, please enter a lot number in the search box below.

Product Specific Notices for ADHFE1 Antibody - BSA Free

This product is for research use only and is not approved for use in humans or in clinical diagnosis. Primary Antibodies are guaranteed for 1 year from date of receipt.

Loading...
Loading...
Loading...
Loading...