Skip to main content

ACY3 Antibody - BSA Free

Novus Biologicals, part of Bio-Techne | Catalog # NBP2-48895

Novus Biologicals, part of Bio-Techne
Catalog #
Availability
Size / Price
Qty
Loading...
NBP2-48895
NBP2-48895-25ul

Key Product Details

Validated by

Independent Antibodies

Species Reactivity

Human

Applications

Immunohistochemistry, Immunohistochemistry-Paraffin, Western Blot

Label

Unconjugated

Antibody Source

Polyclonal Rabbit IgG

Format

BSA Free

Concentration

Concentrations vary lot to lot. See vial label for concentration. If unlisted please contact technical services.

Product Specifications

Immunogen

This antibody was developed against a recombinant protein corresponding to amino acids: MCSLPVPQEPLRRVAVTGGTHGNEMSGVYLARHWLHAPAELQRASFSAVPVLANPAATSGCRRYVDHDLNRTFTSSFLNSR

Clonality

Polyclonal

Host

Rabbit

Isotype

IgG

Description

Novus Biologicals Rabbit ACY3 Antibody - BSA Free (NBP2-48895) is a polyclonal antibody validated for use in IHC and WB. All Novus Biologicals antibodies are covered by our 100% guarantee.

Scientific Data Images for ACY3 Antibody - BSA Free

Western Blot: ACY3 Antibody [NBP2-48895]

Western Blot: ACY3 Antibody [NBP2-48895]

Western Blot: ACY3 Antibody [NBP2-48895] - Analysis in control (vector only transfected HEK293T lysate) and ACY3 over-expression lysate (Co-expressed with a C-terminal myc-DDK tag (3.1 kDa) in mammalian HEK293T cells).
Immunohistochemistry-Paraffin: ACY3 Antibody [NBP2-48895]

Immunohistochemistry-Paraffin: ACY3 Antibody [NBP2-48895]

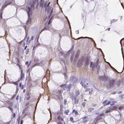
Immunohistochemistry-Paraffin: ACY3 Antibody [NBP2-48895] - Staining of human colon.
Immunohistochemistry: ACY3 Antibody [NBP2-48895]

Immunohistochemistry: ACY3 Antibody [NBP2-48895]

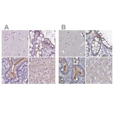
Immunohistochemistry: ACY3 Antibody [NBP2-48895] - Staining of human kidney shows moderate cytoplasmic and nuclear positivity in proximal renal tubules.

Applications for ACY3 Antibody - BSA Free

Application
Recommended Usage

Immunohistochemistry

1:1000 - 1:2500

Immunohistochemistry-Paraffin

1:1000 - 1:2500

Western Blot

0.04-0.4 ug/ml
Application Notes
For IHC-Paraffin, HIER pH 6 retrieval is recommended.

Formulation, Preparation, and Storage

Purification

Immunogen affinity purified

Formulation

PBS (pH 7.2) and 40% Glycerol

Format

BSA Free

Preservative

0.02% Sodium Azide

Concentration

Concentrations vary lot to lot. See vial label for concentration. If unlisted please contact technical services.

Shipping

The product is shipped with polar packs. Upon receipt, store it immediately at the temperature recommended below.

Stability & Storage

Store at 4C short term. Aliquot and store at -20C long term. Avoid freeze-thaw cycles.

Background: ACY3

ACY3 plays an important role in deacetylating mercapturic acids in kidney proximal tubules

Alternate Names

ACY-3aspartoacylase-2, Acylase III, aminoacylase-3, aspartoacylase (aminocyclase) 3, EC 3.5.1.-, EC 3.5.1.15, HCBP1ASPA2, Hepatitis C virus core-binding protein 1, MGC9740

Gene Symbol

ACY3

Additional ACY3 Products

Product Documents for ACY3 Antibody - BSA Free

Certificate of Analysis

To download a Certificate of Analysis, please enter a lot number in the search box below.

Product Specific Notices for ACY3 Antibody - BSA Free

This product is for research use only and is not approved for use in humans or in clinical diagnosis. Primary Antibodies are guaranteed for 1 year from date of receipt.

Loading...
Loading...
Loading...
Loading...