Skip to main content

ACSM3 Antibody - BSA Free

Novus Biologicals, part of Bio-Techne | Catalog # NBP3-48228

Novus Biologicals, part of Bio-Techne
Catalog #
Availability
Size / Price
Qty
Loading...
NBP3-48228

Key Product Details

Species Reactivity

Human, Mouse, Rat

Applications

Immunohistochemistry, Western Blot, ELISA, Immunocytochemistry/ Immunofluorescence, Serum

Label

Unconjugated

Antibody Source

Polyclonal Rabbit IgG

Format

BSA Free

Concentration

Please see the vial label for concentration. If unlisted please contact technical services.

Product Specifications

Immunogen

acyl-CoA synthetase medium-chain family member 3. (Uniprot# Q53FZ2)

Clonality

Polyclonal

Host

Rabbit

Isotype

IgG

Theoretical MW

66 kDa.
Disclaimer note: The observed molecular weight of the protein may vary from the listed predicted molecular weight due to post translational modifications, post translation cleavages, relative charges, and other experimental factors.

Description

Novus Biologicals Rabbit ACSM3 Antibody - BSA Free (NBP3-48228) is a polyclonal antibody validated for use in IHC, WB, ELISA and ICC/IF. All Novus Biologicals antibodies are covered by our 100% guarantee.

Scientific Data Images for ACSM3 Antibody - BSA Free

ACSM3 Antibody - BSA Free

Western Blot: ACSM3 Antibody - BSA Free [NBP3-48228] -

Western Blot: ACSM3 Antibody - BSA Free [NBP3-48228] - HEK-293 cells were subjected to SDS PAGE followed by western blot with (ACSM3 antibody) at dilution of 1:500
ACSM3 Antibody - BSA Free

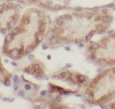
Immunohistochemistry: ACSM3 Antibody - BSA Free [NBP3-48228] -

Immunohistochemistry: ACSM3 Antibody - BSA Free [NBP3-48228] - Immunohistochemistry of paraffin-embedded human kidney tissue slide using (ACSM3 Antibody) at dilution of 1:50
ACSM3 Antibody - BSA Free

Immunocytochemistry/ Immunofluorescence: ACSM3 Antibody - BSA Free [NBP3-48228] -

Immunocytochemistry/ Immunofluorescence: ACSM3 Antibody - BSA Free [NBP3-48228] - Immunofluorescent analysis of HepG2 cells, using ACSM3 antibody at 1:25 dilution and Rhodamine-labeled goat anti-rabbit IgG (red).

Applications for ACSM3 Antibody - BSA Free

Application
Recommended Usage

Immunocytochemistry/ Immunofluorescence

1:10-1:100

Immunohistochemistry

1:20-1:200

Serum

FC

Western Blot

1:500-1:1000

Formulation, Preparation, and Storage

Purification

Immunogen affinity purified

Formulation

PBS, 50% Glycerol, pH (7.3)

Format

BSA Free

Preservative

0.02% Sodium Azide

Concentration

Please see the vial label for concentration. If unlisted please contact technical services.

Shipping

The product is shipped with polar packs. Upon receipt, store it immediately at the temperature recommended below.

Stability & Storage

Store at -20C. Avoid freeze-thaw cycles.

Background: ACSM3

ACSM3 has medium-chain fatty acid:CoA ligase activity with broad substrate specificity (in vitro). Acts on acids from C(4) to C(11) and on the corresponding 3-hydroxy- and 2,3- or 3,4-unsaturated acids (in vitro)

Alternate Names

acyl-CoA synthetase medium-chain family member 3Protein SA homolog, acyl-coenzyme A synthetase ACSM3, mitochondrial, Butyrate--CoA ligase 3, Butyryl-coenzyme A synthetase 3, EC 6.2.1, Middle-chain acyl-CoA synthetase 3, SA, SA (rat hypertension-associated) homolog, SA hypertension-associated homolog, SA hypertension-associated homolog (rat), SAH, SAHEC 6.2.1.2

Gene Symbol

ACSM3

Additional ACSM3 Products

Product Documents for ACSM3 Antibody - BSA Free

Certificate of Analysis

To download a Certificate of Analysis, please enter a lot number in the search box below.

Product Specific Notices for ACSM3 Antibody - BSA Free

This product is for research use only and is not approved for use in humans or in clinical diagnosis. Primary Antibodies are guaranteed for 1 year from date of receipt.

Loading...
Loading...
Loading...
Loading...