Skip to main content

ADAM29 Antibody - BSA Free

Novus Biologicals, part of Bio-Techne | Catalog # NBP2-81697

Novus Biologicals, part of Bio-Techne

Key Product Details

Species Reactivity

Human

Applications

Immunohistochemistry, Immunohistochemistry-Paraffin, Western Blot, ELISA, Immunocytochemistry/ Immunofluorescence

Label

Unconjugated

Antibody Source

Polyclonal Rabbit IgG

Format

BSA Free

Concentration

1 mg/ml

Product Specifications

Immunogen

ADAM29 antibody was raised against a 19 amino acid peptide near the carboxy terminus of human ADAM29. The immunogen is located within amino acids 710 - 760 of ADAM29. Amino Acid Squence: EEEKIQRRPHELPPQSQPW

Specificity

ADAM29 antibody is human specific. ADAM29 antibody is predicted to not cross-react with other ADAM family proteins.

Clonality

Polyclonal

Host

Rabbit

Isotype

IgG

Theoretical MW

80 kDa.
Disclaimer note: The observed molecular weight of the protein may vary from the listed predicted molecular weight due to post translational modifications, post translation cleavages, relative charges, and other experimental factors.

Description

Novus Biologicals Rabbit ADAM29 Antibody - BSA Free (NBP2-81697) is a polyclonal antibody validated for use in IHC, WB, ELISA and ICC/IF. All Novus Biologicals antibodies are covered by our 100% guarantee.

Scientific Data Images for ADAM29 Antibody - BSA Free

Western Blot: ADAM29 AntibodyBSA Free [NBP2-81697]

Western Blot: ADAM29 AntibodyBSA Free [NBP2-81697]

Western Blot: ADAM29 Antibody [NBP2-81697] - Analysis of ADAM29 in human bladder tissue lysate with ADAM29 antibody at (A) 1 and (B) 2 ug/ml.
ADAM29 Antibody - BSA Free

Immunocytochemistry/ Immunofluorescence: ADAM29 Antibody - BSA Free [NBP2-81697] -

Immunocytochemistry/ Immunofluorescence: ADAM29 Antibody - BSA Free [NBP2-81697] - Immunofluorescence of ADAM29 in human testis tissue with ADAM29 antibody at 20 u/mL.
ADAM29 Antibody - BSA Free

