Skip to main content

ADCK4 Antibody - BSA Free

Novus Biologicals, part of Bio-Techne | Catalog # NBP1-85509

Novus Biologicals, part of Bio-Techne
Catalog #
Availability
Size / Price
Qty
Loading...
NBP1-85509
NBP1-85509-25ul

Key Product Details

Species Reactivity

Validated:

Human

Predicted:

Mouse (93%), Rat (91%). Backed by our 100% Guarantee.

Applications

Immunohistochemistry, Immunohistochemistry-Paraffin, Western Blot

Label

Unconjugated

Antibody Source

Polyclonal Rabbit IgG

Format

BSA Free

Concentration

Concentrations vary lot to lot. See vial label for concentration. If unlisted please contact technical services.

Product Specifications

Immunogen

This antibody was developed against Recombinant Protein corresponding to amino acids: HQVTLLDFGASREFGTEFTDHYIEVVKAAADGDRDCVLQKSRDLKFLTGFETKAFSDAHVEAVMILGEPFATQGPYDFGSGETARRI

Clonality

Polyclonal

Host

Rabbit

Isotype

IgG

Description

Novus Biologicals Rabbit ADCK4 Antibody - BSA Free (NBP1-85509) is a polyclonal antibody validated for use in IHC and WB. All Novus Biologicals antibodies are covered by our 100% guarantee.

Scientific Data Images for ADCK4 Antibody - BSA Free

Western Blot: ADCK4 Antibody [NBP1-85509]

Western Blot: ADCK4 Antibody [NBP1-85509]

Western Blot: ADCK4 Antibody [NBP1-85509] - Lane 1: Marker [kDa] 250, 130, 95, 72, 55, 36, 28, 17, 10. Lane 2: Negative control (vector only transfected HEK293T lysate). Lane 3: Over-expression lysate (Co-expressed with a C-terminal myc-DDK tag (3.1 kDa) in mammalian HEK293T cells).
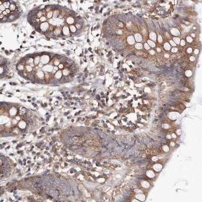
Immunohistochemistry-Paraffin: ADCK4 Antibody [NBP1-85509]

Immunohistochemistry-Paraffin: ADCK4 Antibody [NBP1-85509]

Immunohistochemistry-Paraffin: ADCK4 Antibody [NBP1-85509] - Staining of human colon shows moderate cytoplasmic positivity in glandular cells.
Western Blot: ADCK4 Antibody [NBP1-85509]

Western Blot: ADCK4 Antibody [NBP1-85509]

Western Blot: ADCK4 Antibody [NBP1-85509] - Analysis in control (vector only transfected HEK293T lysate) and ADCK4 over-expression lysate (Co-expressed with a C-terminal myc-DDK tag (3.1 kDa) in mammalian HEK293T cells).

Applications for ADCK4 Antibody - BSA Free

Application
Recommended Usage

Immunohistochemistry

1:200 - 1:500

Immunohistochemistry-Paraffin

1:200 - 1:500

Western Blot

0.04-0.4 ug/ml
Application Notes
For IHC-Paraffin, HIER pH 6 retrieval is recommended.

Formulation, Preparation, and Storage

Purification

Immunogen affinity purified

Formulation

PBS (pH 7.2) and 40% Glycerol

Format

BSA Free

Preservative

0.02% Sodium Azide

Concentration

Concentrations vary lot to lot. See vial label for concentration. If unlisted please contact technical services.

Shipping

The product is shipped with polar packs. Upon receipt, store it immediately at the temperature recommended below.

Stability & Storage

Store at 4C short term. Aliquot and store at -20C long term. Avoid freeze-thaw cycles.

Background: ADCK4

The function of this protein is not yet clear. It is not known if it has protein kinase activity and whattype of substrate it would phosphorylate (Ser, Thr or Tyr)

Alternate Names

aarF domain containing kinase 4, COQ8, EC 2.7.11, EC 2.7.11.-, EC 2.7.11.1, EC 2.7.11.25, FLJ12229

Gene Symbol

COQ8B

Additional ADCK4 Products

Product Documents for ADCK4 Antibody - BSA Free

Certificate of Analysis

To download a Certificate of Analysis, please enter a lot number in the search box below.

Product Specific Notices for ADCK4 Antibody - BSA Free

This product is for research use only and is not approved for use in humans or in clinical diagnosis. Primary Antibodies are guaranteed for 1 year from date of receipt.

Loading...
Loading...
Loading...
Loading...