Skip to main content

AAMDC Antibody - BSA Free

Novus Biologicals, part of Bio-Techne | Catalog # NBP3-47833

Novus Biologicals, part of Bio-Techne
Catalog #
Availability
Size / Price
Qty
Loading...
NBP3-47833

Key Product Details

Species Reactivity

Human, Mouse, Rat

Applications

ELISA, Immunohistochemistry, Western Blot

Label

Unconjugated

Antibody Source

Polyclonal Rabbit IgG

Format

BSA Free

Concentration

Please see the vial label for concentration. If unlisted please contact technical services.

Product Specifications

Immunogen

chromosome 11 open reading frame 67. (Uniprot# Q9H7C9)

Clonality

Polyclonal

Host

Rabbit

Isotype

IgG

Theoretical MW

13 kDa.
Disclaimer note: The observed molecular weight of the protein may vary from the listed predicted molecular weight due to post translational modifications, post translation cleavages, relative charges, and other experimental factors.

Description

Novus Biologicals Rabbit AAMDC Antibody - BSA Free (NBP3-47833) is a polyclonal antibody validated for use in IHC, WB and ELISA. All Novus Biologicals antibodies are covered by our 100% guarantee.

Scientific Data Images for AAMDC Antibody - BSA Free

AAMDC Antibody - BSA Free

Western Blot: AAMDC Antibody - BSA Free [NBP3-47833] -

Western Blot: AAMDC Antibody - BSA Free [NBP3-47833] - MCF-7 cells were subjected to SDS PAGE followed by western blot with (AAMDC antibody) at dilution of 1:1000
AAMDC Antibody - BSA Free

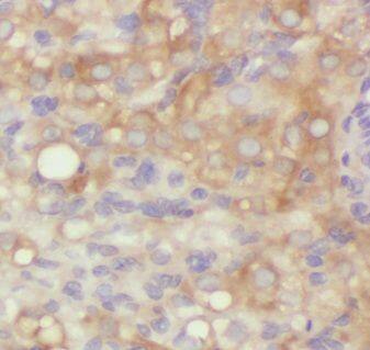
Immunohistochemistry: AAMDC Antibody - BSA Free [NBP3-47833] -

Immunohistochemistry: AAMDC Antibody - BSA Free [NBP3-47833] - Immunohistochemistry of paraffin-embedded human ovary using (AAMDC Antibody) at dilution of 1:50

Applications for AAMDC Antibody - BSA Free

Application
Recommended Usage

Immunohistochemistry

1:20-1:200

Western Blot

1:1000-1:4000

Formulation, Preparation, and Storage

Purification

Immunogen affinity purified

Formulation

PBS, 50% Glycerol, pH (7.3)

Format

BSA Free

Preservative

0.02% Sodium Azide

Concentration

Please see the vial label for concentration. If unlisted please contact technical services.

Shipping

The product is shipped with polar packs. Upon receipt, store it immediately at the temperature recommended below.

Stability & Storage

Store at -20C. Avoid freeze-thaw cycles.

Background: AAMDC

Alternate Names

adipogenesis associated, Mth938 domain containing, C11orf67, chromosome 11 open reading frame 67, CK067, FLJ21035, hypothetical protein LOC28971, MGC3367, PTD015

Gene Symbol

AAMDC

Additional AAMDC Products

Product Documents for AAMDC Antibody - BSA Free

Certificate of Analysis

To download a Certificate of Analysis, please enter a lot number in the search box below.

Product Specific Notices for AAMDC Antibody - BSA Free

This product is for research use only and is not approved for use in humans or in clinical diagnosis. Primary Antibodies are guaranteed for 1 year from date of receipt.

Loading...
Loading...
Loading...
Loading...