Skip to main content

Activin RIIA Antibody - BSA Free

Novus Biologicals, part of Bio-Techne | Catalog # NBP1-91647

Novus Biologicals, part of Bio-Techne
Catalog #
Availability
Size / Price
Qty
Loading...
NBP1-91647-25ul
NBP1-91647

Key Product Details

Species Reactivity

Validated:

Human

Predicted:

Mouse (100%), Rat (100%). Backed by our 100% Guarantee.

Applications

Immunohistochemistry, Immunohistochemistry-Paraffin

Label

Unconjugated

Antibody Source

Polyclonal Rabbit IgG

Format

BSA Free

Concentration

Concentrations vary lot to lot. See vial label for concentration. If unlisted please contact technical services.

Product Specifications

Immunogen

This antibody was developed against Recombinant Protein corresponding to amino acids: CEGNMCNEKFSYFPEMEVTQPTSNPVTPKPPYYN

Clonality

Polyclonal

Host

Rabbit

Isotype

IgG

Description

Novus Biologicals Rabbit Activin RIIA Antibody - BSA Free (NBP1-91647) is a polyclonal antibody validated for use in IHC. All Novus Biologicals antibodies are covered by our 100% guarantee.

Scientific Data Images for Activin RIIA Antibody - BSA Free

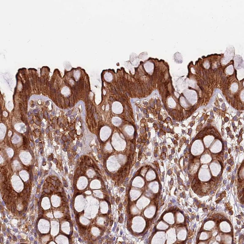
Immunohistochemistry-Paraffin: Activin RIIA Antibody [NBP1-91647]

Immunohistochemistry-Paraffin: Activin RIIA Antibody [NBP1-91647]

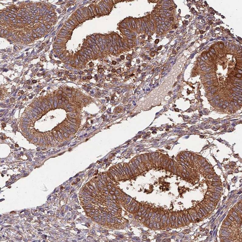
Immunohistochemistry-Paraffin: Activin RIIA Antibody [NBP1-91647] - Staining of human endometrium shows moderate to strong membranous positivity in glandular cells.
Immunohistochemistry-Paraffin: Activin RIIA Antibody [NBP1-91647]

Immunohistochemistry-Paraffin: Activin RIIA Antibody [NBP1-91647]

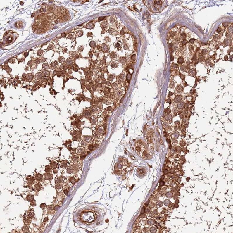
Immunohistochemistry-Paraffin: Activin RIIA Antibody [NBP1-91647] - Staining of human testis shows moderate to strong cytoplasmic positivity in cells in seminiferous ducts.
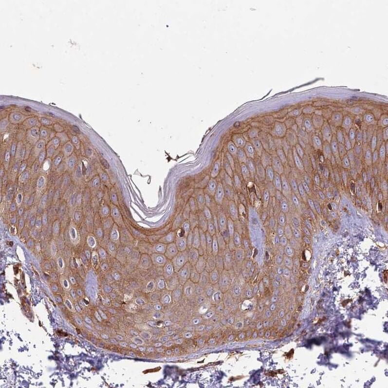
Activin RIIA Antibody - BSA Free Immunohistochemistry: Activin RIIA Antibody - BSA Free [NBP1-91647]

Immunohistochemistry: Activin RIIA Antibody - BSA Free [NBP1-91647]

Staining of human skin shows moderate to strong membranous positivity in squamous epithelial cells.

Applications for Activin RIIA Antibody - BSA Free

Application
Recommended Usage

Immunohistochemistry

1:20 - 1:50

Immunohistochemistry-Paraffin

1:20 -1:50
Application Notes
For IHC-Paraffin, HIER pH 6 retrieval is recommended.

Formulation, Preparation, and Storage

Purification

Immunogen affinity purified

Formulation

PBS (pH 7.2) and 40% Glycerol

Format

BSA Free

Preservative

0.02% Sodium Azide

Concentration

Concentrations vary lot to lot. See vial label for concentration. If unlisted please contact technical services.

Shipping

The product is shipped with polar packs. Upon receipt, store it immediately at the temperature recommended below.

Stability & Storage

Store at 4C short term. Aliquot and store at -20C long term. Avoid freeze-thaw cycles.

Background: Activin RIIA

Activin, a disulfide-linked homodimeric protein is secreted by Sertoli cells in the testis and granulosa cells in the ovary. In early studies, this peptide was thought to be an inhibin and not recognized as a unique compound. Activins and inhibins are members of the TGF-beta superfamily due to amino acid homology with respect to the conservation of 7 of the 9 cysteine residues common to all TGF-beta forms. Activins are homodimers or heterodimers of the various beta subunit isoforms, while inhibins are heterodimers of a unique alpha subunit and one of the various beta subunits. Five beta subunits have been cloned (mammalian betaA, betaB, betaC, betaE, and Xenopus betaD). The activin/inhibin nomenclature reflects the subunit composition of the proteins: activin A (betaA-betaA), activin B (betaB-betaB), activin AB (betaB-betaA), inhibin A (alpha-betaA), and inhibin B (alpha- betaB). Activins have a wide range of biological activities including mesoderm induction, neural cell differentiation, bone remodeling, hematopoiesis, and reproductive physiology. Activins are also involved in growth and differentiation of several tissues from different species. This protein also plays a key role in the production and regulation of hormones such as FSH, LH, GnRH, and ACTH. Activin influences erythropoiesis and the potentiation of erythroid colony formation, oxytocin secretion, paracrine, and autocrine regulation. Similar to other TGF-beta family members, activins exert their biological activities through the effects ot the heterodimeric complex composed of two membrane spanning serine-threonine kinases designated type I and type receptors. Activin type I and type II receptors are distinguished by the level of sequence homology of their kinase domains and other structural and functional features. To date, seven type I and five type II activin receptors have been cloned from mammals, including activin receptor IA, activin receptor IIA, activin receptor IB, and activin receptor IIB. In addition, two splicevariants of activin receptor IIA and five splice variants of activin receptor IIB have been reported. Type I activin receptors are highly conserved and do not bind directly to activin but will associate with the type II receptor-activin complex and initiate signal transduction. Type I activin receptors will also bind with the BMP-2/7-bound BMPR-II and form signaling complexes. Human, mouse, and bovine type IB activin receptors share greater than 98 % homology.

Long Name

Activin Receptor IIA

Alternate Names

ActivinRIIA, ACVR2A, AVR2A

Gene Symbol

ACVR2A

Additional Activin RIIA Products

Product Documents for Activin RIIA Antibody - BSA Free

Certificate of Analysis

To download a Certificate of Analysis, please enter a lot number in the search box below.

Product Specific Notices for Activin RIIA Antibody - BSA Free

This product is for research use only and is not approved for use in humans or in clinical diagnosis. Primary Antibodies are guaranteed for 1 year from date of receipt.

Loading...
Loading...
Loading...
Loading...