Skip to main content

Acetylcholinesterase/ACHE Antibody - BSA Free

Novus Biologicals, part of Bio-Techne | Catalog # NBP1-31329

Novus Biologicals, part of Bio-Techne
Catalog #
Availability
Size / Price
Qty
Loading...
NBP1-31329

Key Product Details

Species Reactivity

Validated:

Human, Mouse, Rat

Predicted:

Bovine (94%), Feline (95%), Guinea Pig (92%), Rhesus Macaque (99%). Backed by our 100% Guarantee.

Applications

Immunohistochemistry, Immunohistochemistry-Paraffin, Immunohistochemistry-Frozen, Western Blot, Immunocytochemistry/ Immunofluorescence

Label

Unconjugated

Antibody Source

Polyclonal Rabbit IgG

Format

BSA Free

Concentration

Concentrations vary lot to lot. See vial label for concentration. If unlisted please contact technical services.

Product Specifications

Immunogen

Recombinant protein encompassing a sequence within the C-terminus region of human Acetylcholinesterase/ACHE. The exact sequence is proprietary.

Reactivity Notes

Cat (95%).

Localization

Cell junction, synapse, Secreted, Cell membrane, Peripheral membrane protein, Isoform T: Nucleus, Isoform H: Cell membrane, Lipid-anchor, GPI-anchor, Extracellular side, Cell junction, synapse, Secreted, Cell membrane, Isoform T: Nucleus, Isof

Marker

Early Neuronal Development Marker

Clonality

Polyclonal

Host

Rabbit

Isotype

IgG

Theoretical MW

68 kDa.
Disclaimer note: The observed molecular weight of the protein may vary from the listed predicted molecular weight due to post translational modifications, post translation cleavages, relative charges, and other experimental factors.

Description

Novus Biologicals Rabbit Acetylcholinesterase/ACHE Antibody - BSA Free (NBP1-31329) is a polyclonal antibody validated for use in IHC, WB and ICC/IF. All Novus Biologicals antibodies are covered by our 100% guarantee.

Scientific Data Images for Acetylcholinesterase/ACHE Antibody - BSA Free

Western Blot: Acetylcholinesterase/ACHE Antibody [NBP1-31329]

Western Blot: Acetylcholinesterase/ACHE Antibody [NBP1-31329]

Western Blot: Acetylcholinesterase/ACHE Antibody [NBP1-31329] - Various tissue extracts (50 ug) were separated by 7.5% SDS-PAGE, and the membrane was blotted with AChE antibody diluted at 1:500. The HRP-conjugated anti-rabbit IgG antibody (NBP2-19301) was used to detect the primary antibody.
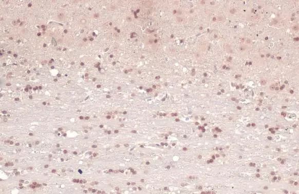
Immunohistochemistry-Paraffin: Acetylcholinesterase/ACHE Antibody [NBP1-31329]

Immunohistochemistry-Paraffin: Acetylcholinesterase/ACHE Antibody [NBP1-31329]

Immunohistochemistry-Paraffin: Acetylcholinesterase/ACHE Antibody [NBP1-31329] - Mouse brain. AChE stained by AChE antibody diluted at 1:500. Antigen Retrieval: Citrate buffer, pH 6.0, 15 min.
Western Blot: Acetylcholinesterase/ACHE Antibody [NBP1-31329]

Western Blot: Acetylcholinesterase/ACHE Antibody [NBP1-31329]

Western Blot: Acetylcholinesterase/ACHE Antibody [NBP1-31329] - Sample (30 ug of whole cell lysate) A: Raji 7. 5% SDS PAGE; antibody diluted at 1:1000.

Applications for Acetylcholinesterase/ACHE Antibody - BSA Free

Application
Recommended Usage

Immunocytochemistry/ Immunofluorescence

1:100-1:1000

Immunohistochemistry

1:100-1:1000

Immunohistochemistry-Frozen

1:100-1:1000

Immunohistochemistry-Paraffin

1:100-1:1000

Western Blot

1:500-1:3000

Formulation, Preparation, and Storage

Purification

Antigen Affinity-purified

Formulation

PBS, 20% Glycerol

Format

BSA Free

Preservative

0.025% Proclin 300

Concentration

Concentrations vary lot to lot. See vial label for concentration. If unlisted please contact technical services.

Shipping

The product is shipped with polar packs. Upon receipt, store it immediately at the temperature recommended below.

Stability & Storage

Aliquot and store at -20C or -80C. Avoid freeze-thaw cycles.

Background: Acetylcholinesterase/ACHE

Acetylcholinesterase (AChE) is an enzyme located in the postsynaptic membrane and in the muscle endplates, where it hydrolyses the neurotransmitter acetylcholin. AChE from brain is a tetramer (G4-AChE) with a molecular mass of 320 kDa, AChE from erythrocytes is a dimer (G2-AChE) with a molecular mass of 170 kDa.

Alternate Names

ACHE, ARACHE, N-ACHE

Entrez Gene IDs

43 (Human)

Gene Symbol

ACHE

UniProt

Additional Acetylcholinesterase/ACHE Products

Product Documents for Acetylcholinesterase/ACHE Antibody - BSA Free

Certificate of Analysis

To download a Certificate of Analysis, please enter a lot number in the search box below.

Product Specific Notices for Acetylcholinesterase/ACHE Antibody - BSA Free

This product is for research use only and is not approved for use in humans or in clinical diagnosis. Primary Antibodies are guaranteed for 1 year from date of receipt.

Loading...
Loading...
Loading...
Loading...
Loading...