Skip to main content

ACAA2 Antibody (OTI1C10) - Azide and BSA Free

Novus Biologicals, part of Bio-Techne | Catalog # NBP2-71602

Novus Biologicals, part of Bio-Techne

Key Product Details

Species Reactivity

Human, Mouse, Rat, Canine, Monkey

Applications

Immunohistochemistry, Immunohistochemistry-Paraffin, Western Blot, Immunocytochemistry/ Immunofluorescence

Label

Unconjugated

Antibody Source

Monoclonal Mouse IgG2B Clone # OTI1C10

Format

Azide and BSA Free

Concentration

LYOPH mg/ml

Product Specifications

Immunogen

Full length human recombinant protein of human ACAA2(NP_006102) produced in HEK293T cell.

Reactivity Notes

Please note that this antibody is reactive to Mouse and derived from the same host, Mouse. Mouse-On-Mouse blocking reagent may be needed for IHC and ICC experiments to reduce high background signal. You can find these reagents under catalog numbers PK-2200-NB and MP-2400-NB. Please contact Technical Support if you have any questions.

Clonality

Monoclonal

Host

Mouse

Isotype

IgG2B

Theoretical MW

41.7 kDa.
Disclaimer note: The observed molecular weight of the protein may vary from the listed predicted molecular weight due to post translational modifications, post translation cleavages, relative charges, and other experimental factors.

Description

Novus Biologicals Mouse ACAA2 Antibody (OTI1C10) - Azide and BSA Free (NBP2-46477) is a monoclonal antibody validated for use in IHC, WB and ICC/IF. All Novus Biologicals antibodies are covered by our 100% guarantee.

Scientific Data Images for ACAA2 Antibody (OTI1C10) - Azide and BSA Free

Western Blot: ACAA2 Antibody (OTI1C10)Azide and BSA Free [NBP2-71602]

Western Blot: ACAA2 Antibody (OTI1C10)Azide and BSA Free [NBP2-71602]

Western Blot: ACAA2 Antibody (OTI1C10) - Azide and BSA Free [NBP2-71602] - Analysis of HEK293T cells were transfected with the pCMV6-ENTRY control (Left lane) or pCMV6-ENTRY ACAA2.
Immunocytochemistry/ Immunofluorescence: ACAA2 Antibody (OTI1C10) - Azide and BSA Free [NBP2-71602]

Immunocytochemistry/ Immunofluorescence: ACAA2 Antibody (OTI1C10) - Azide and BSA Free [NBP2-71602]

Immunocytochemistry/Immunofluorescence: ACAA2 Antibody (OTI1C10) - Azide and BSA Free [NBP2-71602] - Analysis of COS7 cells transiently transfected by pCMV6-ENTRY ACAA2.
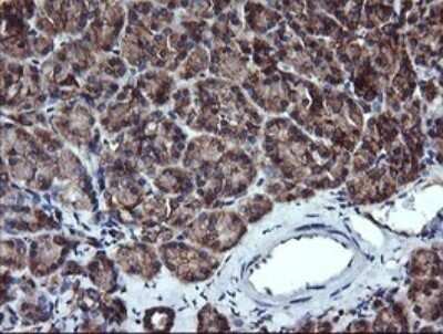
Immunohistochemistry: ACAA2 Antibody (OTI1C10) - Azide and BSA Free [NBP2-71602]

Immunohistochemistry: ACAA2 Antibody (OTI1C10) - Azide and BSA Free [NBP2-71602]

Immunohistochemistry: ACAA2 Antibody (OTI1C10) - Azide and BSA Free [NBP2-71602] - Analysis of Human pancreas tissue. (Heat-induced epitope retrieval by 10mM citric buffer, pH6.0, 120C for 3min)

Applications for ACAA2 Antibody (OTI1C10) - Azide and BSA Free

Application
Recommended Usage

Immunocytochemistry/ Immunofluorescence

1:100

Immunohistochemistry

1:150

Western Blot

1:200-4000

Formulation, Preparation, and Storage

Purification

Immunogen affinity purified

Reconstitution

we recommend adding 100uL distilled water to a final antibody concentration of about 1 mg/mL. To use this carrier-free antibody for conjugation experiment, we strongly recommend performing another round of desalting process.

Formulation

Lyophilized from PBS (pH 7.3) with 8% Trehalose

Format

Azide and BSA Free

Preservative

No Preservative

Concentration

LYOPH mg/ml

Shipping

The product is shipped with polar packs. Upon receipt, store it immediately at the temperature recommended below.

Stability & Storage

Store at -20C. Avoid freeze-thaw cycles.

Background: ACAA2

The encoded protein catalyzes the last step of the mitochondrial fatty acid beta-oxidation spiral. Unlike most mitochondrial matrix proteins, it contains a non-cleavable amino-terminal targeting signal.

Alternate Names

3-ketoacyl-CoA thiolase, mitochondrial, Acetyl-CoA acyltransferase, acetyl-CoA acyltransferase 2, acetyl-Coenzyme A acyltransferase 2, beta ketothiolase, beta-ketothiolase, DSAEC, EC 2.3.1, EC 2.3.1.16, FLJ35992, FLJ95265, Mitochondrial 3-oxoacyl-CoA thiolase, mitochondrial 3-oxoacyl-Coenzyme A thiolase, T1

Gene Symbol

ACAA2

Additional ACAA2 Products

Product Documents for ACAA2 Antibody (OTI1C10) - Azide and BSA Free

Certificate of Analysis

To download a Certificate of Analysis, please enter a lot number in the search box below.

Product Specific Notices for ACAA2 Antibody (OTI1C10) - Azide and BSA Free

This product is for research use only and is not approved for use in humans or in clinical diagnosis. Primary Antibodies are guaranteed for 1 year from date of receipt.

Loading...
Loading...
Loading...
Loading...
Loading...