Skip to main content

ADAM10 Antibody (CL13808) - Azide and BSA Free

Novus Biologicals, part of Bio-Techne | Catalog # NBP3-43825

Novus Biologicals, part of Bio-Techne

Key Product Details

Validated by

Orthogonal Validation

Species Reactivity

Human

Applications

Immunohistochemistry-Paraffin, Western Blot

Label

Unconjugated

Antibody Source

Monoclonal Mouse IgG1 Clone # CL13808

Format

Azide and BSA Free

Concentration

LYOPH mg/ml

Product Specifications

Immunogen

This antibody was generated using a synthetic peptide of O14672, with the exact immunogen sequence remaining proprietary.

Clonality

Monoclonal

Host

Mouse

Isotype

IgG1

Description

Novus Biologicals Mouse ADAM10 Antibody (CL13808) - Azide and BSA Free (NBP3-24577) is a monoclonal antibody validated for use in IHC and WB. All Novus Biologicals antibodies are covered by our 100% guarantee.

Scientific Data Images for ADAM10 Antibody (CL13808) - Azide and BSA Free

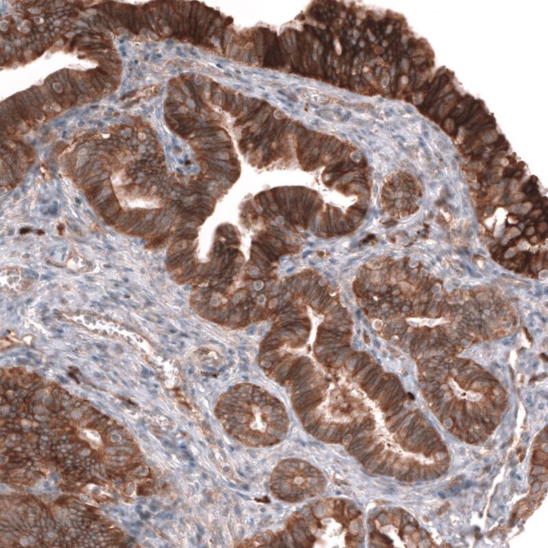
ADAM10 Antibody (CL13808) - Azide and BSA Free Immunohistochemistry-Paraffin: ADAM10 Antibody [NBP3-43825]

Immunohistochemistry-Paraffin: ADAM10 Antibody [NBP3-43825]

Analysis in human prostate and skeletal muscle tissues using NBP3-43825 antibody. Corresponding ADAM10 RNA-seq data are presented for the same tissues.
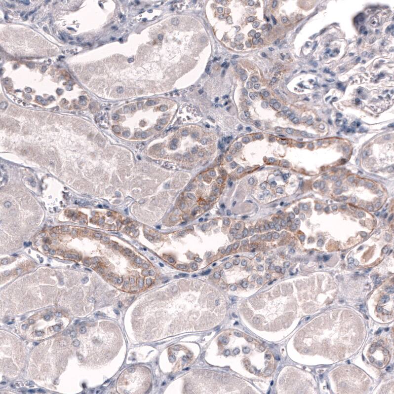
ADAM10 Antibody (CL13808) - Azide and BSA Free Immunohistochemistry-Paraffin: ADAM10 Antibody [NBP3-43825]

Immunohistochemistry-Paraffin: ADAM10 Antibody [NBP3-43825]

Staining of human kidney shows weak to moderate membranous positivity in cells in tubules.
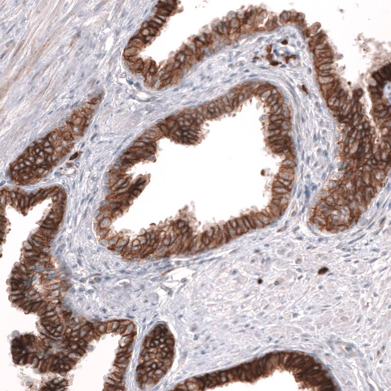
ADAM10 Antibody (CL13808) - Azide and BSA Free Immunohistochemistry-Paraffin: ADAM10 Antibody [NBP3-43825]

Immunohistochemistry-Paraffin: ADAM10 Antibody [NBP3-43825]

Staining of human fallopian tube shows strong membranous positivity in glandular cells.

Applications for ADAM10 Antibody (CL13808) - Azide and BSA Free

Application
Recommended Usage

Immunohistochemistry-Paraffin

1:1000 - 1:2500

Western Blot

1 ug/ml
Application Notes
For IHC-Paraffin, we recommend using Heat-Induced Epitope Retrieval (HIER) with a pH level of 6. This optimized retrieval method ensures the best results for your experiments.

Formulation, Preparation, and Storage

Purification

Protein A purified

Reconstitution

Centrifuge the vial of lyophilized antibody at 12,000 x g for 20 seconds. Reconstitute by adding sterile, distilled water to achieve a final antibody concentration of 1mg/ml.

Formulation

Lyophilized from a 0.2 um filtered solution in PBS with Trehalose

Format

Azide and BSA Free

Preservative

No Preservative

Concentration

LYOPH mg/ml

Shipping

The product is shipped at ambient temperature. Upon receipt, store it immediately at the temperature recommended below.

Stability & Storage

Store at 4C short term. Aliquot and store at -20C long term. Avoid freeze-thaw cycles.

Background: ADAM10

Proinflammatory cytokine tumor necrosis factor-alpha (TNF-a) contributes to a variety of inflammatory responses and programmed cell death. Notch receptor and its ligand participate in cell fate decisions during vertebrate development and are associated with several human disorders, including a T-cell lymphoma. TNF-a, notch and its ligand delta are all membrane-bond molecules, which are cleaved by proteases to release mature proteins or functional receptor. ADAM10, a metalloprotease-disintegrin in the family of mammalian ADAM (for a disintegrin and metalloprotease), was recently identified to cleave TNF-a, notch and its ligand delta (1-3). The genes encoding human, mouse, and bovine ADAM10 were recently cloned and designated ADAM 10, kuzbanian (KUZ), and MADM, respectively, (1,2,4). ADAM10 mRNA is expressed in a variety of human and bovine tissues (1,4).

Long Name

A Disintegrin and Metalloprotease-like Domain 10

Alternate Names

CD156c, Kuzbanian, MADM

Gene Symbol

ADAM10

Additional ADAM10 Products

Product Documents for ADAM10 Antibody (CL13808) - Azide and BSA Free

Certificate of Analysis

To download a Certificate of Analysis, please enter a lot number in the search box below.

Product Specific Notices for ADAM10 Antibody (CL13808) - Azide and BSA Free

This product is for research use only and is not approved for use in humans or in clinical diagnosis. Primary Antibodies are guaranteed for 1 year from date of receipt.

Loading...
Loading...
Loading...
Loading...
Loading...