ACBD3 Antibody - BSA Free
Novus Biologicals, part of Bio-Techne | Catalog # NBP1-83379
Key Product Details
Species Reactivity
Validated:
Human
Cited:
Human
Applications
Validated:
Immunohistochemistry, Immunohistochemistry-Paraffin, Western Blot, Immunocytochemistry/ Immunofluorescence
Cited:
IF/IHC
Label
Unconjugated
Antibody Source
Polyclonal Rabbit IgG
Format
BSA Free
Concentration
Concentrations vary lot to lot. See vial label for concentration. If unlisted please contact technical services.
Product Specifications
Immunogen
This antibody was developed against Recombinant Protein corresponding to amino acids: QYPGNYEQQQILIRQLQEQHYQQYMQQLYQVQLAQQQAALQKQQEVVVAGSSLPTSSKVNATVPSNMMSVNGQAKTHTDSSEKELEPEAAEEALENGPKESLPVIAAPSMWTRPQIKDFKEKIQQDADSVIT
Reactivity Notes
Immunogen displays the following percentage of sequence identity for non-tested species: Mouse (89%), Rat (86%).
Clonality
Polyclonal
Host
Rabbit
Isotype
IgG
Scientific Data Images for ACBD3 Antibody - BSA Free
Immunocytochemistry/ Immunofluorescence: ACBD3 Antibody [NBP1-83379]
Immunocytochemistry/Immunofluorescence: ACBD3 Antibody [NBP1-83379] - Immunofluorescent staining of human cell line U-251 MG shows localization to the Golgi apparatus.Immunohistochemistry-Paraffin: ACBD3 Antibody - BSA Free [NBP1-83379]
Staining of human cerebral cortex shows strong granular cytoplasmic positivity in neurons.Immunohistochemistry-Paraffin: ACBD3 Antibody - BSA Free [NBP1-83379]
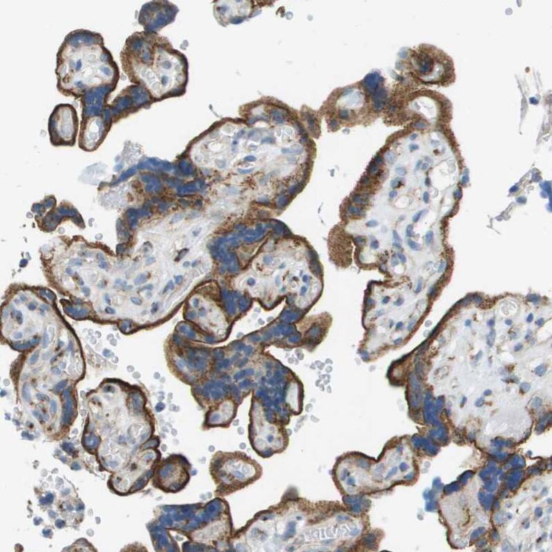
Staining of human placenta shows strong granular cytoplasmic positivity in trophoblastic cells.Applications for ACBD3 Antibody - BSA Free
Application
Recommended Usage
Immunocytochemistry/ Immunofluorescence
0.25-2 ug/ml
Immunohistochemistry
1:500 - 1:1000
Immunohistochemistry-Paraffin
1:500 - 1:1000
Western Blot
0.04-0.4 ug/ml
Application Notes
For IHC-Paraffin, HIER pH 6 retrieval is recommended. ICC/IF Fixation Permeabilization: Use PFA/Triton X-100.
Formulation, Preparation, and Storage
Purification
Affinity purified
Formulation
PBS (pH 7.2) and 40% Glycerol
Format
BSA Free
Preservative
0.02% Sodium Azide
Concentration
Concentrations vary lot to lot. See vial label for concentration. If unlisted please contact technical services.
Shipping
The product is shipped with polar packs. Upon receipt, store it immediately at the temperature recommended below.
Stability & Storage
Store at 4C short term. Aliquot and store at -20C long term. Avoid freeze-thaw cycles.
Background: ACBD3
Alternate Names
acyl-CoA binding domain containing 3, Acyl-CoA-binding domain-containing protein 3, acyl-Coenzyme A binding domain containing 3, GCP60Golgi phosphoprotein 1, GOCAP1Peripheral benzodiazepine receptor-associated protein PAP7, golgi complex associated protein 1, 60kDa, Golgi complex-associated protein 1, Golgi resident protein GCP60, GOLPH1PBR- and PKA-associated protein 7, PAP7, PBR associated protein, peripherial benzodiazepine receptor associated protein, PKA (RIalpha)-associated protein
Gene Symbol
ACBD3
Additional ACBD3 Products
Product Documents for ACBD3 Antibody - BSA Free
Product Specific Notices for ACBD3 Antibody - BSA Free
This product is for research use only and is not approved for use in humans or in clinical diagnosis. Primary Antibodies are guaranteed for 1 year from date of receipt.
Loading...
Loading...
Loading...
Loading...