Skip to main content

ADCK2 Antibody - BSA Free

Novus Biologicals, part of Bio-Techne | Catalog # NBP2-84396

Novus Biologicals, part of Bio-Techne
Catalog #
Availability
Size / Price
Qty
Loading...
NBP2-84396-0.1ml

Key Product Details

Species Reactivity

Human

Applications

Immunohistochemistry, Immunohistochemistry-Paraffin, Western Blot

Label

Unconjugated

Antibody Source

Polyclonal Rabbit

Format

BSA Free

Concentration

0.5 mg/ml

Product Specifications

Immunogen

The immunogen is a synthetic peptide directed towards the middle region of Human ADCK2. Peptide sequence: LGNGRKPPENLADQSFLERLLLPKADLVGSNAGVSRAQVPGHQPEATNLI The peptide sequence for this immunogen was taken from within the described region.

Clonality

Polyclonal

Host

Rabbit

Description

Novus Biologicals Rabbit ADCK2 Antibody - BSA Free (NBP2-84396) is a polyclonal antibody validated for use in IHC and WB. All Novus Biologicals antibodies are covered by our 100% guarantee.

Scientific Data Images for ADCK2 Antibody - BSA Free

Western Blot: ADCK2 Antibody [NBP2-84396]

Western Blot: ADCK2 Antibody [NBP2-84396]

Western Blot: ADCK2 Antibody [NBP2-84396] - Host: Rabbit. Target Name: ADCK2. Sample Type: Jurkat Whole Cell lysates. Antibody Dilution: 1.0ug/mlADCK2 is supported by BioGPS gene expression data to be expressed in Jurkat
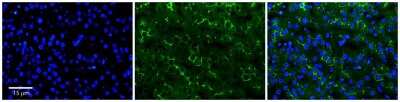
Immunohistochemistry-Paraffin: ADCK2 Antibody [NBP2-84396]

Immunohistochemistry-Paraffin: ADCK2 Antibody [NBP2-84396]

Immunohistochemistry-Paraffin: ADCK2 Antibody [NBP2-84396] - Rabbit Anti-ADCK2 Antibody. Formalin Fixed Paraffin Embedded Tissue: Human Adult Liver. Observed Staining: Membrane in bile canaliculi, strong signal, wide tissue distribution. Primary Antibody Concentration: 1:100. Secondary Antibody: donkey anti-rabbit

Applications for ADCK2 Antibody - BSA Free

Application
Recommended Usage

Western Blot

1.0 ug/ml

Formulation, Preparation, and Storage

Purification

Affinity purified

Formulation

PBS, 2% Sucrose

Format

BSA Free

Preservative

0.09% Sodium Azide

Concentration

0.5 mg/ml

Shipping

The product is shipped with polar packs. Upon receipt, store it immediately at the temperature recommended below.

Stability & Storage

Store at 4C short term. Aliquot and store at -20C long term. Avoid freeze-thaw cycles.

Background: ADCK2

The function of this protein is not yet clear. It is not known if it has protein kinase activity and whattype of substrate it would phosphorylate (Ser, Thr or Tyr)

Alternate Names

AARF, aarF domain containing kinase 2, EC 2.7.11.-, MGC20727, putative ubiquinone biosynthesis protein AarF

Gene Symbol

ADCK2

Additional ADCK2 Products

Product Documents for ADCK2 Antibody - BSA Free

Certificate of Analysis

To download a Certificate of Analysis, please enter a lot number in the search box below.

Product Specific Notices for ADCK2 Antibody - BSA Free

This product is for research use only and is not approved for use in humans or in clinical diagnosis. Primary Antibodies are guaranteed for 1 year from date of receipt.

Loading...
Loading...
Loading...
Loading...