Skip to main content

ACSL1 Antibody - BSA Free

Novus Biologicals, part of Bio-Techne | Catalog # NBP2-99339

Novus Biologicals, part of Bio-Techne

Key Product Details

Species Reactivity

Human

Applications

Immunohistochemistry-Paraffin

Label

Unconjugated

Antibody Source

Polyclonal Rabbit IgG

Format

BSA Free

Concentration

Please see the vial label for concentration. If unlisted please contact technical services.

Product Specifications

Immunogen

Produced in rabbits immunized with a synthetic peptide corresponding to the center region of the Human ACSL1.

Clonality

Polyclonal

Host

Rabbit

Isotype

IgG

Description

This antibody can be stored at 2C to 8C for one month without detectable loss of activity. Antibody products are stable for twelve months from date of receipt when stored at -20C to -80C. Avoid repeated freeze-thaw cycles.

Scientific Data Images for ACSL1 Antibody - BSA Free

Immunohistochemistry-Paraffin: ACSL1 Antibody [NBP2-99339]

Immunohistochemistry-Paraffin: ACSL1 Antibody [NBP2-99339]

Immunohistochemistry-Paraffin: ACSL1 Antibody [NBP2-99339] - Immunochemical staining of human ACSL1 in human kidney with rabbit polyclonal antibody at 1:300 dilution, formalin-fixed paraffin embedded sections.
Immunohistochemistry-Paraffin: ACSL1 Antibody [NBP2-99339]

Immunohistochemistry-Paraffin: ACSL1 Antibody [NBP2-99339]

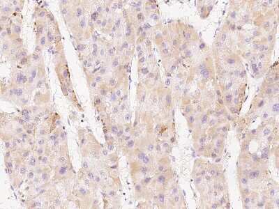
Immunohistochemistry-Paraffin: ACSL1 Antibody [NBP2-99339] - Immunochemical staining of human ACSL1 in human hepatoma with rabbit polyclonal antibody at 1:300 dilution, formalin-fixed paraffin embedded sections.

Applications for ACSL1 Antibody - BSA Free

Application
Recommended Usage

Immunohistochemistry-Paraffin

1:200-1:1000

Formulation, Preparation, and Storage

Purification

Antigen and protein A Affinity-purified

Formulation

PBS

Format

BSA Free

Preservative

0.03% Proclin 300

Concentration

Please see the vial label for concentration. If unlisted please contact technical services.

Shipping

The product is shipped with polar packs. Upon receipt, store it immediately at the temperature recommended below.

Stability & Storage

Store at 4C short term. Aliquot and store at -20C long term. Avoid freeze-thaw cycles.

Background: ACSL1

Long-chain-fatty-acid--CoA ligase 1, or ACSL1, is an isozyme of the long-chain fatty-acid-coenzyme A ligase family. These proteins play an important role in lipid biosynthesis and fatty acid degradation. Like other isozymes of this family, ALCS1 converts free long-chain fatty acids into fatty acyl-CoA esters. ACSL1 preferentially uses palmitoleate, oleate and linoleate, and altered expression of ACSL1 is thought to increase accumulation of triglycerides in the liver.

ALCS1 is strongly expressed in the heart, kindey, liver, skeletal muscle, and erythroid cells, and to a lesser extent in lung, brain, placenta and pancreas. This protein is predominantly expressed during the early stages of erythroid development, and expression is weak in reticulocytes and young erythrocytes.

Alternate Names

ACS1LACS 2, Acyl-CoA synthetase 1, acyl-CoA synthetase long-chain family member 1, EC 6.2.1, FACL1EC 6.2.1.3, fatty-acid-Coenzyme A ligase, long-chain 1, LACS 1, LACSlong-chain 2, lignoceroyl-CoA synthase, Long-chain acyl-CoA synthetase 1, Long-chain acyl-CoA synthetase 2, Long-chain fatty acid-CoA ligase 2, long-chain fatty-acid-coenzyme A ligase 1, long-chain-fatty-acid--CoA ligase 1, Palmitoyl-CoA ligase 1, Palmitoyl-CoA ligase 2, paltimoyl-CoA ligase 1

Gene Symbol

ACSL1

Additional ACSL1 Products

Product Documents for ACSL1 Antibody - BSA Free

Certificate of Analysis

To download a Certificate of Analysis, please enter a lot number in the search box below.

Product Specific Notices for ACSL1 Antibody - BSA Free

This product is for research use only and is not approved for use in humans or in clinical diagnosis. Primary Antibodies are guaranteed for 1 year from date of receipt.

Loading...
Loading...
Loading...
Loading...