Skip to main content

A-Myb Antibody - BSA Free

Novus Biologicals, part of Bio-Techne | Catalog # NBP2-86995

Novus Biologicals, part of Bio-Techne
Catalog #
Availability
Size / Price
Qty
Loading...
NBP2-86995

Key Product Details

Species Reactivity

Human

Applications

Immunohistochemistry, Immunohistochemistry-Paraffin, Western Blot

Label

Unconjugated

Antibody Source

Polyclonal Rabbit

Format

BSA Free

Concentration

1 mg/ml

Product Specifications

Immunogen

The immunogen is a synthetic peptide directed towards the middle region of human A-Myb. Peptide sequence: PRTPTPFKNALAAQEKKYGPLKIVSQPLAFLEEDIREVLKEETGTDLFLK The peptide sequence for this immunogen was taken from within the described region.

Clonality

Polyclonal

Host

Rabbit

Description

Novus Biologicals Rabbit A-Myb Antibody - BSA Free (NBP2-86995) is a polyclonal antibody validated for use in IHC and WB. All Novus Biologicals antibodies are covered by our 100% guarantee.

Scientific Data Images for A-Myb Antibody - BSA Free

Western Blot: A-Myb Antibody [NBP2-86995]

Western Blot: A-Myb Antibody [NBP2-86995]

Western Blot: A-Myb Antibody [NBP2-86995] - WB Suggested Anti-MYBL1 Antibody Titration: 2.5ug/ml. Positive Control: Jurkat cell lysate
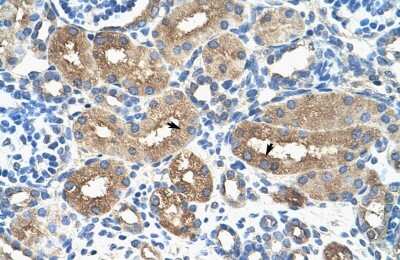
Immunohistochemistry: A-Myb Antibody [NBP2-86995]

Immunohistochemistry: A-Myb Antibody [NBP2-86995]

Immunohistochemistry: A-Myb Antibody [NBP2-86995] - Human kidney

Applications for A-Myb Antibody - BSA Free

Application
Recommended Usage

Western Blot

1.0 ug/ml

Formulation, Preparation, and Storage

Purification

Protein A purified

Formulation

PBS, 2% Sucrose

Format

BSA Free

Preservative

0.09% Sodium Azide

Concentration

1 mg/ml

Shipping

The product is shipped with polar packs. Upon receipt, store it immediately at the temperature recommended below.

Stability & Storage

Store at 4C short term. Aliquot and store at -20C long term. Avoid freeze-thaw cycles.

Background: A-Myb

Strong transcriptional activator; DNA-binding protein that specifically recognize the sequence 5'-YAAC[GT]G-3'. Could have a role in the proliferation and/or differentiation of neurogenic, spermatogenic and B-lymphoid cells

Alternate Names

A-Myb, AMYBMGC120059, MGC120061, Myb-like protein 1, myb-related protein A, v-myb avian myeloblastosis viral oncogene homolog-like 1, v-myb myeloblastosis viral oncogene homolog (avian)-like 1

Gene Symbol

MYBL1

Additional A-Myb Products

Product Documents for A-Myb Antibody - BSA Free

Certificate of Analysis

To download a Certificate of Analysis, please enter a lot number in the search box below.

Product Specific Notices for A-Myb Antibody - BSA Free

This product is for research use only and is not approved for use in humans or in clinical diagnosis. Primary Antibodies are guaranteed for 1 year from date of receipt.

Loading...
Loading...
Loading...
Loading...