Skip to main content

A4GNT Antibody (OTI2H9) - Azide and BSA Free

Novus Biologicals, part of Bio-Techne | Catalog # NBP2-71905

Novus Biologicals, part of Bio-Techne

Key Product Details

Species Reactivity

Human

Applications

Immunohistochemistry, Immunohistochemistry-Paraffin, Western Blot

Label

Unconjugated

Antibody Source

Monoclonal Mouse IgG1 Clone # OTI2H9

Format

Azide and BSA Free

Concentration

LYOPH mg/ml

Product Specifications

Immunogen

Human recombinant protein fragment corresponding to amino acids 121-340 of human A4GNT (NP_057245) produced in E.coli.

Clonality

Monoclonal

Host

Mouse

Isotype

IgG1

Theoretical MW

39.3 kDa.
Disclaimer note: The observed molecular weight of the protein may vary from the listed predicted molecular weight due to post translational modifications, post translation cleavages, relative charges, and other experimental factors.

Description

Novus Biologicals Mouse A4GNT Antibody (OTI2H9) - Azide and BSA Free (NBP2-45539) is a monoclonal antibody validated for use in IHC and WB. All Novus Biologicals antibodies are covered by our 100% guarantee.

Scientific Data Images for A4GNT Antibody (OTI2H9) - Azide and BSA Free

Western Blot: A4GNT Antibody (OTI2H9)Azide and BSA Free [NBP2-71905]

Western Blot: A4GNT Antibody (OTI2H9)Azide and BSA Free [NBP2-71905]

Western Blot: A4GNT Antibody (OTI2H9) - Azide and BSA Free [NBP2-71905] - Analysis of HEK293T cells were transfected with the pCMV6-ENTRY control (Left lane) or pCMV6-ENTRY A4GNT.
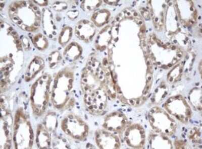
Immunohistochemistry: A4GNT Antibody (OTI2H9) - Azide and BSA Free [NBP2-71905]

Immunohistochemistry: A4GNT Antibody (OTI2H9) - Azide and BSA Free [NBP2-71905]

Immunohistochemistry: A4GNT Antibody (OTI2H9) - Azide and BSA Free [NBP2-71905] - Analysis of Human Kidney tissue.

Applications for A4GNT Antibody (OTI2H9) - Azide and BSA Free

Application
Recommended Usage

Immunohistochemistry

1:150

Western Blot

1:500

Formulation, Preparation, and Storage

Purification

Immunogen affinity purified

Reconstitution

we recommend adding 100uL distilled water to a final antibody concentration of about 1 mg/mL. To use this carrier-free antibody for conjugation experiment, we strongly recommend performing another round of desalting process.

Formulation

Lyophilized from PBS (pH 7.3) with 8% Trehalose

Format

Azide and BSA Free

Preservative

No Preservative

Concentration

LYOPH mg/ml

Shipping

The product is shipped with polar packs. Upon receipt, store it immediately at the temperature recommended below.

Stability & Storage

Store at -20C. Avoid freeze-thaw cycles.

Background: A4GNT

Alternate Names

alpha-1,4-N-acetylglucosaminyltransferase, alpha4GnT

Gene Symbol

A4GNT

Additional A4GNT Products

Product Documents for A4GNT Antibody (OTI2H9) - Azide and BSA Free

Certificate of Analysis

To download a Certificate of Analysis, please enter a lot number in the search box below.

Product Specific Notices for A4GNT Antibody (OTI2H9) - Azide and BSA Free

This product is for research use only and is not approved for use in humans or in clinical diagnosis. Primary Antibodies are guaranteed for 1 year from date of receipt.

Loading...
Loading...
Loading...
Loading...
Loading...