Skip to main content

ADA2 beta Antibody (1C8) - Azide and BSA Free

Novus Biologicals, part of Bio-Techne | Catalog # H00093624-M08

Novus Biologicals, part of Bio-Techne
Catalog #
Availability
Size / Price
Qty
Loading...
H00093624-M08

Key Product Details

Species Reactivity

Human, Mouse, Rat

Applications

Immunohistochemistry, Immunohistochemistry-Paraffin, Western Blot, ELISA, Sandwich ELISA

Label

Unconjugated

Antibody Source

Monoclonal Mouse IgG2a Kappa Clone # 1C8

Format

Azide and BSA Free

Concentration

Concentrations vary lot to lot. See vial label for concentration. If unlisted please contact technical services.

Product Specifications

Immunogen

MGC21874 (XP_291105, 2 a.a. ~ 110 a.a) partial recombinant protein with GST tag. MW of the GST tag alone is 26 KDa. AELGKKYCVYCLAEVSPLRFRCTECQDIELCPECFSAGAEIGHHRRYHGYQLVDGGRFTLWGPEAEGGWTSREEQLLLDAIEQFGFGNWEDMAAHVGASRTPQEVMEHY

Reactivity Notes

Human, mouse & rat. Other species have not been tested.

Specificity

MGC21874 (1C8)

Clonality

Monoclonal

Host

Mouse

Isotype

IgG2a Kappa

Description

Novus Biologicals Mouse ADA2 beta Antibody (1C8) - Azide and BSA Free (H00093624-M08) is a monoclonal antibody validated for use in IHC, WB and ELISA. Anti-ADA2 beta Antibody: Cited in 1 publication. All Novus Biologicals antibodies are covered by our 100% guarantee.

Scientific Data Images for ADA2 beta Antibody (1C8) - Azide and BSA Free

Western Blot: ADA2 beta Antibody (1C8) [H00093624-M08]

Western Blot: ADA2 beta Antibody (1C8) [H00093624-M08]

Western Blot: ADA2 beta Antibody (1C8) [H00093624-M08] - Analysis of MGC21874 expression in Raw 264.7 (Cat # L024V1).
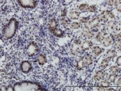
Immunohistochemistry-Paraffin: ADA2 beta Antibody (1C8) [H00093624-M08]

Immunohistochemistry-Paraffin: ADA2 beta Antibody (1C8) [H00093624-M08]

Immunohistochemistry-Paraffin: ADA2 beta Antibody (1C8) [H00093624-M08] - Analysis of monoclonal antibody to MGC21874 on formalin-fixed paraffin-embedded human stomach. Antibody concentration 1.5 ug/ml
Western Blot: ADA2 beta Antibody (1C8) [H00093624-M08]

Western Blot: ADA2 beta Antibody (1C8) [H00093624-M08]

Western Blot: ADA2 beta Antibody (1C8) [H00093624-M08] - Analysis of MGC21874 expression in HeLa (Cat # L013V1).

Applications for ADA2 beta Antibody (1C8) - Azide and BSA Free

Application
Recommended Usage

Western Blot

1:500
Application Notes
Antibody reactive against cell lysate and recombinant protein for Western Blot. Has also been used for immunohistochemistry (paraffin) and ELISA.

Formulation, Preparation, and Storage

Purification

IgG purified

Formulation

In 1x PBS, pH 7.4

Format

Azide and BSA Free

Preservative

No Preservative

Concentration

Concentrations vary lot to lot. See vial label for concentration. If unlisted please contact technical services.

Shipping

The product is shipped with polar packs. Upon receipt, store it immediately at the temperature recommended below.

Stability & Storage

Aliquot and store at -20C or -80C. Avoid freeze-thaw cycles.

Background: ADA2 beta

Coactivates PAX5-dependent transcription together with either SMARCA4 or GCN5L2

Alternate Names

ADA2-beta, ADA2-like protein beta, MGC21874, transcriptional adapter 2-beta, transcriptional adaptor 2 (ADA2 homolog, yeast)-beta, transcriptional adaptor 2B

Entrez Gene IDs

93624 (Human)

Gene Symbol

TADA2B

OMIM

608790 (Human)

Additional ADA2 beta Products

Product Documents for ADA2 beta Antibody (1C8) - Azide and BSA Free

Certificate of Analysis

To download a Certificate of Analysis, please enter a lot number in the search box below.

Product Specific Notices for ADA2 beta Antibody (1C8) - Azide and BSA Free

This product is produced by and distributed for Abnova, a company based in Taiwan.

This product is for research use only and is not approved for use in humans or in clinical diagnosis. Primary Antibodies are guaranteed for 1 year from date of receipt.

Loading...
Loading...
Loading...
Loading...