Skip to main content

ACBD3 Antibody (OTI1G2) - Azide and BSA Free

Novus Biologicals, part of Bio-Techne | Catalog # NBP2-72148

Novus Biologicals, part of Bio-Techne
Catalog #
Availability
Size / Price
Qty
Loading...
NBP2-72148

Key Product Details

Species Reactivity

Human, Mouse, Rat, Canine, Monkey

Applications

Immunohistochemistry, Immunohistochemistry-Paraffin, Western Blot, Flow Cytometry, CyTOF-ready

Label

Unconjugated

Antibody Source

Monoclonal Mouse IgG1 Clone # OTI1G2

Format

Azide and BSA Free

Concentration

LYOPH mg/ml

Product Specifications

Immunogen

Full length human recombinant protein of human ACBD3(NP_073572) produced in HEK293T cell.

Reactivity Notes

Please note that this antibody is reactive to Mouse and derived from the same host, Mouse. Mouse-On-Mouse blocking reagent may be needed for IHC and ICC experiments to reduce high background signal. You can find these reagents under catalog numbers PK-2200-NB and MP-2400-NB. Please contact Technical Support if you have any questions.

Clonality

Monoclonal

Host

Mouse

Isotype

IgG1

Theoretical MW

60.4 kDa.
Disclaimer note: The observed molecular weight of the protein may vary from the listed predicted molecular weight due to post translational modifications, post translation cleavages, relative charges, and other experimental factors.

Description

Novus Biologicals Mouse ACBD3 Antibody (OTI1G2) - Azide and BSA Free (NBP2-46478) is a monoclonal antibody validated for use in IHC, WB and Flow. All Novus Biologicals antibodies are covered by our 100% guarantee.

Scientific Data Images for ACBD3 Antibody (OTI1G2) - Azide and BSA Free

Western Blot: ACBD3 Antibody (OTI1G2)Azide and BSA Free [NBP2-72148]

Western Blot: ACBD3 Antibody (OTI1G2)Azide and BSA Free [NBP2-72148]

Western Blot: ACBD3 Antibody (OTI1G2) - Azide and BSA Free [NBP2-72148] - Analysis of HEK293T cells were transiently transfected with the pCMV6-ENTRY control (Left lane) or pCMV6-ENTRY ACBD3.
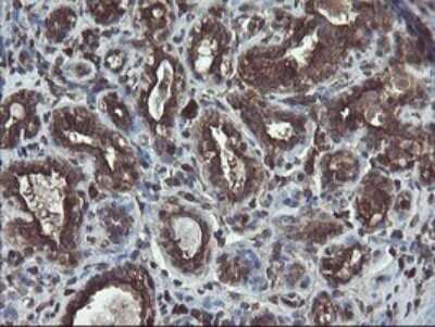
Immunohistochemistry: ACBD3 Antibody (OTI1G2) - Azide and BSA Free [NBP2-72148]

Immunohistochemistry: ACBD3 Antibody (OTI1G2) - Azide and BSA Free [NBP2-72148]

Immunohistochemistry: ACBD3 Antibody (OTI1G2) - Azide and BSA Free [NBP2-72148] - Analysis of Human pancreas tissue.
Flow Cytometry: ACBD3 Antibody (OTI1G2) - Azide and BSA Free [NBP2-72148]

Flow Cytometry: ACBD3 Antibody (OTI1G2) - Azide and BSA Free [NBP2-72148]

Flow Cytometry: ACBD3 Antibody (OTI1G2) - Azide and BSA Free [NBP2-72148] - Analysis of HEK293T cells transfected with either overexpress plasmid(Red) or empty vector control plasmid(Blue) were immunostaining by ACBD3 antibody, and then analyzed by flow cytometry.

Applications for ACBD3 Antibody (OTI1G2) - Azide and BSA Free

Application
Recommended Usage

Flow Cytometry

1:100

Immunohistochemistry

1:150

Western Blot

1:2000

Formulation, Preparation, and Storage

Purification

Immunogen affinity purified

Reconstitution

we recommend adding 100uL distilled water to a final antibody concentration of about 1 mg/mL. To use this carrier-free antibody for conjugation experiment, we strongly recommend performing another round of desalting process.

Formulation

Lyophilized from PBS (pH 7.3) with 8% Trehalose

Format

Azide and BSA Free

Preservative

No Preservative

Concentration

LYOPH mg/ml

Shipping

The product is shipped with polar packs. Upon receipt, store it immediately at the temperature recommended below.

Stability & Storage

Store at -20C. Avoid freeze-thaw cycles.

Background: ACBD3

The Golgi complex plays a key role in the sorting and modification of proteins exported from the endoplasmic reticulum. The protein encoded by this gene is involved in the maintenance of Golgi structure and function through its interaction with the integral membrane protein giantin. It may also be involved in the hormonal regulation of steroid formation.

Alternate Names

acyl-CoA binding domain containing 3, Acyl-CoA-binding domain-containing protein 3, acyl-Coenzyme A binding domain containing 3, GCP60Golgi phosphoprotein 1, GOCAP1Peripheral benzodiazepine receptor-associated protein PAP7, golgi complex associated protein 1, 60kDa, Golgi complex-associated protein 1, Golgi resident protein GCP60, GOLPH1PBR- and PKA-associated protein 7, PAP7, PBR associated protein, peripherial benzodiazepine receptor associated protein, PKA (RIalpha)-associated protein

Gene Symbol

ACBD3

Additional ACBD3 Products

Product Documents for ACBD3 Antibody (OTI1G2) - Azide and BSA Free

Certificate of Analysis

To download a Certificate of Analysis, please enter a lot number in the search box below.

Product Specific Notices for ACBD3 Antibody (OTI1G2) - Azide and BSA Free

This product is for research use only and is not approved for use in humans or in clinical diagnosis. Primary Antibodies are guaranteed for 1 year from date of receipt.

Loading...
Loading...
Loading...
Loading...
Loading...
Loading...