Skip to main content

ACF Antibody - BSA Free

Novus Biologicals, part of Bio-Techne | Catalog # NBP1-90271

Novus Biologicals, part of Bio-Techne
Catalog #
Availability
Size / Price
Qty
Loading...
NBP1-90271-25ul
NBP1-90271

Key Product Details

Species Reactivity

Human

Applications

Immunohistochemistry, Immunohistochemistry-Paraffin, Western Blot

Label

Unconjugated

Antibody Source

Polyclonal Rabbit IgG

Format

BSA Free

Concentration

Concentrations vary lot to lot. See vial label for concentration. If unlisted please contact technical services.

Product Specifications

Immunogen

This antibody was developed against Recombinant Protein corresponding to amino acids: GQPVYQLHSAIGQDQRQLFLYKITIPALASQNPAIHPFTPPKLSAFVDEAKTYAAEYTLQTLGIPTDGGDGTMATAA

Reactivity Notes

Immunogen displays the following percentage of sequence identity for non-tested species: Mouse (87%)

Clonality

Polyclonal

Host

Rabbit

Isotype

IgG

Description

Novus Biologicals Rabbit ACF Antibody - BSA Free (NBP1-90271) is a polyclonal antibody validated for use in IHC and WB. All Novus Biologicals antibodies are covered by our 100% guarantee.

Scientific Data Images for ACF Antibody - BSA Free

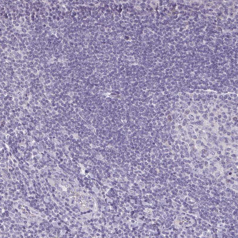
ACF Antibody - BSA Free Immunohistochemistry: ACF Antibody - BSA Free [NBP1-90271]

Immunohistochemistry: ACF Antibody - BSA Free [NBP1-90271]

Staining of human gastrointestinal).
Immunohistochemistry-Paraffin: ACF Antibody [NBP1-90271]

Immunohistochemistry-Paraffin: ACF Antibody [NBP1-90271]

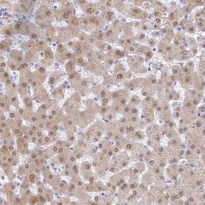
Immunohistochemistry-Paraffin: ACF Antibody [NBP1-90271] - Staining of human liver shows moderate nuclear and cytoplasmic positivity in hepatocytes.
ACF Antibody - BSA Free Immunohistochemistry: ACF Antibody - BSA Free [NBP1-90271]

Immunohistochemistry: ACF Antibody - BSA Free [NBP1-90271]

Staining of human duodenum shows moderate nuclear/ cytoplasmic positivity in enteroendocrine cells.

Applications for ACF Antibody - BSA Free

Application
Recommended Usage

Immunohistochemistry

1:50 - 1:200

Immunohistochemistry-Paraffin

1:50 - 1:200

Western Blot

0.04-0.4 ug/ml
Application Notes
For IHC-Paraffin, HIER pH 6 retrieval is recommended. Immunocytochemistry/Immunofluorescence Fixation Permeabilization: Use PFA/Triton X-100.

Formulation, Preparation, and Storage

Purification

Affinity purified

Formulation

PBS (pH 7.2) and 40% Glycerol

Format

BSA Free

Preservative

0.02% Sodium Azide

Concentration

Concentrations vary lot to lot. See vial label for concentration. If unlisted please contact technical services.

Shipping

The product is shipped with polar packs. Upon receipt, store it immediately at the temperature recommended below.

Stability & Storage

Store at 4C short term. Aliquot and store at -20C long term. Avoid freeze-thaw cycles.

Background: ACF

Mammalian apolipoprotein B mRNA undergoes site-specific C to U deamination, which is mediated by a multi-component enzyme complex containing a minimal core composed of APOBEC-1 and a complementation factor encoded by this gene. The gene product has three non-identical RNA recognition motifs and belongs to the hnRNP R family of RNA-binding proteins. It has been proposed that this complementation factor functions as an RNA-binding subunit and docks APOBEC-1 to deaminate the upstream cytidine. Studies suggest that the protein may also be involved in other RNA editing or RNA processing events. Alternative splicing occurs at this locus and three full-length transcript variants, encoding three distinct isoforms, have been described. Additional splicing has been observed but the full-length nature of these variants has not been determined. [provided by RefSeq]

Alternate Names

ACF65, ACFASPACF64, apo-B RNA editing protein, APOBEC1 complementation factor, apobec-1 complementation factor (ACF) (ASP), APOBEC-1 stimulating protein, APOBEC1CF, APOBEC1-stimulating protein, MGC163391

Gene Symbol

A1CF

Additional ACF Products

Product Documents for ACF Antibody - BSA Free

Certificate of Analysis

To download a Certificate of Analysis, please enter a lot number in the search box below.

Product Specific Notices for ACF Antibody - BSA Free

This product is for research use only and is not approved for use in humans or in clinical diagnosis. Primary Antibodies are guaranteed for 1 year from date of receipt.

Loading...
Loading...
Loading...
Loading...