Skip to main content

A-RAF Antibody (OTI2G9) - Azide and BSA Free

Novus Biologicals, part of Bio-Techne | Catalog # NBP2-70201

Novus Biologicals, part of Bio-Techne

Key Product Details

Species Reactivity

Human, Mouse, Rat

Applications

Immunohistochemistry, Immunohistochemistry-Paraffin, Western Blot

Label

Unconjugated

Antibody Source

Monoclonal Mouse IgG2A Clone # OTI2G9

Format

Azide and BSA Free

Concentration

LYOPH mg/ml

Product Specifications

Immunogen

Human recombinant protein fragment corresponding to amino acids 145-365 of human ARAF (NP_001645) produced in E.coli.

Reactivity Notes

Please note that this antibody is reactive to Mouse and derived from the same host, Mouse. Mouse-On-Mouse blocking reagent may be needed for IHC and ICC experiments to reduce high background signal. You can find these reagents under catalog numbers PK-2200-NB and MP-2400-NB. Please contact Technical Support if you have any questions.

Clonality

Monoclonal

Host

Mouse

Isotype

IgG2A

Description

Novus Biologicals Mouse A-RAF Antibody (OTI2G9) - Azide and BSA Free (NBP2-46538) is a monoclonal antibody validated for use in IHC and WB. All Novus Biologicals antibodies are covered by our 100% guarantee.

Scientific Data Images for A-RAF Antibody (OTI2G9) - Azide and BSA Free

Western Blot: A-RAF Antibody (OTI2G9)Azide and BSA Free [NBP2-70201]

Western Blot: A-RAF Antibody (OTI2G9)Azide and BSA Free [NBP2-70201]

Western Blot: A-RAF Antibody (OTI2G9) - Azide and BSA Free [NBP2-70201] - Analysis of HEK293T cells were transfected with the pCMV6-ENTRY control (Left lane) or pCMV6-ENTRY ARAF.
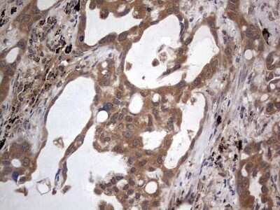
Immunohistochemistry: A-RAF Antibody (OTI2G9) - Azide and BSA Free [NBP2-70201]

Immunohistochemistry: A-RAF Antibody (OTI2G9) - Azide and BSA Free [NBP2-70201]

Immunohistochemistry: A-RAF Antibody (OTI2G9) - Azide and BSA Free [NBP2-70201] - Analysis of Human prostate tissue. (Heat-induced epitope retrieval by 1 mM EDTA in 10mM Tris, pH8.5, 120C for 3min)
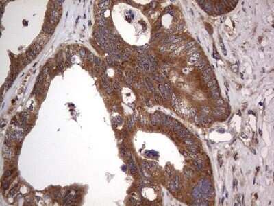
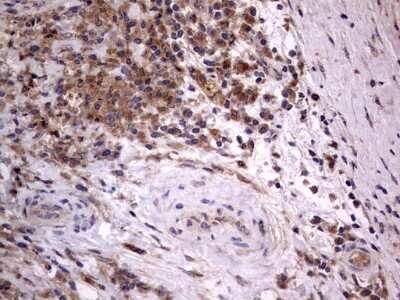
Immunohistochemistry: A-RAF Antibody (OTI2G9) - Azide and BSA Free [NBP2-70201]

Immunohistochemistry: A-RAF Antibody (OTI2G9) - Azide and BSA Free [NBP2-70201]

Immunohistochemistry: A-RAF Antibody (OTI2G9) - Azide and BSA Free [NBP2-70201] - Analysis of Adenocarcinoma of Human breast tissue. (Heat-induced epitope retrieval by 1 mM EDTA in 10mM Tris, pH8.5, 120C for 3min)

Applications for A-RAF Antibody (OTI2G9) - Azide and BSA Free

Application
Recommended Usage

Immunohistochemistry

1:150

Western Blot

1:2000

Formulation, Preparation, and Storage

Purification

Immunogen affinity purified

Reconstitution

we recommend adding 100uL distilled water to a final antibody concentration of about 1 mg/mL. To use this carrier-free antibody for conjugation experiment, we strongly recommend performing another round of desalting process.

Formulation

Lyophilized from PBS (pH 7.3) with 8% Trehalose

Format

Azide and BSA Free

Preservative

No Preservative

Concentration

LYOPH mg/ml

Shipping

The product is shipped with polar packs. Upon receipt, store it immediately at the temperature recommended below.

Stability & Storage

Store at -20C. Avoid freeze-thaw cycles.

Background: A-Raf

Several serine/threonine protein kinases have been implicated as intermediates in signal transduction pathways. These include ERK/MAP kinases, ribosomal S6 kinase (Rsk) and Raf-1. Raf-1 is a cytoplasmic protein with intrinsic serine/threonine activity. It is broadly expressed in nearly all cell lines tested to date and is the cellular homolog of v-Raf, the product of the transforming gene of the 3611 strain of murine sarcoma virus. The unregulated kinase activity of the v-Raf protein has been associated with transformation and mitogenesis while the activity of Raf-1 is normally suppressed by a regulatory N-terminal domain. A-Raf, a second member of the Raf gene family of serine/ threonine protein kinases, exhibits substantial homology to Raf-1 within the kinase domain of the two molecules, but less homology elsewhere. Expression of A-Raf is found at highest levels in urogenital tissues and kidney and at lowest level in brain tissue.

Long Name

v-Raf Murine Sarcoma 3611 Viral Oncogene Homolog

Alternate Names

ARaf, PKS, PKS2, RAFA1

Gene Symbol

ARAF

Additional A-Raf Products

Product Documents for A-RAF Antibody (OTI2G9) - Azide and BSA Free

Certificate of Analysis

To download a Certificate of Analysis, please enter a lot number in the search box below.

Product Specific Notices for A-RAF Antibody (OTI2G9) - Azide and BSA Free

This product is for research use only and is not approved for use in humans or in clinical diagnosis. Primary Antibodies are guaranteed for 1 year from date of receipt.

Loading...
Loading...
Loading...
Loading...
Loading...