Skip to main content

ACSBG2 Antibody - BSA Free

Novus Biologicals, part of Bio-Techne | Catalog # NBP1-88642

Novus Biologicals, part of Bio-Techne
Catalog #
Availability
Size / Price
Qty
Loading...
NBP1-88642
NBP1-88642-25ul

Key Product Details

Validated by

Orthogonal Validation

Species Reactivity

Human

Applications

Immunocytochemistry/ Immunofluorescence, Immunohistochemistry, Immunohistochemistry-Paraffin

Label

Unconjugated

Antibody Source

Polyclonal Rabbit IgG

Format

BSA Free

Concentration

Concentrations vary lot to lot. See vial label for concentration. If unlisted please contact technical services.

Product Specifications

Immunogen

This antibody was developed against Recombinant Protein corresponding to amino acids: LKCEMNQMSGEPLDKLNFEAINFCRGLGSQASTVTEIVKQQDPLVYKAIQQGINAVNQEAMNNAQRIEKWVILEKDF

Clonality

Polyclonal

Host

Rabbit

Isotype

IgG

Description

Novus Biologicals Rabbit ACSBG2 Antibody - BSA Free (NBP1-88642) is a polyclonal antibody validated for use in IHC and ICC/IF. All Novus Biologicals antibodies are covered by our 100% guarantee.

Scientific Data Images for ACSBG2 Antibody - BSA Free

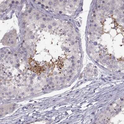
Immunohistochemistry-Paraffin: ACSBG2 Antibody [NBP1-88642]

Immunohistochemistry-Paraffin: ACSBG2 Antibody [NBP1-88642]

Immunohistochemistry-Paraffin: ACSBG2 Antibody [NBP1-88642] - Staining in human testis and endometrium tissues using anti-ACSBG2 antibody. Corresponding ACSBG2 RNA-seq data are presented for the same tissues.
Immunocytochemistry/ Immunofluorescence: ACSBG2 Antibody [NBP1-88642]

Immunocytochemistry/ Immunofluorescence: ACSBG2 Antibody [NBP1-88642]

Immunocytochemistry/Immunofluorescence: ACSBG2 Antibody [NBP1-88642] - Immunofluorescent staining of human cell line U-251 MG shows localization to cytosol.
Immunohistochemistry-Paraffin: ACSBG2 Antibody [NBP1-88642]

Immunohistochemistry-Paraffin: ACSBG2 Antibody [NBP1-88642]

Immunohistochemistry-Paraffin: ACSBG2 Antibody [NBP1-88642] - Staining of human testis shows high expression.

Applications for ACSBG2 Antibody - BSA Free

Application
Recommended Usage

Immunocytochemistry/ Immunofluorescence

0.25-2 ug/ml

Immunohistochemistry

1:1000 - 1:2500

Immunohistochemistry-Paraffin

1:1000 - 1:2500
Application Notes
For IHC-Paraffin, HIER pH 6 retrieval is recommended. ICC/IF, Fixation Permeabilization: Use PFA/Triton X-100.

Formulation, Preparation, and Storage

Purification

Immunogen affinity purified

Formulation

PBS (pH 7.2) and 40% Glycerol

Format

BSA Free

Preservative

0.02% Sodium Azide

Concentration

Concentrations vary lot to lot. See vial label for concentration. If unlisted please contact technical services.

Shipping

The product is shipped with polar packs. Upon receipt, store it immediately at the temperature recommended below.

Stability & Storage

Store at 4C short term. Aliquot and store at -20C long term. Avoid freeze-thaw cycles.

Background: ACSBG2

ACSBG2 mediates activation of long-chain fatty acids for both synthesis of cellular lipids, and degradation viabeta-oxidation. Able to activate long-chain fatty acids. Also able to activate very long-chain fatty acids; however,the relevance of such activity is unclear in vivo. Has increased ability to activate oleic and linoleic acid. May playa role in spermatogenesis

Alternate Names

acyl-CoA synthetase bubblegum family member 2BRGL, BGRMGC111089, Bubblegum-related protein, DKFZp434K1635, EC 6.2.1.3, long-chain-fatty-acid--CoA ligase ACSBG2, PRTD-NY3PRTDNY3

Entrez Gene IDs

81616 (Human)

Gene Symbol

ACSBG2

UniProt

Additional ACSBG2 Products

Product Documents for ACSBG2 Antibody - BSA Free

Certificate of Analysis

To download a Certificate of Analysis, please enter a lot number in the search box below.

Product Specific Notices for ACSBG2 Antibody - BSA Free

This product is for research use only and is not approved for use in humans or in clinical diagnosis. Primary Antibodies are guaranteed for 1 year from date of receipt.

Loading...
Loading...
Loading...
Loading...