Skip to main content

Acetylcholinesterase/ACHE Antibody (HL1102) - Azide and BSA Free

Novus Biologicals, part of Bio-Techne | Catalog # NBP3-13720

Recombinant Monoclonal Antibody
Novus Biologicals, part of Bio-Techne
Catalog #
Availability
Size / Price
Qty
Loading...
NBP3-13720

Key Product Details

Validated by

Independent Antibodies

Species Reactivity

Mouse, Rat

Applications

Immunohistochemistry, Immunohistochemistry-Paraffin, Western Blot

Label

Unconjugated

Antibody Source

Recombinant Monoclonal Rabbit IgG Clone # HL1102

Format

Azide and BSA Free

Concentration

Concentrations vary lot to lot. See vial label for concentration. If unlisted please contact technical services.

Product Specifications

Immunogen

Recombinant protein encompassing a sequence within the C-terminus region of human Acetylcholinesterase/ACHE. The exact sequence is proprietary.

Clonality

Monoclonal

Host

Rabbit

Isotype

IgG

Description

Centrifuge briefly prior to opening.

Scientific Data Images for Acetylcholinesterase/ACHE Antibody (HL1102) - Azide and BSA Free

Western Blot: Acetylcholinesterase/ACHE Antibody (HL1102) [NBP3-13720]

Western Blot: Acetylcholinesterase/ACHE Antibody (HL1102) [NBP3-13720]

Western Blot: Acetylcholinesterase/ACHE Antibody (HL1102) [NBP3-13720] - Various tissue extracts (50 ug) were separated by 7.5% SDS-PAGE, and the membranes were blotted with Acetylcholinesterase/ACHE antibody [HL1102] (NBP3-13720) diluted at 1:1000 and competitor's antibody (competitor) diluted at 1:1000. The HRP-conjugated anti-rabbit IgG antibody (NBP2-19301) was used to detect the primary antibody.
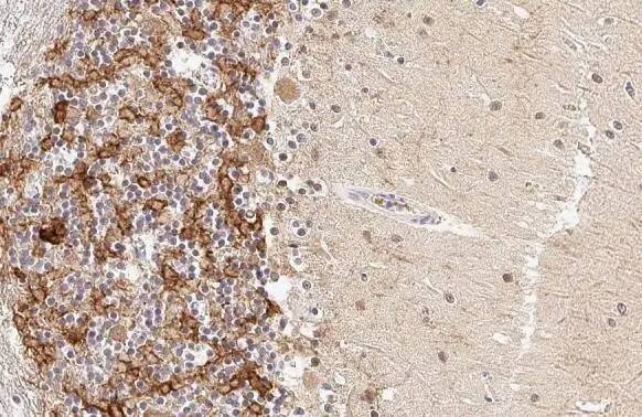
Immunohistochemistry-Paraffin: Acetylcholinesterase/ACHE Antibody (HL1102) [NBP3-13720]

Immunohistochemistry-Paraffin: Acetylcholinesterase/ACHE Antibody (HL1102) [NBP3-13720]

Immunohistochemistry-Paraffin: Acetylcholinesterase/ACHE Antibody (HL1102) [NBP3-13720] - Acetylcholinesterase/ACHE antibody [HL1102] detects Acetylcholinesterase/ACHE protein at cell membrane and cytoplasm by immunohistochemical analysis. Sample: Paraffin-embedded mouse brain. Acetylcholinesterase/ACHE stained by Acetylcholinesterase/ACHE antibody [HL1102] (NBP3-13720) diluted at 1:100. Antigen Retrieval: Citrate buffer, pH 6.0, 15 min
Western Blot: Acetylcholinesterase/ACHE Antibody (HL1102) [NBP3-13720]

Western Blot: Acetylcholinesterase/ACHE Antibody (HL1102) [NBP3-13720]

Western Blot: Acetylcholinesterase/ACHE Antibody (HL1102) [NBP3-13720] - Various tissue extracts (50 ug) were separated by 7.5% SDS-PAGE, and the membrane was blotted with Acetylcholinesterase/ACHE antibody [HL1102] (NBP3-13720) diluted at 1:1000. The HRP-conjugated anti-rabbit IgG antibody (NBP2-19301) was used to detect the primary antibody.

Applications for Acetylcholinesterase/ACHE Antibody (HL1102) - Azide and BSA Free

Application
Recommended Usage

Immunohistochemistry

Optimal dilutions of this antibody should be experimentally determined.

Immunohistochemistry-Paraffin

Optimal dilutions of this antibody should be experimentally determined.

Western Blot

Optimal dilutions of this antibody should be experimentally determined.

Formulation, Preparation, and Storage

Purification

Protein A purified

Formulation

PBS

Format

Azide and BSA Free

Preservative

No Preservative

Concentration

Concentrations vary lot to lot. See vial label for concentration. If unlisted please contact technical services.

Shipping

The product is shipped with polar packs. Upon receipt, store it immediately at the temperature recommended below.

Stability & Storage

Store at 4C short term. Aliquot and store at -20C long term. Avoid freeze-thaw cycles.

Background: Acetylcholinesterase/ACHE

Cholinergic neurotransmission occurs in motor, autonomic and central nervous synapses and requires very rapid inactivation of its transmitter, acetylcholine (ACh). Acetylcholinesterase (AChE) rapidly hydrolyzes ACh to acetate and choline, thereby inactivating it. AChE is found in the neuromuscular junction anchored to the basal lamina which runs between the nerve terminal and muscle membrane. AChE is also found outside the nervous and neuromuscular system in blood, lymph, germ and liver cells suggesting a role for AChE not related to cholinergic transmission. Another less specific cholinesterase, butyrylcholinesterase (BChE), seems to contribute to the regulation of the ACh concentration in the synaptic cleft.

Alternate Names

ACHE, ARACHE, N-ACHE

Gene Symbol

ACHE

Additional Acetylcholinesterase/ACHE Products

Product Documents for Acetylcholinesterase/ACHE Antibody (HL1102) - Azide and BSA Free

Certificate of Analysis

To download a Certificate of Analysis, please enter a lot number in the search box below.

Product Specific Notices for Acetylcholinesterase/ACHE Antibody (HL1102) - Azide and BSA Free

This product is for research use only and is not approved for use in humans or in clinical diagnosis. Primary Antibodies are guaranteed for 1 year from date of receipt.

Loading...
Loading...
Loading...
Loading...