5-Lipoxygenase Antibody (1D4) - BSA Free
Novus Biologicals, part of Bio-Techne | Catalog # NBP3-15171
Recombinant monoclonal antibody expressed in HEK293F cells
Key Product Details
Species Reactivity
Human
Applications
ELISA, Immunohistochemistry
Label
Unconjugated
Antibody Source
Recombinant Monoclonal Rabbit IgG Clone # 1D4 expressed in HEK293
Format
BSA Free
Concentration
Please see the vial label for concentration. If unlisted please contact technical services.
Product Specifications
Immunogen
A synthesized peptide derived from human 5-Lipoxygenase. UniProt ID (P09917).
Clonality
Monoclonal
Host
Rabbit
Isotype
IgG
Description
Novus Biologicals Rabbit 5-Lipoxygenase Antibody (1D4) - BSA Free (NBP3-15171) is a recombinant monoclonal antibody validated for use in IHC and ELISA. All Novus Biologicals antibodies are covered by our 100% guarantee.
Scientific Data Images for 5-Lipoxygenase Antibody (1D4) - BSA Free
Immunohistochemistry: 5-Lipoxygenase Antibody (1D4) [NBP3-15171]
Immunohistochemistry: 5-Lipoxygenase Antibody (1D4) [NBP3-15171] - IHC image of 5-Lipoxygenase antibody diluted at 1:100 and staining in paraffin-embedded human lung tissue. After dewaxing and hydration, antigen retrieval was mediated by high pressure in a citrate buffer (pH 6.0). Section was blocked with 10% normal goat serum 30 minutes at RT. Then primary antibody (1% BSA) was incubated at 4C overnight. The primary is detected by a Goat anti-rabbit IgG polymer labeled by HRP and visualized using 0.05% DAB.Immunohistochemistry: 5-Lipoxygenase Antibody (1D4) [NBP3-15171]
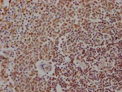
Immunohistochemistry: 5-Lipoxygenase Antibody (1D4) [NBP3-15171] - IHC image of 5-Lipoxygenase antibody diluted at 1:100 and staining in paraffin-embedded human spleen tissue. After dewaxing and hydration, antigen retrieval was mediated by high pressure in a citrate buffer (pH 6.0). Section was blocked with 10% normal goat serum 30 minutes at RT. Then primary antibody (1% BSA) was incubated at 4C overnight. The primary is detected by a Goat anti-rabbit IgG polymer labeled by HRP and visualized using 0.05% DAB.Applications for 5-Lipoxygenase Antibody (1D4) - BSA Free
Application
Recommended Usage
Immunohistochemistry
1:50-1:200
Formulation, Preparation, and Storage
Purification
Affinity purified
Formulation
PBS, pH 7.4, 150mM NaCl, and 50% glycerol
Format
BSA Free
Preservative
0.02% Sodium Azide
Concentration
Please see the vial label for concentration. If unlisted please contact technical services.
Shipping
The product is shipped with polar packs. Upon receipt, store it immediately at the temperature recommended below.
Stability & Storage
Store at -20 to -70C. Avoid freeze-thaw cycles.
Background: 5-Lipoxygenase
Alternate Names
5Lipoxygenase, 5LPG, ALOX5, LOG5, LOX5A
Gene Symbol
ALOX5
Additional 5-Lipoxygenase Products
Product Documents for 5-Lipoxygenase Antibody (1D4) - BSA Free
Product Specific Notices for 5-Lipoxygenase Antibody (1D4) - BSA Free
This product is for research use only and is not approved for use in humans or in clinical diagnosis. Primary Antibodies are guaranteed for 1 year from date of receipt.
Loading...
Loading...
Loading...
Loading...