5-Lipoxygenase Antibody (5C5Z2)
Novus Biologicals, part of Bio-Techne | Catalog # NBP3-16150
Recombinant Monoclonal Antibody
Key Product Details
Species Reactivity
Human, Mouse, Rat
Applications
Immunohistochemistry, Immunohistochemistry-Paraffin, Western Blot, ELISA, Immunocytochemistry/ Immunofluorescence
Label
Unconjugated
Antibody Source
Recombinant Monoclonal Rabbit IgG Clone # 5C5Z2 expressed in HEK293
Concentration
Please see the vial label for concentration. If unlisted please contact technical services.
Product Specifications
Immunogen
A synthetic peptide corresponding to a sequence within amino acids 100-200 of human 5-Lipoxygenase (P09917). CYRWITGDVEVVLRDGRAKLARDDQIHILKQHRRKELETRQKQYRWMEWNPGFPLSIDAKCHKDLPRDIQFDSEKGVDFVLNYSKAMENLFINRFMHMFQS
Clonality
Monoclonal
Host
Rabbit
Isotype
IgG
Theoretical MW
78 kDa.
Disclaimer note: The observed molecular weight of the protein may vary from the listed predicted molecular weight due to post translational modifications, post translation cleavages, relative charges, and other experimental factors.
Disclaimer note: The observed molecular weight of the protein may vary from the listed predicted molecular weight due to post translational modifications, post translation cleavages, relative charges, and other experimental factors.
Description
Novus Biologicals Rabbit 5-Lipoxygenase Antibody (5C5Z2) (NBP3-16150) is a recombinant monoclonal antibody validated for use in IHC, WB and ICC/IF. All Novus Biologicals antibodies are covered by our 100% guarantee.
Scientific Data Images for 5-Lipoxygenase Antibody (5C5Z2)
Western Blot: 5-Lipoxygenase Antibody (5C5Z2) [NBP3-16150]
Western Blot: 5-Lipoxygenase Antibody (5C5Z2) [NBP3-16150] - Western blot analysis of extracts of Raji cells, using 5-Lipoxygenase Rabbit mAb (NBP3-16150) at 1:1000 dilution. Secondary antibody: HRP Goat Anti-Rabbit IgG (H+L) at 1:10000 dilution. Lysates/proteins: 25ug per lane. Blocking buffer: 3% nonfat dry milk in TBST. Detection: ECL Basic Kit. Exposure time: 10s.Immunohistochemistry-Paraffin: 5-Lipoxygenase Antibody (5C5Z2) [NBP3-16150]
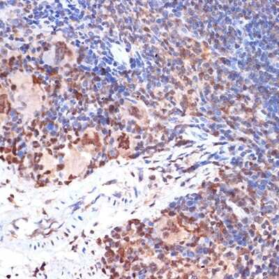
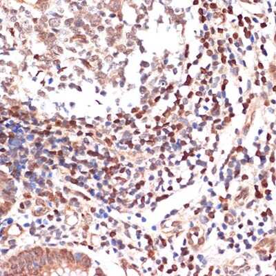
Immunohistochemistry-Paraffin: 5-Lipoxygenase Antibody (5C5Z2) [NBP3-16150] - Immunohistochemistry of paraffin-embedded mouse spleen using 5-Lipoxygenase Rabbit mAb (NBP3-16150) at dilution of 1:100 (40x lens).Perform microwave antigen retrieval with 10 mM Tris/EDTA buffer pH 9.0 before commencing with IHC staining protocol.Western Blot: 5-Lipoxygenase Antibody (5C5Z2) [NBP3-16150]
Western Blot: 5-Lipoxygenase Antibody (5C5Z2) [NBP3-16150] - Western blot analysis of extracts of Rat lung, using 5-Lipoxygenase Rabbit mAb (NBP3-16150) at 1:1000 dilution. Secondary antibody: HRP Goat Anti-Rabbit IgG (H+L) at 1:10000 dilution. Lysates/proteins: 25ug per lane. Blocking buffer: 3% nonfat dry milk in TBST. Detection: ECL Basic Kit. Exposure time: 3min.Applications for 5-Lipoxygenase Antibody (5C5Z2)
Application
Recommended Usage
ELISA
Recommended starting concentration is 1 μg/mL
Immunocytochemistry/ Immunofluorescence
1:100 - 1:400
Immunohistochemistry
1:100 - 1:1000
Immunohistochemistry-Paraffin
1:100 - 1:1000
Western Blot
1:1000 - 1:4000
Formulation, Preparation, and Storage
Purification
Affinity purified
Formulation
PBS (pH 7.3), 50% glycerol, 0.05% BSA
Preservative
0.02% Sodium Azide
Concentration
Please see the vial label for concentration. If unlisted please contact technical services.
Shipping
The product is shipped with polar packs. Upon receipt, store it immediately at the temperature recommended below.
Stability & Storage
Store at -20C. Avoid freeze-thaw cycles.
Background: 5-Lipoxygenase
Alternate Names
5Lipoxygenase, 5LPG, ALOX5, LOG5, LOX5A
Gene Symbol
ALOX5
Additional 5-Lipoxygenase Products
Product Documents for 5-Lipoxygenase Antibody (5C5Z2)
Product Specific Notices for 5-Lipoxygenase Antibody (5C5Z2)
This product is for research use only and is not approved for use in humans or in clinical diagnosis. Primary Antibodies are guaranteed for 1 year from date of receipt.
Loading...
Loading...
Loading...
Loading...