Adenylate Kinase 1 Antibody - BSA Free
Novus Biologicals, part of Bio-Techne | Catalog # NBP2-15295
Key Product Details
Validated by
Knockout/Knockdown
Species Reactivity
Validated:
Human, Mouse
Predicted:
Bovine (96%), Canine (97%), Rat (90%). Backed by our 100% Guarantee.
Applications
Knockout Validated, Immunohistochemistry, Immunohistochemistry-Paraffin, Western Blot
Label
Unconjugated
Antibody Source
Polyclonal Rabbit IgG
Format
BSA Free
Concentration
Concentrations vary lot to lot. See vial label for concentration. If unlisted please contact technical services.
Product Specifications
Immunogen
Recombinant protein encompassing a sequence within the center region of human Adenylate Kinase 1. The exact sequence is proprietary.
Reactivity Notes
Immunogen displays the following percentage of sequence identity for non-tested species: Chicken (86%), Xenopus tropicalis (80%).
Localization
Cytoplasm
Clonality
Polyclonal
Host
Rabbit
Isotype
IgG
Theoretical MW
22 kDa.
Disclaimer note: The observed molecular weight of the protein may vary from the listed predicted molecular weight due to post translational modifications, post translation cleavages, relative charges, and other experimental factors.
Disclaimer note: The observed molecular weight of the protein may vary from the listed predicted molecular weight due to post translational modifications, post translation cleavages, relative charges, and other experimental factors.
Description
Novus Biologicals Knockout (KO) Validated Rabbit Adenylate Kinase 1 Antibody - BSA Free (NBP2-15295) is a polyclonal antibody validated for use in IHC and WB. All Novus Biologicals antibodies are covered by our 100% guarantee.
Scientific Data Images for Adenylate Kinase 1 Antibody - BSA Free
Western Blot: Adenylate Kinase 1 Antibody [NBP2-15295]
Western Blot: Adenylate Kinase 1 Antibody [NBP2-15295] - Wild-type (WT) and Adenylate kinase 1 knockout (KO) HeLa cell extracts (30 ug) were separated by 12% SDS-PAGE, and the membrane was blotted with Adenylate Kinase 1 antibody diluted at 1:500. HRP-conjugated anti-rabbit IgG antibody was used to detect the primary antibody.Immunohistochemistry-Paraffin: Adenylate Kinase 1 Antibody [NBP2-15295]
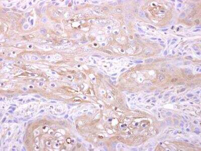
Immunohistochemistry-Paraffin: Adenylate Kinase 1 Antibody [NBP2-15295] - Ca922 xenograft.Western Blot: Adenylate Kinase 1 Antibody [NBP2-15295]
Western Blot: Adenylate Kinase 1 Antibody [NBP2-15295] - Sample (50 ug of whole cell lysate) A: Mouse brown adipose tissue 12% SDS PAGE; antibody diluted at 1:1000.Applications for Adenylate Kinase 1 Antibody - BSA Free
Application
Recommended Usage
Immunohistochemistry
10 - 1:500
Immunohistochemistry-Paraffin
1:100-1:1000
Western Blot
1:500-1:3000
Formulation, Preparation, and Storage
Purification
Antigen Affinity-purified
Formulation
0.1M Tris, 0.1M Glycine, 10% Glycerol
Format
BSA Free
Preservative
0.01% Thimerosal
Concentration
Concentrations vary lot to lot. See vial label for concentration. If unlisted please contact technical services.
Shipping
The product is shipped with polar packs. Upon receipt, store it immediately at the temperature recommended below.
Stability & Storage
Aliquot and store at -20C or -80C. Avoid freeze-thaw cycles.
Background: Adenylate Kinase 1
Long Name
Adenylate kinase isoenzyme 1
Alternate Names
AK 1, AK1, EC 2.7.4.3, EC 2.7.4.6, Myokinase
Gene Symbol
AK1
UniProt
Additional Adenylate Kinase 1 Products
Product Documents for Adenylate Kinase 1 Antibody - BSA Free
Product Specific Notices for Adenylate Kinase 1 Antibody - BSA Free
This product is for research use only and is not approved for use in humans or in clinical diagnosis. Primary Antibodies are guaranteed for 1 year from date of receipt.
Loading...
Loading...
Loading...
Loading...
⚠ WARNING: This product can expose you to chemicals including mercury, which is known to the State of California to cause reproductive toxicity with developmental effects. For more information go to www.P65Warnings.ca.gov.