Skip to main content

ACTR2 Antibody (JE40-62)

Novus Biologicals, part of Bio-Techne | Catalog # NBP3-32048

Recombinant Monoclonal Antibody
Novus Biologicals, part of Bio-Techne
Catalog #
Availability
Size / Price
Qty
Loading...
NBP3-32048

Key Product Details

Species Reactivity

Human, Mouse, Rat

Applications

Immunocytochemistry/ Immunofluorescence, Immunohistochemistry, Immunohistochemistry-Paraffin, Western Blot

Label

Unconjugated

Antibody Source

Recombinant Monoclonal Rabbit IgG Clone # JE40-62 expressed in HEK293

Concentration

1 mg/ml

Product Specifications

Immunogen

Synthetic peptide within Human ACTR2 aa 345-394 / 394. (Uniprot: P61160)

Localization

Cytoplasm, cytoskeleton, Cell projection, Nucleus.

Clonality

Monoclonal

Host

Rabbit

Isotype

IgG

Theoretical MW

45 kDa.
Disclaimer note: The observed molecular weight of the protein may vary from the listed predicted molecular weight due to post translational modifications, post translation cleavages, relative charges, and other experimental factors.

Description

Novus Biologicals Rabbit ACTR2 Antibody (JE40-62) (NBP3-32048) is a recombinant monoclonal antibody validated for use in IHC, WB and ICC/IF. All Novus Biologicals antibodies are covered by our 100% guarantee.

Scientific Data Images for ACTR2 Antibody (JE40-62)

ACTR2 Antibody (JE40-62)

Western Blot: ACTR2 Antibody (JE40-62) [NBP3-32048]

Western Blot: ACTR2 Antibody (JE40-62) [NBP3-32048] - Western blot analysis of ACTR2 on different lysates with Rabbit anti-ACTR2 antibody (NBP3-32048) at 1/1,000 dilution.

Lane 1: Jurkat cell lysate
Lane 2: MCF7 cell lysate
Lane 3: SH-SY5Y cell lysate
Lane 4: HeLa cell lysate

Lysates/proteins at 10 ug/Lane.

Predicted band size: 45 kDa
Observed band size: 40 kDa

Exposure time: 1 minute;

4-20% SDS-PAGE gel.

Proteins were transferred to a PVDF membrane and blocked with 5% NFDM/TBST for 1 hour at room temperature. The primary antibody (NBP3-32048) at 1/1,000 dilution was used in 5% NFDM/TBST at room temperature for 2 hours. Goat Anti-Rabbit IgG - HRP Secondary Antibody at 1:200,000 dilution was used for 1 hour at room temperature.
ACTR2 Antibody (JE40-62)

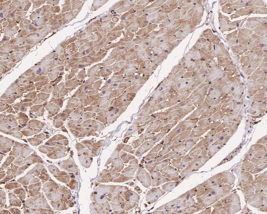
Immunohistochemistry: ACTR2 Antibody (JE40-62) [NBP3-32048]

Immunohistochemistry: ACTR2 Antibody (JE40-62) [NBP3-32048] - Immunohistochemical analysis of paraffin-embedded human heart tissue with Rabbit anti-ACTR2 antibody (NBP3-32048) at 1/1,000 dilution.

The section was pre-treated using heat mediated antigen retrieval with Tris-EDTA buffer (pH 9.0) for 20 minutes. The tissues were blocked in 1% BSA for 20 minutes at room temperature, washed with ddH2O and PBS, and then probed with the primary antibody (NBP3-32048) at 1/1,000 dilution for 1 hour at room temperature. The detection was performed using an HRP conjugated compact polymer system. DAB was used as the chromogen. Tissues were counterstained with hematoxylin and mounted with DPX.
ACTR2 Antibody (JE40-62)

Immunocytochemistry/ Immunofluorescence: ACTR2 Antibody (JE40-62) [NBP3-32048]

Immunocytochemistry/ Immunofluorescence: ACTR2 Antibody (JE40-62) [NBP3-32048] - Immunocytochemistry analysis of SH-SY5Y cells labeling ACTR2 with Rabbit anti-ACTR2 antibody (NBP3-32048) at 1/250 dilution.

Cells were fixed in 4% paraformaldehyde for 10 minutes at 37 ℃, permeabilized with 0.05% Triton X-100 in PBS for 20 minutes, and then blocked with 2% negative goat serum for 30 minutes at room temperature. Cells were then incubated with Rabbit anti-ACTR2 antibody (NBP3-32048) at 1/250 dilution in 2% negative goat serum overnight at 4 ℃. Goat Anti-Rabbit IgG H&L (iFluor™ 488) was used as the secondary antibody at 1/1,000 dilution. Nuclear DNA was labelled in blue with DAPI.

Beta tubulin (red) was stained at 1/100 dilution overnight at +4℃. Goat Anti-Mouse IgG H&L (iFluor™ 594) was used as the secondary antibody at 1/1,000 dilution.

Applications for ACTR2 Antibody (JE40-62)

Application
Recommended Usage

Immunocytochemistry/ Immunofluorescence

1:250

Immunohistochemistry-Paraffin

1:1000

Western Blot

1:1000

Formulation, Preparation, and Storage

Purification

Protein A purified

Formulation

1*TBS (pH7.4), 0.05% BSA and 40% Glycerol

Preservative

0.05% Sodium Azide

Concentration

1 mg/ml

Shipping

The product is shipped with polar packs. Upon receipt, store it immediately at the temperature recommended below.

Stability & Storage

Store at 4C short term. Aliquot and store at -20C long term. Avoid freeze-thaw cycles.

Background: ACTR2

The specific function of this gene has not yet been determined; however, the protein it encodes is known to be a major constituent of the ARP2/3 complex. This complex is located at the cell surface and is essential to cell shape and motility through lamellipodial actin assembly and protrusion. Two transcript variants encoding different isoforms have been found for this gene.

Long Name

Actin-related protein 2

Alternate Names

actin-related protein 2, ARP2 (actin-related protein 2, yeast) homolog, ARP2 actin-related protein 2 homolog (yeast), ARP2Actin-like protein 2

Gene Symbol

ACTR2

Additional ACTR2 Products

Product Documents for ACTR2 Antibody (JE40-62)

Certificate of Analysis

To download a Certificate of Analysis, please enter a lot number in the search box below.

Product Specific Notices for ACTR2 Antibody (JE40-62)

This product is for research use only and is not approved for use in humans or in clinical diagnosis. Primary Antibodies are guaranteed for 1 year from date of receipt.

Loading...
Loading...
Loading...
Loading...