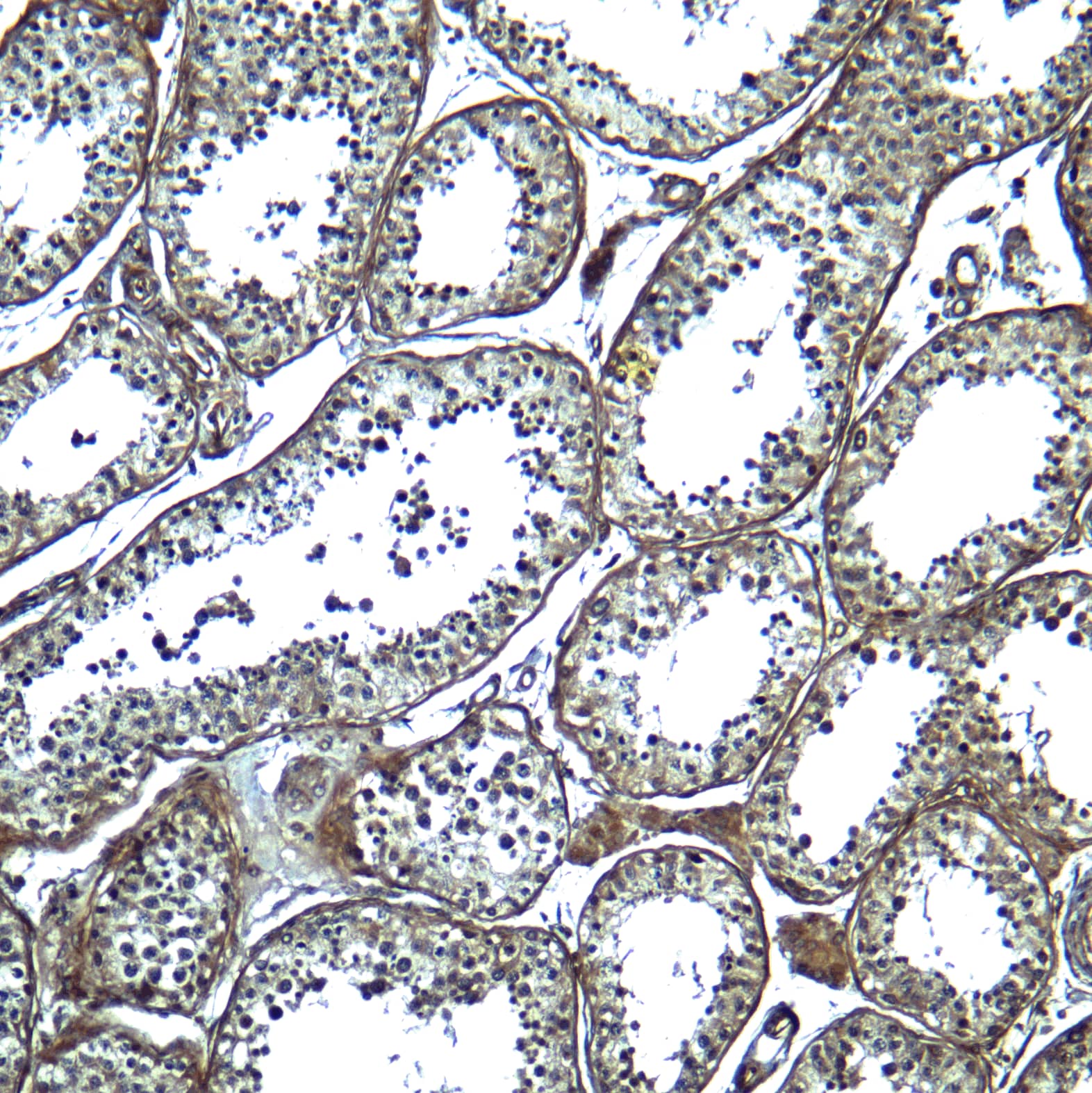
Immunohistochemistry: ADAM29 Antibody - BSA Free [NBP2-81697] -

Immunohistochemistry: ADAM29 Antibody - BSA Free [NBP2-81697] - Immunohistochemistry of ADAM29 in human testis tissue with ADAM29 antibody at 5 ug/mL.

Applications for ADAM29 Antibody - BSA Free

Application
Recommended Usage

Immunocytochemistry/ Immunofluorescence

20 ug/ml

Immunohistochemistry

5 ug/ml

Western Blot

1-2 ug/ml

Formulation, Preparation, and Storage

Purification

Peptide affinity purified

Formulation

PBS

Format

BSA Free

Preservative

0.02% Sodium Azide

Concentration

1 mg/ml

Shipping

The product is shipped with polar packs. Upon receipt, store it immediately at the temperature recommended below.

Stability & Storage

Store at 4C short term. Aliquot and store at -20C long term. Avoid freeze-thaw cycles.

Background: ADAM29

ADAM29, or Disintegrin and metalloproteinase domain-containing protein29, contains an alpha 93 kDa isoform, a beta 87 kDa isoform, and a gamma 90 kDa isoform, and is involved in the processes of fertilization and spermatogenesis. Current research is being conducted on the protein's relation to a variety of cancers, including chronic lymphocytic leukemia, lymphocytic leukemia, and melanoma. ADAM29 has been linked to the processes of proteolysis and spermatogenesis, in which it interacts with ABI2.

Alternate Names

ADAM 29, ADAM metallopeptidase domain 29, Cancer/testis antigen 73, CT73a disintegrin and metalloproteinase domain 29, disintegrin and metalloproteinase domain-containing protein 29, EC 3.4.24, EC 3.4.24.58, svph1

Gene Symbol

ADAM29

Additional ADAM29 Products

Product Documents for ADAM29 Antibody - BSA Free

Certificate of Analysis

To download a Certificate of Analysis, please enter a lot number in the search box below.

Product Specific Notices for ADAM29 Antibody - BSA Free

This product is for research use only and is not approved for use in humans or in clinical diagnosis. Primary Antibodies are guaranteed for 1 year from date of receipt.

Loading...
Loading...
Loading...
Loading...