Skip to main content

ACADS Antibody - BSA Free

Novus Biologicals, part of Bio-Techne | Catalog # NBP3-35087

Novus Biologicals, part of Bio-Techne
Catalog #
Availability
Size / Price
Qty
Loading...
NBP3-35087-100ul
NBP3-35087-20ul

Key Product Details

Species Reactivity

Human, Mouse, Rat

Applications

ELISA, Immunohistochemistry, Immunohistochemistry-Paraffin, Western Blot

Label

Unconjugated

Antibody Source

Polyclonal Rabbit IgG

Format

BSA Free

Concentration

Please see the vial label for concentration. If unlisted please contact technical services.

Product Specifications

Immunogen

Recombinant fusion protein containing a sequence corresponding to amino acids 1-260 of human ACADS (NP_000008.1).

Sequence:
MAAALLARASGPARRALCPRAWRQLHTIYQSVELPETHQMLLQTCRDFAEKELFPIAAQVDKEHLFPAAQVKKMGGLGLLAMDVPEELGGAGLDYLAYAIAMEEISRGCASTGVIMSVNNSLYLGPILKFGSKEQKQAWVTPFTSGDKIGCFALSEPGNGSDAGAASTTARAEGDSWVLNGTKAWITNAWEASAAVVFASTDRALQNKGISAFLVPMPTPGLTLGKKEDKLGIRGSSTANLIFEDCRIPKDSILGEPGMG

Clonality

Polyclonal

Host

Rabbit

Isotype

IgG

Theoretical MW

44 kDa.
Disclaimer note: The observed molecular weight of the protein may vary from the listed predicted molecular weight due to post translational modifications, post translation cleavages, relative charges, and other experimental factors.

Description

Novus Biologicals Rabbit ACADS Antibody - BSA Free (NBP3-35087) is a polyclonal antibody validated for use in IHC, WB and ELISA. All Novus Biologicals antibodies are covered by our 100% guarantee.

Scientific Data Images for ACADS Antibody - BSA Free

ACADS Antibody

Immunohistochemistry: ACADS Antibody [NBP3-35087] -

Immunohistochemistry: ACADS Antibody [NBP3-35087] - Immunohistochemistry analysis of paraffin-embedded Human liver damage using ACADS Rabbit pAb at dilution of 1:100 (40x lens). Microwave antigen retrieval performed with 0.01M PBS Buffer (pH 7.2) prior to IHC staining.
ACADS Antibody

Western Blot: ACADS Antibody [NBP3-35087] -

Western Blot: ACADS Antibody [NBP3-35087] - Western blot analysis of various lysates using ACADS Rabbit pAb at 1:1000 dilution.
Secondary antibody: HRP-conjugated Goat anti-Rabbit IgG (H+L) at 1:10000 dilution.
Lysates/proteins: 25ug per lane.
Blocking buffer: 3% nonfat dry milk in TBST.
Detection: ECL Basic Kit.
Exposure time: 15s.
ACADS Antibody

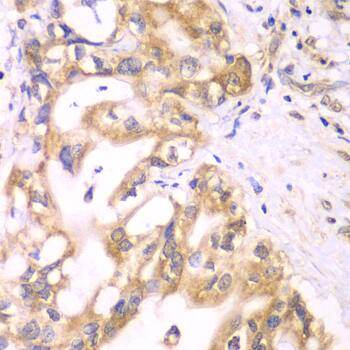
Immunohistochemistry: ACADS Antibody [NBP3-35087] -

Immunohistochemistry: ACADS Antibody [NBP3-35087] - Immunohistochemistry analysis of paraffin-embedded Human liver cancer using ACADS Rabbit pAb at dilution of 1:100 (40x lens). Microwave antigen retrieval performed with 0.01M PBS Buffer (pH 7.2) prior to IHC staining.

Applications for ACADS Antibody - BSA Free

Application
Recommended Usage

Immunohistochemistry-Paraffin

1:50 - 1:100

Western Blot

1:500 - 1:2000

Formulation, Preparation, and Storage

Purification

Affinity purified

Formulation

PBS (pH 7.3), 50% glycerol

Format

BSA Free

Preservative

0.02% Sodium Azide

Concentration

Please see the vial label for concentration. If unlisted please contact technical services.

Shipping

The product is shipped with polar packs. Upon receipt, store it immediately at the temperature recommended below.

Stability & Storage

Store at -20C. Avoid freeze-thaw cycles.

Background: ACADS

ACADS encodes a a tetrameric mitochondrial flavoprotein, which is a member of the acyl-CoA dehydrogenase family. This enzyme catalyzes the initial step of the mitochondrial fatty acid beta-oxidation pathway. Mutations in this gene have been associated with Short Chain Acyl-CoA Dehydrogenase Deficiency. [provided by RefSeq]

Alternate Names

ACAD3, acyl-CoA dehydrogenase, C-2 to C-3 short chain, acyl-Coenzyme A dehydrogenase, C-2 to C-3 short chain, Butyryl-CoA dehydrogenase, EC 1.3.99, EC 1.3.99.2, mitochondrial short-chain specific acyl-CoA dehydrogenase, SCADshort-chain acyl-CoA dehydrogenase, short-chain specific acyl-CoA dehydrogenase, mitochondrial, unsaturated acyl-CoA reductase

Gene Symbol

ACADS

Additional ACADS Products

Product Documents for ACADS Antibody - BSA Free

Certificate of Analysis

To download a Certificate of Analysis, please enter a lot number in the search box below.

Product Specific Notices for ACADS Antibody - BSA Free

This product is for research use only and is not approved for use in humans or in clinical diagnosis. Primary Antibodies are guaranteed for 1 year from date of receipt.

Loading...
Loading...
Loading...
Loading...