Skip to main content

ACAA2 Antibody - BSA Free

Novus Biologicals, part of Bio-Techne | Catalog # NBP3-06401

Novus Biologicals, part of Bio-Techne

Key Product Details

Species Reactivity

Human

Applications

Immunohistochemistry, Immunohistochemistry-Paraffin, Western Blot

Label

Unconjugated

Antibody Source

Polyclonal Rabbit IgG

Format

BSA Free

Concentration

Please see the vial label for concentration. If unlisted please contact technical services.

Product Specifications

Immunogen

Produced in rabbits immunized with E. coli-derived Human ACAA2 fragment.

Clonality

Polyclonal

Host

Rabbit

Isotype

IgG

Description

This antibody can be stored at 2C-8C for one month without detectable loss of activity. Antibody products are stable for twelve months from date of receipt when stored at -20C to -80C. Avoid repeated freeze-thaw cycles.

Scientific Data Images for ACAA2 Antibody - BSA Free

Western Blot: ACAA2 Antibody [NBP3-06401]

Western Blot: ACAA2 Antibody [NBP3-06401]

Western Blot: ACAA2 Antibody [NBP3-06401] - Anti-ACAA2 rabbit polyclonal antibody at 1:500 dilutionLane A: HeLa Whole Cell Lysate Lysates/proteins at 30 ug per lane.Secondary: Goat Anti-Rabbit IgG (H+L) HRP at 110000 dilution. Developed using the ECL technique. Performed under reducing conditions.Predicted band size:42 kDaObserved band size:43 kDa(We are unsure as to the identity of these extra bands.)
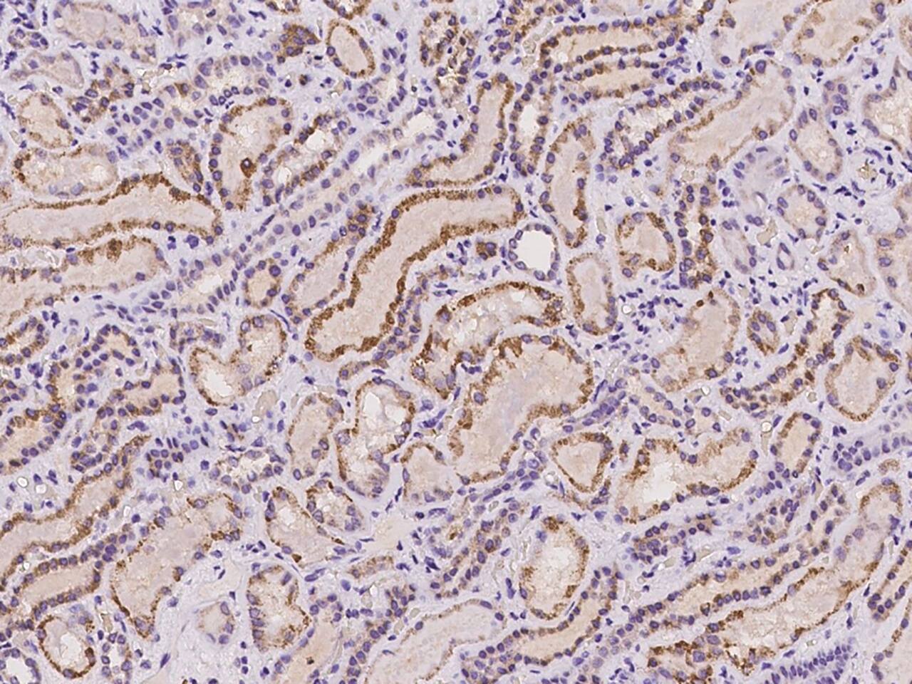
ACAA2 Antibody - BSA Free

Immunohistochemistry-Paraffin: ACAA2 Antibody - BSA Free [NBP3-06401] -

Immunohistochemistry-Paraffin: ACAA2 Antibody - BSA Free [NBP3-06401] - Immunochemical staining of human ACAA2 in human kidney with NBP3-06401 at 1:500 dilution, formalin-fixed paraffin embedded sections.
ACAA2 Antibody - BSA Free

Immunohistochemistry-Paraffin: ACAA2 Antibody - BSA Free [NBP3-06401] -

Immunohistochemistry-Paraffin: ACAA2 Antibody - BSA Free [NBP3-06401] - Immunochemical staining of human ACAA2 in human liver with NBP3-06401 at 1:500 dilution, formalin-fixed paraffin embedded sections.

Applications for ACAA2 Antibody - BSA Free

Application
Recommended Usage

Immunohistochemistry-Paraffin

1:250-1:1000

Western Blot

1:500-1:1000

Formulation, Preparation, and Storage

Purification

Antigen and protein A Affinity-purified

Formulation

PBS

Format

BSA Free

Preservative

0.03% Proclin 300

Concentration

Please see the vial label for concentration. If unlisted please contact technical services.

Shipping

The product is shipped with polar packs. Upon receipt, store it immediately at the temperature recommended below.

Stability & Storage

Store at 4C short term. Aliquot and store at -20C long term. Avoid freeze-thaw cycles.

Background: ACAA2

The encoded protein catalyzes the last step of the mitochondrial fatty acid beta-oxidation spiral. Unlike most mitochondrial matrix proteins, it contains a non-cleavable amino-terminal targeting signal.

Alternate Names

3-ketoacyl-CoA thiolase, mitochondrial, Acetyl-CoA acyltransferase, acetyl-CoA acyltransferase 2, acetyl-Coenzyme A acyltransferase 2, beta ketothiolase, Beta-ketothiolase, DSAEC, EC 2.3.1, EC 2.3.1.16, FLJ35992, FLJ95265, Mitochondrial 3-oxoacyl-CoA thiolase, mitochondrial 3-oxoacyl-Coenzyme A thiolase, T1

Gene Symbol

ACAA2

Additional ACAA2 Products

Product Documents for ACAA2 Antibody - BSA Free

Certificate of Analysis

To download a Certificate of Analysis, please enter a lot number in the search box below.

Product Specific Notices for ACAA2 Antibody - BSA Free

This product is for research use only and is not approved for use in humans or in clinical diagnosis. Primary Antibodies are guaranteed for 1 year from date of receipt.

Loading...
Loading...
Loading...
Loading...