Skip to main content

ADAR Antibody - BSA Free

Novus Biologicals, part of Bio-Techne | Catalog # NBP3-05523

Novus Biologicals, part of Bio-Techne
Catalog #
Availability
Size / Price
Qty
Loading...
NBP3-05523-100ul
NBP3-05523-25ul

Key Product Details

Validated by

Orthogonal Validation, Independent Antibodies

Species Reactivity

Validated:

Human

Predicted:

Mouse (93%), Rat (94%). Backed by our 100% Guarantee.

Applications

Immunocytochemistry/ Immunofluorescence, Immunohistochemistry, Immunohistochemistry-Paraffin

Label

Unconjugated

Antibody Source

Polyclonal Rabbit IgG

Format

BSA Free

Concentration

Concentrations vary lot to lot. See vial label for concentration. If unlisted please contact technical services.

Product Specifications

Immunogen

This antibody was developed against a recombinant protein corresponding to amino acids: ALLTHFLQPIYLKSVTLGYLFSQGHLTRAICCRVTRDGSAFEDGLRHPFIVNHPKVGRVSIYDSKRQSGKTKETSVNWCLADGYDLEILDGTRGTVDGPRNELSRVSKKNIFLLFKKLCSFRYRRDLLRLSYGEAKKAARDY

Clonality

Polyclonal

Host

Rabbit

Isotype

IgG

Description

Novus Biologicals Rabbit ADAR Antibody - BSA Free (NBP3-05523) is a polyclonal antibody validated for use in IHC and ICC/IF. All Novus Biologicals antibodies are covered by our 100% guarantee.

Scientific Data Images for ADAR Antibody - BSA Free

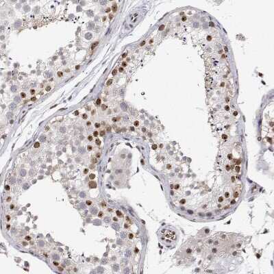
Immunohistochemistry-Paraffin: ADAR Antibody [NBP3-05523]

Immunohistochemistry-Paraffin: ADAR Antibody [NBP3-05523]

Immunohistochemistry-Paraffin: ADAR Antibody [NBP3-05523] - Analysis in human testis and skeletal muscle tissues using NBP3-05523 antibody. Corresponding ADAR RNA-seq data are presented for the same tissues.
Immunohistochemistry-Paraffin: ADAR Antibody [NBP3-05523]

Immunohistochemistry-Paraffin: ADAR Antibody [NBP3-05523]

Immunohistochemistry-Paraffin: ADAR Antibody [NBP3-05523] - Staining of human cerebellum, endometrium, skeletal muscle and testis using Anti-ADAR antibody NBP3-05523 (A) shows similar protein distribution across tissues to independent antibody NBP1-90242 (B).
Immunocytochemistry/ Immunofluorescence: ADAR Antibody [NBP3-05523]

Immunocytochemistry/ Immunofluorescence: ADAR Antibody [NBP3-05523]

Immunocytochemistry/Immunofluorescence: ADAR Antibody [NBP3-05523] - Staining of human cell line U-2 OS shows localization to nucleoplasm & nucleoli.

Applications for ADAR Antibody - BSA Free

Application
Recommended Usage

Immunocytochemistry/ Immunofluorescence

0.25-2 ug/ml

Immunohistochemistry

1:1000 - 1:2500

Immunohistochemistry-Paraffin

1:1000 - 1:2500
Application Notes
For ICC/IF fixation permeabilization use PFA/Triton X-100. IHC-P Retrieval method: HIER pH6.

Formulation, Preparation, and Storage

Purification

Affinity purified

Formulation

PBS, pH 7.2, containing 40% glycerol

Format

BSA Free

Preservative

0.02% Sodium Azide

Concentration

Concentrations vary lot to lot. See vial label for concentration. If unlisted please contact technical services.

Shipping

The product is shipped with polar packs. Upon receipt, store it immediately at the temperature recommended below.

Stability & Storage

Store at 4C short term. Aliquot and store at -20C long term. Avoid freeze-thaw cycles.

Background: ADAR

ADAR encodes the enzyme responsible for RNA editing by site-specific deamination of adenosines. This enzyme destabilizes double stranded RNA through conversion of adenosine to inosine. Mutations in this gene have been associated with dyschromatosis symmetrica hereditaria. Alternate transcriptional splice variants, encoding different isoforms, have been characterized. [provided by RefSeq]

Long Name

Double-stranded RNA-specific adenosine deaminase

Alternate Names

ADAR1, DRADA, DSRAD, EC 3.5.4.37, G1P1, IFI-4, IFI4, K88DSRBP, p136

Gene Symbol

ADAR

Additional ADAR Products

Product Documents for ADAR Antibody - BSA Free

Certificate of Analysis

To download a Certificate of Analysis, please enter a lot number in the search box below.

Product Specific Notices for ADAR Antibody - BSA Free

This product is for research use only and is not approved for use in humans or in clinical diagnosis. Primary Antibodies are guaranteed for 1 year from date of receipt.

Loading...
Loading...
Loading...
Loading...